• Tel: 858.663.9055
  • SeparatorEmail: info@nsjbio.com
  • Tel: 858.663.9055
  • Email: info@nsjbio.com
Home >> Antibodies >> LI Cadherin Antibody Recombinant Mouse MAb / Cadherin 17

LI Cadherin Antibody Recombinant Mouse MAb / Cadherin 17 [clone rCDH17/8514] (V5219)

  Catalog No Formulation Size Price (USD)  
Image V5219-100UG 0.2 mg/ml in 1X PBS with 0.1 mg/ml BSA (US sourced), 0.05% sodium azide 100 ug 559
Image
V5219-20UG 0.2 mg/ml in 1X PBS with 0.1 mg/ml BSA (US sourced), 0.05% sodium azide 20 ug 259
Image
V5219SAF-100UG 1 mg/ml in 1X PBS; BSA free, sodium azide free 100 ug 559
Microvalidated Recmousemono
Bulk quote request
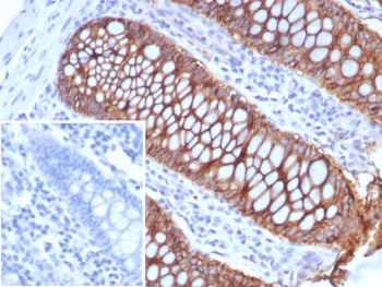
Immunohistochemistry of LI Cadherin antibody in human colon tissue. The recombinant mouse mAb clone rCDH17/8514 demonstrates strong membranous HRP-DAB brown staining along the lateral borders of colonic epithelial cells, consistent with Cadherin 17 localization in intestinal epithelium. Staining highlights well-organized glandular crypt structures with preserved epithelial polarity, while surrounding stromal tissue shows minimal background signal. The negative control inset, using PBS in place of the primary antibody, shows no specific staining. Heat-induced epitope retrieval was performed by boiling tissue sections in pH 9 10mM Tris with 1mM EDTA for 20 minutes followed by cooling prior to incubation.
SDS-PAGE analysis of purified, BSA-free LI Cadherin antibody (clone rCDH17/8514) as confirmation of integrity and purity.
Western blot analysis of LI Cadherin antibody in human small intestine tissue lysate. The recombinant mouse mAb clone rCDH17/8514 detects a prominent band above 92 kDa, consistent with Cadherin 17. The predicted molecular weight of Cadherin 17 is approximately 92 kDa based on its amino acid sequence; however, the protein is heavily glycosylated, which commonly results in slower migration and an apparent higher molecular weight on SDS-PAGE. The observed band pattern aligns with expected glycosylated CDH17 expression in small intestinal epithelial tissue.
Availability 1-3 business days
Species Reactivity Human
Format Purified
Host Mouse
Clonality Recombinant Mouse Monoclonal
Isotype Mouse IgG1, kappa
Clone Name rCDH17/8514
Purity Protein A affinity
UniProt Q12864
Localization Cell Surface, Cytoplasm
Applications Immunohistochemistry (FFPE) : 1-2ug/ml for 30 min at RT
Western Blot : 2-4ug/ml
Limitations This LI Cadherin antibody is available for research use only.
Review this product on BioCompare and get a $20 Amazon gift card

Related Products

Description

LI Cadherin antibody recognizes Cadherin 17, a calcium-dependent cell adhesion molecule encoded by the CDH17 gene located on chromosome 8q22.1. LI Cadherin Antibody Recombinant Mouse MAb is developed to detect this intestinal-type cadherin that mediates epithelial cell-cell adhesion in gastrointestinal tissues. Cadherin 17 is widely known as Liver-intestine cadherin and LI-cadherin, and it is structurally distinct from classical cadherins because it lacks the conserved cytoplasmic catenin-binding domain. The protein localizes primarily to the plasma membrane of epithelial cells, where it contributes to calcium-dependent adhesion and maintenance of epithelial architecture.

CDH17 antibody, also referred to as Cadherin 17 antibody and LI-cadherin antibody in the literature, targets a member of the cadherin superfamily characterized by seven extracellular cadherin repeats and a short cytoplasmic tail. Unlike E-cadherin, LI Cadherin mediates adhesion independently of beta-catenin interaction. It is strongly expressed in small intestine and colon epithelium and is also detected in pancreatic ducts and certain gastric epithelial cells. Because of its restricted distribution in normal tissues and consistent expression in intestinal epithelium, LI Cadherin antibody is frequently used to evaluate gastrointestinal differentiation in research settings.

Aberrant CDH17 expression has been reported in colorectal adenocarcinoma, gastric carcinoma, pancreatic adenocarcinoma, and other gastrointestinal malignancies. In tumor tissues, LI-cadherin typically demonstrates strong membranous staining in well-differentiated epithelial tumor cells, reflecting preservation of intestinal lineage features. Reduced or altered expression patterns may correlate with tumor progression or dedifferentiation in certain contexts. CDH17 antibody is therefore commonly applied in studies of gastrointestinal tumor biology and epithelial lineage characterization.

Beyond its adhesive function, Cadherin 17 has been implicated in signaling pathways that influence cell proliferation and migration. Experimental data suggest that CDH17 may contribute to tumor growth and survival in colorectal cancer models, supporting its relevance in oncogenic signaling research. Its stable membranous localization in intestinal-type epithelium makes LI Cadherin antibody a useful tool for examining epithelial organization and tumor differentiation.

This recombinant mouse monoclonal antibody clone rCDH17/8514 targets Cadherin 17 for research applications involving epithelial biology, intestinal differentiation, and cancer studies. By enabling detection of CDH17 expression and membranous localization, this LI Cadherin antibody supports investigations into gastrointestinal epithelial identity at NSJ Bioreagents.

Application Notes

Optimal dilution of the LI Cadherin antibody recombinant mouse mAb should be determined by the researcher.

Immunogen

A recombinant partial protein sequence (within amino acids 242-418) from the human protein was used as the immunogen for the LI Cadherin antibody recombinant mouse mAb.

Storage

Aliquot the LI Cadherin antibody and store frozen at -20oC or colder. Avoid repeated freeze-thaw cycles.

Cross
Bulk Quote Request Form
Name*:
Organization*:
Email*:
Phone Number*:
Catalog No.*:
Comments and Specifics(amount, formulation, etc.)*:
Validation code: Captchapackage Image


Can't read the image? click here to refresh.
    *required field

Your bulk quote request has been submitted successfully!

Please contact us if you have any questions.