• Tel: 858.663.9055
  • SeparatorEmail: info@nsjbio.com
  • Tel: 858.663.9055
  • Email: info@nsjbio.com
Home >> Antibodies >> LIN28A Antibody / Lin28

LIN28A Antibody / Lin28 (RQ5665)

  Catalog No Formulation Size Price (USD)  
Image RQ5665 0.5mg/ml if reconstituted with 0.2ml sterile DI water 100 ug 449
Bulk quote request
Immunofluorescent staining of FFPE human breast cancer with LIN28A antibody (red) and DAPI nuclear stain (blue). HIER: steam section in pH6 citrate buffer for 20 min.
Immunofluorescent staining of FFPE rat intestine with LIN28A antibody (red) and DAPI nuclear stain (blue). HIER: steam section in pH6 citrate buffer for 20 min.
IHC staining of FFPE human testis cancer with LIN28A antibody. HIER: boil tissue sections in pH8 EDTA for 20 min and allow to cool before testing.
IHC staining of FFPE mouse intestine with LIN28A antibody. HIER: boil tissue sections in pH8 EDTA for 20 min and allow to cool before testing.
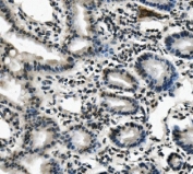
IHC staining of FFPE rat intestine with LIN28A antibody. HIER: boil tissue sections in pH8 EDTA for 20 min and allow to cool before testing.
Western blot testing of human 1) placenta, 2) K562, 3) Caco-2, 4) rat testis and 5) mouse intestine lysate with LIN28A antibody. Predicted molecular weight: 23 kDa, observed molecular weight: 23-28 kDa.
Flow cytometry testing of human PC-3 cells with LIN28A antibody at 1ug/million cells (blocked with goat sera); Red=cells alone, Green=isotype control, Blue= LIN28A antibody.
Availability 1-3 business days
Species Reactivity Human, Mouse, Rat
Format Antigen affinity purified
Host Rabbit
Clonality Polyclonal
Isotype Rabbit IgG
Purity Affinity purified
Buffer Lyophilized from 1X PBS with 2% Trehalose and 0.025% sodium azide
UniProt Q9H9Z2
Localization Nuclear, cytoplasmic
Applications Western Blot : 0.5-1ug/ml
Immunohistochemistry : 1-2ug/ml
Immunofluorescence : 2-4ug/ml
Flow Cytometry : 1-3ug/million cells
Direct ELISA : 0.1-0.5ug/ml
Limitations This LIN28A antibody is available for research use only.
Review this product on BioCompare and get a $20 Amazon gift card

Related Products

  • Applications : FACS
    Reactivity : Human
    Microvalidated
  • Applications : WB, IHC, IF, ELISA
    Reactivity : Human
  • Applications : WB, IF, IHC, FACS, ELISA
    Reactivity : Human, Mouse
  • Applications : WB, ELISA
    Reactivity : Human
  • Applications : WB, ELISA
    Reactivity : Human, Mouse

Description

Protein lin-28 homolog A is a protein that in humans is encoded by the LIN28A gene. It is mapped to 1p36.11. This gene encodes a LIN-28 family RNA-binding protein that acts as a posttranscriptional regulator of genes involved in developmental timing and self-renewal in embryonic stem cells. The encoded protein functions through direct interaction with target mRNAs and by disrupting the maturation of certain miRNAs involved in embryonic development. This protein prevents the terminal processing of the LET7 family of microRNAs which are major regulators of cellular growth and differentiation. Aberrant expression of this gene is associated with cancer progression in multiple tissues.

Application Notes

Optimal dilution of the LIN28A antibody should be determined by the researcher.

Immunogen

Recombinant human protein (amino acids S3-N209) was used as the immunogen for the LIN28A antibody.

Storage

After reconstitution, the LIN28A antibody can be stored for up to one month at 4oC. For long-term, aliquot and store at -20oC. Avoid repeated freezing and thawing.

Cross
Bulk Quote Request Form
Name*:
Organization*:
Email*:
Phone Number*:
Catalog No.*:
Comments and Specifics(amount, formulation, etc.)*:
Validation code: Captchapackage Image


Can't read the image? click here to refresh.
    *required field

Your bulk quote request has been submitted successfully!

Please contact us if you have any questions.