• Tel: 858.663.9055
  • SeparatorEmail: info@nsjbio.com
  • Tel: 858.663.9055
  • Email: info@nsjbio.com
Home >> Antibodies >> LGALS9 Antibody / Galectin 9

LGALS9 Antibody / Galectin 9 [clone LGALS9/7689] (V5937)

  Catalog No Formulation Size Price (USD)  
Image V5937-100UG 0.2 mg/ml in 1X PBS with 0.05% BSA, 0.05% sodium azide 100 ug 559
Image
V5937-20UG 0.2 mg/ml in 1X PBS with 0.05% BSA, 0.05% sodium azide 20 ug 259
Image
V5937SAF-100UG 1 mg/ml in 1X PBS; BSA free, sodium azide free 100 ug 559
Bulk quote request
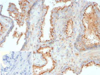
Immunohistochemistry analysis of LGALS9 / Galectin 9 antibody (clone LGALS9/7689) in human prostate tissue. Formalin-fixed, paraffin-embedded human prostate tissue was stained using LGALS9 / Galectin 9 antibody (clone LGALS9/7689). Heat-induced epitope retrieval was performed by heating tissue sections in 10mM Tris with 1mM EDTA, pH 9.0, for 45 minutes at 95oC followed by cooling at room temperature for 20 minutes prior to antibody incubation. Brown chromogenic signal is observed predominantly along the apical and cytoplasmic regions of glandular epithelial cells, while surrounding stromal elements show minimal staining. The inset image represents a secondary-only negative control using PBS in place of primary antibody, demonstrating absence of specific staining.
SDS-PAGE analysis of purified LGALS9 / Galectin 9 antibody (clone LGALS9/7689). Confirmation of Purity and Integrity of Antibody.
Species Reactivity Human
Format Purified
Host Mouse
Clonality Monoclonal (mouse origin)
Isotype Mouse IgG2, kappa
Clone Name LGALS9/7689
UniProt O00182
Localization Cytoplasm
Applications Immunohistochemistry (FFPE) : 1-2ug/ml
Limitations This LGALS9/Galectin 9 antibody is available for research use only.
Review this product on BioCompare and get a $20 Amazon gift card

Description

LGALS9 Antibody recognizes Galectin 9, also known as Lectin galactoside-binding soluble 9, a beta-galactoside-binding lectin encoded by the LGALS9 gene. Galectin 9 antibody is widely referenced in immunology literature as LGALS9 antibody and Gal-9 antibody due to its established role in immune regulation and tumor immunology. Galectin 9 belongs to the galectin family of carbohydrate-binding proteins characterized by conserved carbohydrate recognition domains that bind beta-galactoside-containing glycoconjugates.

Galectin 9 is expressed in a variety of immune and epithelial cell types and can localize to the cytoplasm, nucleus, and extracellular space depending on cellular context. Structurally, Galectin 9 contains two tandem carbohydrate recognition domains connected by a linker peptide, allowing it to crosslink glycoproteins on the cell surface. This structural organization enables Galectin 9 to modulate cell adhesion, apoptosis, and immune checkpoint signaling pathways. LGALS9 antibody is commonly used in studies evaluating Galectin 9 expression in inflammatory diseases, viral infections, and cancer microenvironments.

Functionally, Galectin 9 is best known for its interaction with immune regulatory receptors such as TIM-3, influencing T cell exhaustion, tolerance, and immune homeostasis. Through these interactions, Galectin 9 participates in the regulation of innate and adaptive immune responses. Altered expression of LGALS9 has been reported in multiple tumor types, where Galectin 9 expression may correlate with immune infiltration and tumor immune evasion mechanisms. As a result, Galectin 9 antibody is frequently utilized in tumor immunology and biomarker research settings.

Beyond immune modulation, Galectin 9 has been implicated in cell aggregation, apoptosis induction, and regulation of cytokine production. Differential expression patterns across tissues and disease states make LGALS9 Antibody a valuable tool for examining Galectin 9 distribution and its role in immune checkpoint biology, inflammatory signaling, and cancer-associated immune landscapes.

Application Notes

Optimal dilution of the LGALS9/Galectin 9 antibody should be determined by the researcher.

Immunogen

A recombinant fragment (around amino acids 200-355) of human LGALS9 protein (exact sequence is proprietary) was used as the immunogen for the LGALS9/Galectin 9 antibody.

Storage

LGALS9/Galectin 9 antibody with sodium azide - store at 2 to 8oC; antibody without sodium azide - store at -20 to -80oC.

Cross
Bulk Quote Request Form
Name*:
Organization*:
Email*:
Phone Number*:
Catalog No.*:
Comments and Specifics(amount, formulation, etc.)*:
Validation code: Captchapackage Image


Can't read the image? click here to refresh.
    *required field

Your bulk quote request has been submitted successfully!

Please contact us if you have any questions.