• Tel: 858.663.9055
  • SeparatorEmail: info@nsjbio.com
  • Tel: 858.663.9055
  • Email: info@nsjbio.com
Home >> Antibodies >> LGALS3BP Antibody / Galectin-3-binding protein

LGALS3BP Antibody / Galectin-3-binding protein (RQ4420)

  Catalog No Formulation Size Price (USD)  
Image RQ4420 0.5mg/ml if reconstituted with 0.2ml sterile DI water 100 ug 449
Bulk quote request
Western blot testing of human 1) HeLa, 2) COLO-320 and 3) mouse HEPA1-6 cell lysate with LGALS3BP antibody at 0.5ug/ml. Expected molecular weight: 65-90 kDa depending on glycosylation level.
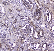
IHC testing of FFPE human intestinal cancer tissue with LGALS3BP antibody at 1ug/ml. Required HIER: steam section in pH6 citrate buffer for 20 min and allow to cool prior to staining.
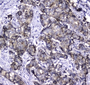
IHC testing of FFPE human breast cancer tissue with LGALS3BP antibody at 1ug/ml. Required HIER: steam section in pH6 citrate buffer for 20 min and allow to cool prior to staining.
IHC testing of FFPE human lung cancer tissue with LGALS3BP antibody at 1ug/ml. Required HIER: steam section in pH6 citrate buffer for 20 min and allow to cool prior to staining.
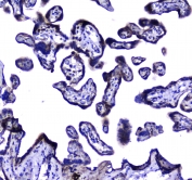
IHC testing of FFPE human placental tissue with LGALS3BP antibody at 1ug/ml. Required HIER: steam section in pH6 citrate buffer for 20 min and allow to cool prior to staining.
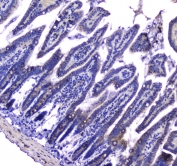
IHC testing of FFPE mouse small intestine tissue with LGALS3BP antibody at 1ug/ml. Required HIER: steam section in pH6 citrate buffer for 20 min and allow to cool prior to staining.
Western blot testing of 1) human HeLa, 2) human 293T, 3) human HepG2, 4) rat brain and 5) mouse brain tissue lysate with LGALS3BP antibody at 0.5ug/ml. Expected molecular weight: 65-90 kDa depending on glycosylation level.
Availability 1-3 business days
Species Reactivity Human, Mouse, Rat
Format Antigen affinity purified
Host Rabbit
Clonality Polyclonal (rabbit origin)
Isotype Rabbit IgG
Purity Antigen affinity purified
Buffer Lyophilized from 1X PBS with 2% Trehalose and 0.025% sodium azide
UniProt Q08380
Applications Western Blot : 0.5-1ug/ml
Immunohistochemistry (FFPE) : 1-2ug/ml
Limitations This LGALS3BP antibody is available for research use only.
Review this product on BioCompare and get a $20 Amazon gift card

Related Products

Description

Galectin-3-binding protein is a protein that in humans is encoded by the LGALS3BP gene. The galectins are a family of beta-galactoside-binding proteins implicated in modulating cell-cell and cell-matrix interactions. LGALS3BP has been found elevated in the serum of patients with cancer and in those infected by the human immunodeficiency virus (HIV). It appears to be implicated in immune response associated with natural killer (NK) and lymphokine-activated killer (LAK) cell cytotoxicity. Using fluorescence in situ hybridization the full length 90K cDNA has been localized to chromosome 17q25. The native protein binds specifically to a human macrophage-associated lectin known as Mac-2 and also binds galectin 1.

Application Notes

Optimal dilution of the LGALS3BP antibody should be determined by the researcher.

Immunogen

Amino acids HEALFQKKTLQALEFHTVPFQLLARYKGLNLTEDTYKPR from the human protein were used as the immunogen for the LGALS3BP antibody.

Storage

After reconstitution, the LGALS3BP antibody can be stored for up to one month at 4oC. For long-term, aliquot and store at -20oC. Avoid repeated freezing and thawing.

Cross
Bulk Quote Request Form
Name*:
Organization*:
Email*:
Phone Number*:
Catalog No.*:
Comments and Specifics(amount, formulation, etc.)*:
Validation code: Captchapackage Image


Can't read the image? click here to refresh.
    *required field

Your bulk quote request has been submitted successfully!

Please contact us if you have any questions.