• Tel: 858.663.9055
  • SeparatorEmail: info@nsjbio.com
  • Tel: 858.663.9055
  • Email: info@nsjbio.com
Home >> Antibodies >> Lipoamide Dehydrogenase Antibody

Lipoamide Dehydrogenase Antibody (R30535)

  Catalog No Formulation Size Price (USD)  
Image R30535 0.5mg/ml if reconstituted with 0.2ml sterile DI water 100 ug 449
Bulk quote request
IHC staining of FFPE rat liver tissue with Lipoamide Dehydrogenase antibody. HIER: boil tissue sections in pH6 citrate buffer for 20 min and allow to cool before testing.
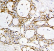
IHC staining of FFPE human breast cancer tissue with Lipoamide Dehydrogenase antibody. HIER: boil tissue sections in pH6 citrate buffer for 20 min and allow to cool before testing.
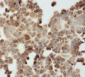
ICC staining of FFPE human MCF7 cells with Lipoamide Dehydrogenase antibody. HIER: steam section in pH6 citrate buffer for 20 min.
Immunofluorescent staining of FFPE human HCT116 cells with Lipoamide Dehydrogenase antibody. HIER: steam section in pH6 citrate buffer for 20 min.
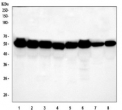
Western blot testing of 1) human K562, 2) human A431, 3) human SiHa, 4) human U-251, 5) rat liver, 6) rat heart, 7) mouse liver and 8) mouse heart tissue lysate with Lipoamide Dehydrogenase antibody. Predicted molecular weight ~54 kDa.
Availability 1-3 business days
Species Reactivity Human, Mouse, Rat
Format Antigen affinity purified
Host Rabbit
Clonality Polyclonal (rabbit origin)
Isotype Rabbit IgG
Purity Antigen affinity
Buffer Lyophilized from 1X PBS with 2.5% BSA and 0.025% sodium azide/thimerosal
UniProt P09622
Localization Nuclear, cytoplasmic
Applications Western Blot : 0.5-1ug/ml
Immunohistochemistry (FFPE) : 1-2ug/ml
Immunocytochemistry : 2-5ug/ml
Immunofluorescence : 5ug/ml
Limitations This Lipoamide Dehydrogenase antibody is available for research use only.
Review this product on BioCompare and get a $20 Amazon gift card

Description

DLD, Dihydrolipoamide dehydrogenase, is a component of the pyruvate dehydrogenase complex, the alpha-ketoglutarate dehydrogenase complex, and the branched-chain alpha-keto acid dehydrogenase complex(BCKD). DLD is a flavoprotein enzyme that degrades lipoamide, and produces dihydrolipoamide. The DLD gene contains 14 exons. The gene is localized to 7q31-q32. This gene encodes the L protein of the mitochondrial glycine cleavage system. The L protein, also named dihydrolipoamide dehydrogenase, is also a component of the pyruvate dehydrogenase complex, the alpha-ketoglutarate dehydrogenase complex, and the branched-chain alpha-keto acide dehydrogenase complex.

Application Notes

The stated application concentrations are suggested starting amounts. Titration of the Lipoamide Dehydrogenase antibody may be required due to differences in protocols and secondary/substrate sensitivity.

Immunogen

An amino acid sequence from the C-terminus of human Lipoamide Dehydrogenase (EAFREANLAASFGKSINF) was used as the immunogen for this Lipoamide Dehydrogenase antibody.

Storage

After reconstitution, the Lipoamide Dehydrogenase antibody can be stored for up to one month at 4oC. For long-term, aliquot and store at -20oC. Avoid repeated freezing and thawing.

Cross
Bulk Quote Request Form
Name*:
Organization*:
Email*:
Phone Number*:
Catalog No.*:
Comments and Specifics(amount, formulation, etc.)*:
Validation code: Captchapackage Image


Can't read the image? click here to refresh.
    *required field

Your bulk quote request has been submitted successfully!

Please contact us if you have any questions.