• Tel: 858.663.9055
  • SeparatorEmail: info@nsjbio.com
  • Tel: 858.663.9055
  • Email: info@nsjbio.com
Home >> Antibodies >> LIX1L Antibody / Limb and CNS expressed protein 1-like

LIX1L Antibody / Limb and CNS expressed protein 1-like (FY12712)

  Catalog No Formulation Size Price (USD)  
Image FY12712 Adding 0.2 ml of distilled water will yield a concentration of 500 ug/ml 100 ug 449
Bulk quote request
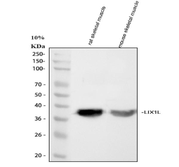
Western blot analysis of LIX1L using anti-LIX1L antibody. Lane 1: rat skeletal muscle tissue lysates, Lane 2: mouse skeletal muscle tissue lysates. After electrophoresis, proteins were transferred to a nitrocellulose membrane at 150 mA for 50-90 minutes. Blocked the membrane with 5% non-fat milk/TBS for 1.5 hour at RT. The membrane was incubated with rabbit anti-LIX1L antibody at 0.5 ug/ml overnight at 4oC, then washed with TBS-0.1%Tween 3 times with 5 minutes each and probed with a goat anti-rabbit IgG-HRP secondary antibody at a dilution of 1:5000 for 1.5 hour at RT. The signal was developed using enhanced chemiluminescent. A specific band was detected for LIX1L at approximately 37 kDa. The expected molecular weight of LIX1L is ~37 kDa.
Western blot analysis of LIX1L using anti-LIX1L antibody. Lane 1: human SH-SY5Y whole cell lysates, Lane 2: human Jurkat whole cell lysates, Lane 3: human SiHa whole cell lysates, Lane 4: human Hela whole cell lysates. After electrophoresis, proteins were transferred to a nitrocellulose membrane at 150 mA for 50-90 minutes. Blocked the membrane with 5% non-fat milk/TBS for 1.5 hour at RT. The membrane was incubated with rabbit anti-LIX1L antibody at 0.5 ug/ml overnight at 4oC, then washed with TBS-0.1%Tween 3 times with 5 minutes each and probed with a goat anti-rabbit IgG-HRP secondary antibody at a dilution of 1:5000 for 1.5 hour at RT. The signal was developed using enhanced chemiluminescent. A specific band was detected for LIX1L at approximately 37 kDa. The expected molecular weight of LIX1L is ~37 kDa.
Flow Cytometry analysis of JK cells using anti-LIX1L antibody. Overlay histogram showing JK cells stained with (Blue line). To facilitate intracellular staining, cells were fixed with 4% paraformaldehyde and permeabilized with permeabilization buffer. The cells were blocked with 10% normal goat serum. And then incubated with rabbit anti-LIX1L antibody (1 ug/million cells) for 30 min at 20oC. DyLight 488 conjugated goat anti-rabbit IgG (5-10 ug/million cells) was used as secondary antibody for 30 minutes at 20oC. Isotype control antibody (Green line) was rabbit IgG (1 ug/million cells) used under the same conditions. Unlabelled sample without incubation with primary antibody and secondary antibody (Red line) was used as a blank control.
Availability 1-2 days
Species Reactivity Human, Mouse, Rat
Format Lyophilized
Host Rabbit
Clonality Polyclonal (rabbit origin)
Isotype Rabbit IgG
Purity Immunogen affinity purified
Buffer Each vial contains 4 mg Trehalose, 0.9 mg NaCl, 0.2 mg Na2HPO4.
UniProt Q8IVB5
Applications ELISA : 0.1-0.5ug/ml
Flow Cytometry : 1-3ug/million cells
Western Blot : 0.25-0.5ug/ml
Limitations This LIX1L antibody is available for research use only.
Review this product on BioCompare and get a $20 Amazon gift card

Description

LIX1L antibody detects Limb and CNS expressed protein 1-like, a cytoplasmic protein implicated in cytoskeletal regulation, cell differentiation, and organ development. Encoded by the LIX1L gene on chromosome 1p36.22, this protein shares homology with LIX1, a factor involved in limb patterning and neural morphogenesis. LIX1L contains predicted coiled-coil regions and a C-terminal domain believed to mediate protein-protein interactions important for actin organization and cellular polarity. Although its precise molecular function remains under study, LIX1L is thought to regulate cytoskeletal remodeling and epithelial-to-mesenchymal transitions during development and wound healing.

LIX1L is expressed in several tissues, including the brain, liver, lung, and kidney, with enriched expression in mesenchymal and epithelial cell types. Studies suggest that LIX1L contributes to cell motility by influencing actin filament organization and adhesion dynamics. In hepatic tissue, it may participate in regeneration and fibrotic remodeling, while in the nervous system it supports neuronal morphogenesis. The protein is also expressed during embryogenesis, where it may cooperate with LIM-homeodomain transcription factors to guide organogenesis. Dysregulated expression of LIX1L has been associated with certain cancers, including hepatocellular carcinoma and glioma, where it correlates with invasive behavior and poor prognosis.

The LIX1L antibody is useful in developmental, cancer, and cytoskeletal research. Western blot analysis reveals a 35 kilodalton band corresponding to the full-length protein, and immunofluorescence shows cytoplasmic staining that co-localizes with filamentous actin structures. In cell migration assays, modulation of LIX1L levels alters lamellipodia formation and motility, highlighting its cytoskeletal role. Researchers use the LIX1L antibody to characterize its distribution across tissues and to evaluate its potential as a biomarker of epithelial plasticity. NSJ Bioreagents provides this antibody validated for its applications, ensuring consistent performance in multiple applications.

Application Notes

Optimal dilution of the LIX1L antibody should be determined by the researcher.

Immunogen

E.coli-derived human LIX1L recombinant protein (Position: L77-H333) was used as the immunogen for the LIX1L antibody.

Storage

After reconstitution, the LIX1L antibody can be stored for up to one month at 4oC. For long-term, aliquot and store at -20oC. Avoid repeated freezing and thawing.

Cross
Bulk Quote Request Form
Name*:
Organization*:
Email*:
Phone Number*:
Catalog No.*:
Comments and Specifics(amount, formulation, etc.)*:
Validation code: Captchapackage Image


Can't read the image? click here to refresh.
    *required field

Your bulk quote request has been submitted successfully!

Please contact us if you have any questions.