• Tel: 858.663.9055
  • SeparatorEmail: info@nsjbio.com
  • Tel: 858.663.9055
  • Email: info@nsjbio.com
Home >> Antibodies >> LIN28A Antibody

LIN28A Antibody (F41287)

  Catalog No Formulation Size Price (USD)  
Image F41287-0.4ML In 1X PBS, pH 7.4, with 0.09% sodium azide 0.4 ml 439
Image
F41287-0.08ML In 1X PBS, pH 7.4, with 0.09% sodium azide 0.08 ml 205
Bulk quote request
Immunofluorescent analysis of A549 cells using LIN28A antibody at 1:100. Alexa Fluor 488-conjugated secondary was used (green). Cytoplasmic actin was counterstained with Dylight Fluor 554 conjugated Phalloidin (red).
LIN28A antibody western blot analysis in mouse Neuro-2a lysate. Predicted molecular weight ~23 kDa.
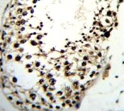
LIN28A antibody immunohistochemistry analysis in formalin fixed and paraffin embedded human testis tissue.
Availability 1-3 business days
Species Reactivity Human, Mouse
Format Purified
Host Rabbit
Clonality Polyclonal (rabbit origin)
Isotype Rabbit Ig
Purity Purified
UniProt Q9H9Z2
Applications Western Blot : 1:1000
Immunofluorescence : 1:10-1:100
IHC (Paraffin) : 1:50-1:100
Flow Cytometry : 1:10-1:50
Limitations This LIN28A antibody is available for research use only.
Review this product on BioCompare and get a $20 Amazon gift card

Related Products

  • Applications : FACS
    Reactivity : Human
    Microvalidated
  • Applications : WB, IHC, IF, ELISA
    Reactivity : Human
  • Applications : WB, ELISA
    Reactivity : Human
  • Applications : WB, ELISA
    Reactivity : Human, Mouse
  • Applications : WB, IHC-P, IF, FACS, Direct ELISA
    Reactivity : Human, Mouse, Rat

Description

Acts as a 'translational enhancer', driving specific mRNAs to polysomes and thus increasing the efficiency of protein synthesis. Its association with the translational machinery and target mRNAs results in an increased number of initiation events per molecule of mRNA and, indirectly, in stabilizing the mRNAs. Binds IGF2 mRNA, MYOD1 mRNA, ARBP/36B4 ribosomal protein mRNA and its own mRNA. Essential for skeletal muscle differentiation program through the translational up-regulation of IGF2 expression (By similarity). Acts as a suppressor of microRNA (miRNA) biogenesis by specifically binding the precursor let-7 (pre-let-7), a miRNA precursor. Acts by binding pre-let-7 and recruiting ZCCHC11/TUT4 uridylyltransferase, leading to the terminal uridylation of pre-let-7. Uridylated pre-let-7 miRNAs fail to be processed by Dicer and undergo degradation. Degradation of pre-let-7 in embryonic stem (ES) cells contributes to the maintenance of ES cells. In contrast, LIN28A down-regulation in neural stem cells by miR-125, allows the processing of pre-let-7. Specifically recognizes the 5'-GGAG-3' motif in the terminal loop of pre-let-7. Also recognizes and binds non pre-let-7 pre-miRNAs that contain the 5'-GGAG-3' motif in the terminal loop, leading to their terminal uridylation and subsequent degradation.

Application Notes

Titration of the LIN28A antibody may be required due to differences in protocols and secondary/substrate sensitivity.

Immunogen

A portion of amino acids 108-138 from the human protein was used as the immunogen for this LIN28A antibody.

Storage

Aliquot the LIN28A antibody and store frozen at -20oC or colder. Avoid repeated freeze-thaw cycles.

Cross
Bulk Quote Request Form
Name*:
Organization*:
Email*:
Phone Number*:
Catalog No.*:
Comments and Specifics(amount, formulation, etc.)*:
Validation code: Captchapackage Image


Can't read the image? click here to refresh.
    *required field

Your bulk quote request has been submitted successfully!

Please contact us if you have any questions.