• Tel: 858.663.9055
  • SeparatorEmail: info@nsjbio.com
  • Tel: 858.663.9055
  • Email: info@nsjbio.com
Home >> Antibodies >> LIN28B Antibody

LIN28B Antibody (F44235)

  Catalog No Formulation Size Price (USD)  
Image F44235-0.4ML In 1X PBS, pH 7.4, with 0.09% sodium azide 0.4 ml 439
Image
F44235-0.08ML In 1X PBS, pH 7.4, with 0.09% sodium azide 0.08 ml 205
Bulk quote request
Fluorescent confocal image of SY5Y cells stained with LIN28B antibody. Alexa Fluor 488 conjugated secondary (green) was used (1:1000, 1h). Nuclei were counterstained with Hoechst 33342 (blue) (10 ug/ml, 5 min). LIN28B immunosignal is localized predominantly to the cytoplasm.
Flow cytometric analysis of HL-60 cells using LIN28B antibody (green) compared to a negative control (blue). FITC-conjugated goat-anti-rabbit secondary Ab was used for the analysis.
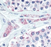
IHC analysis of FFPE human testis tissue stained with LIN28B antibody
Western blot analysis of LIN28B antibody and HL-60 lysate. Predicted molecular weight ~27 kDa.
Availability 1-3 business days
Species Reactivity Human
Format Purified
Host Rabbit
Clonality Polyclonal (rabbit origin)
Isotype Rabbit Ig
Purity Purified
UniProt Q6ZN17
Applications Immunofluorescence : 1:100
Western Blot : 1:1000
IHC (Paraffin) : 1:10-1:50
Flow Cytometry : 1:10-1:50
Limitations This LIN28B antibody is available for research use only.
Review this product on BioCompare and get a $20 Amazon gift card

Related Products

  • Applications : WB, FACS, ELISA
    Reactivity : Human
  • Applications : WB, IHC, IF, FACS, ELISA
    Reactivity : Human
    Pred. Reactivity : Mouse

Description

Lin-28 homolog B (LIN28B) is overexpressed in hepatocellular carcinoma. The heterochronic gene lin-28 is a key regulator of developmental timing in the nematode Caenorhabditis elegans. Similar with lin-28 proteins, LIN28B conserves a cold shock domain and a pair of CCHC zinc finger domains. Phylogenetic analysis suggests that they might arise as a result of duplication from an ancestral gene. Overexpression of LIN28B was noted in most HCC cell lines and clinical samples. A short LIN28B isoform was also identified in non-tumor liver tissue and fetal liver. Although predominantly localized in the cytoplasm, LIN28B protein shows cell cycle-dependent nuclear translocation in Huh7 cells. Induced expression of exogenous LIN28B in a tet-off cell line promoted cancer cell proliferation.

Application Notes

Titration of the LIN28B antibody may be required due to differences in protocols and secondary/substrate sensitivity.

Immunogen

A portion of amino acids 1-30 from the human protein was used as the immunogen for this LIN28B antibody.

Storage

Aliquot the LIN28B antibody and store frozen at -20oC or colder. Avoid repeated freeze-thaw cycles.

Cross
Bulk Quote Request Form
Name*:
Organization*:
Email*:
Phone Number*:
Catalog No.*:
Comments and Specifics(amount, formulation, etc.)*:
Validation code: Captchapackage Image


Can't read the image? click here to refresh.
    *required field

Your bulk quote request has been submitted successfully!

Please contact us if you have any questions.