• Tel: 858.663.9055
  • SeparatorEmail: info@nsjbio.com
  • Tel: 858.663.9055
  • Email: info@nsjbio.com
Home >> Antibodies >> LIMA1 Antibody / EPLIN

LIMA1 Antibody / EPLIN (RQ7363)

  Catalog No Formulation Size Price (USD)  
Image RQ7363 0.5mg/ml if reconstituted with 0.2ml sterile DI water 100 ug 449
Bulk quote request
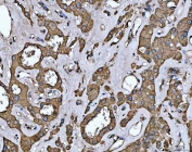
IHC staining of FFPE human lung squamous cell carcinoma tissue with LIMA1 antibody. HIER: boil tissue sections in pH8 EDTA for 20 min and allow to cool before testing.
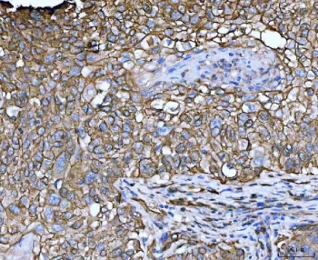
IHC staining of FFPE human oncocytoma of the right kidney tissue with LIMA1 antibody. HIER: boil tissue sections in pH8 EDTA for 20 min and allow to cool before testing.
Immunofluorescent staining of FFPE human U-2 OS cells with LIMA1 antibody (green) and DAPI nuclear stain (blue). HIER: steam section in pH6 citrate buffer for 20 min.
Western blot testing of human 1) HeLa, 2) HepG2, 3) 293T and 4) T-47D cell lysate with LIMA1 antibody. Predicted molecular weight: ~67 kDa (alpha) and ~85 kDa (beta).
Flow cytometry testing of human ThP-1 cells with LIMA1 antibody at 1ug/million cells (blocked with goat sera); Red=cells alone, Green=isotype control, Blue= LIMA1 antibody.
Availability 1-3 business days
Species Reactivity Human
Format Antigen affinity purified
Host Rabbit
Clonality Polyclonal (rabbit origin)
Isotype Rabbit IgG
Purity Antigen affinity purified
Buffer Lyophilized from 1X PBS with 2% Trehalose
UniProt Q9UHB6
Localization Cell membrane, cytoplasm
Applications Western Blot : 0.5-1ug/ml
Immunohistochemistry (FFPE) : 2-5ug/ml
Immunofluorescence : 5ug/ml
Flow Cytometry : 1-3ug/million cells
Direct ELISA : 0.1-0.5ug/ml
Limitations This LIMA1 antibody is available for research use only.
Review this product on BioCompare and get a $20 Amazon gift card

Description

LIM domain and actin-binding protein 1, also called EPLIN (Epithelial protein lost in neoplasm), is a protein that in humans is encoded by the LIMA1 gene. This gene encodes a cytoskeleton-associated protein that inhibits actin filament depolymerization and cross-links filaments in bundles. It is downregulated in some cancer cell lines. Alternatively spliced transcript variants encoding different isoforms have been described for this gene, and expression of some of the variants maybe independently regulated.

Application Notes

Optimal dilution of the LIMA1 antibody should be determined by the researcher.

Immunogen

Recombinant human protein (amino acids R9-E744) was used as the immunogen for the LIMA1 antibody.

Storage

After reconstitution, the LIMA1 antibody can be stored for up to one month at 4oC. For long-term, aliquot and store at -20oC. Avoid repeated freezing and thawing.

Cross
Bulk Quote Request Form
Name*:
Organization*:
Email*:
Phone Number*:
Catalog No.*:
Comments and Specifics(amount, formulation, etc.)*:
Validation code: Captchapackage Image


Can't read the image? click here to refresh.
    *required field

Your bulk quote request has been submitted successfully!

Please contact us if you have any questions.