• Tel: 858.663.9055
  • SeparatorEmail: info@nsjbio.com
  • Tel: 858.663.9055
  • Email: info@nsjbio.com
Home >> Antibodies >> LGI4 Antibody / Leucine-rich repeat LGI family member 4

LGI4 Antibody / Leucine-rich repeat LGI family member 4 (RQ8567)

  Catalog No Formulation Size Price (USD)  
Image RQ8567 0.5mg/ml if reconstituted with 0.2ml sterile DI water 100 ug 449
Bulk quote request
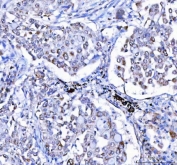
IHC staining of FFPE human liver cancer tissue with LGI4 antibody. HIER: boil tissue sections in pH8 EDTA for 20 min and allow to cool before testing.
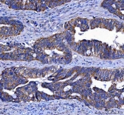
IHC staining of FFPE human colorectal adenocarcinoma tissue with LGI4 antibody. HIER: boil tissue sections in pH8 EDTA for 20 min and allow to cool before testing.
IHC staining of FFPE human bladder urothelial carcinoma tissue with LGI4 antibody. HIER: boil tissue sections in pH8 EDTA for 20 min and allow to cool before testing.
IHC staining of FFPE human glioma tissue with LGI4 antibody. HIER: boil tissue sections in pH8 EDTA for 20 min and allow to cool before testing.
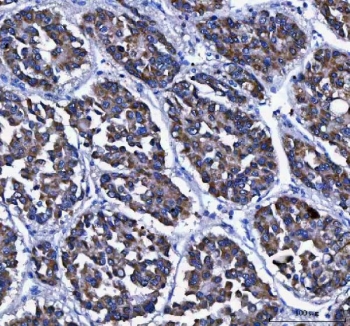
IHC staining of FFPE human lung cancer tissue with LGI4 antibody. HIER: boil tissue sections in pH8 EDTA for 20 min and allow to cool before testing.
Immunofluorescent staining of FFPE human SiHa cells with LGI4 antibody (red) and DAPI nuclear stain (blue). HIER: steam section in pH6 citrate buffer for 20 min.
Western blot testing of 1) human HepG2, 2) human HaCaT, 3) human SiHa, 4) human U-251, 5) rat brain, 6) rat stomach, 7) mouse brain and 8) mouse stomach tissue lysate with LGI4 antibody. Predicted molecular weight ~59 kDa.
Flow cytometry testing of fixed and permeabilized human JK cells with LGI4 antibody at 1ug/million cells (blocked with goat sera); Red=cells alone, Green=isotype control, Blue= LGI4 antibody.
Availability 1-3 days
Species Reactivity Human, Mouse, Rat
Format Antigen affinity purified
Host Rabbit
Clonality Polyclonal (rabbit origin)
Isotype Rabbit IgG
Purity Antigen affinity purified
Buffer Lyophilized from 1X PBS with 2% Trehalose
UniProt Q8N135
Applications Western Blot : 0.5-1ug/ml
Immunohistochemistry (FFPE) : 2-5ug/ml
Immunofluorescence : 5ug/ml
Flow Cytometry : 1-3ug/million cells
ELISA : 0.1-0.5ug/ml
Limitations This LGI4 antibody is available for research use only.
Review this product on BioCompare and get a $20 Amazon gift card

Description

The leucine-rich, glioma inactivated gene 4 (LGI4) is a member of the LGI family. The LGI family consists of four of highly related proteins containing leucine-rich repeats (LRRs). Despite its high homology with LGI1 and similar pattern of expression, mutations in LGI4 have not been found to be associated with autodominant lateral temporal epilepsy (ADTLE). However, the LGI4 gene is located in a region linked to benign familial infantile convulsions and a GC-to-AT polymorphism in LGI4 was correlated with childhood absence epilepsy. Other studies showed that decreasing LGI4 expression in cultured cells inhibits myelination, indicating that LGI4 may play a role in neural development.

Application Notes

Optimal dilution of the LGI4 antibody should be determined by the researcher.

Immunogen

An E.coli-derived human recombinant protein (amino acids E225-H531) was used as the immunogen for the LGI4 antibody.

Storage

After reconstitution, the LGI4 antibody can be stored for up to one month at 4oC. For long-term, aliquot and store at -20oC. Avoid repeated freezing and thawing.

Cross
Bulk Quote Request Form
Name*:
Organization*:
Email*:
Phone Number*:
Catalog No.*:
Comments and Specifics(amount, formulation, etc.)*:
Validation code: Captchapackage Image


Can't read the image? click here to refresh.
    *required field

Your bulk quote request has been submitted successfully!

Please contact us if you have any questions.