• Tel: 858.663.9055
  • SeparatorEmail: info@nsjbio.com
  • Tel: 858.663.9055
  • Email: info@nsjbio.com
Home >> Antibodies >> Lewis y Antibody

Lewis y Antibody [clone A70-A/A9] (V3309)

  Catalog No Formulation Size Price (USD)  
Image V3309-100UG 0.2 mg/ml in 1X PBS with 0.1 mg/ml BSA (US sourced) and 0.05% sodium azide 100 ug 559
Image
V3309-20UG 0.2 mg/ml in 1X PBS with 0.1 mg/ml BSA (US sourced) and 0.05% sodium azide 20 ug 259
Image
V3309SAF-100UG 1 mg/ml in 1X PBS; BSA free, sodium azide free 100 ug 559
Bulk quote request
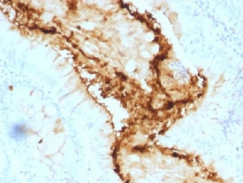
IHC testing of FFPE human colon carcinoma with Lewis y antibody (clone A70-A/A9). Required HIER: boil tissue sections in 10mM citrate buffer, pH 6, for 10-20 min.
SDS-PAGE analysis of purified, BSA-free Lewis y antibody (clone A70-A/A9) as confirmation of integrity and purity.
Availability 1-3 business days
Species Reactivity Human
Format Purified
Host Mouse
Clonality Monoclonal (mouse origin)
Isotype Mouse IgG1, kappa
Clone Name A70-A/A9
Purity Protein G affinity chromatography
Localization Cell membrane, cytoplasmic and extracellular
Applications Flow Cytometry : 0.5-1ug/10^6 cells
Immunofluorescence : 0.5-1ug/ml
Immunohistochemistry (FFPE) : 0.5-1ug/ml for 30 min at RT
Limitations This Lewis y antibody is available for research use only.
Review this product on BioCompare and get a $20 Amazon gift card

Related Products

Description

This antibody recognizes a carbohydrate epitope present on tumor-associated Lewis y antigen (Fucalpha1-2Galbeta1-4/3[Fucalpha1-3/4]GlcNAcbeta-). Lewis y is expressed in large bowel tumors and colorectal carcinomas. It may be useful in the classification of human renal and bladder tumors. The Lewis y antigen has been evaluated as a clinical marker for the diagnosis and prognosis of cholangiocarcinoma, hepatocellular carcinoma and breast cancer.

Application Notes

Optimal dilution of the Lewis y antibody should be determined by the researcher.

Immunogen

Live Ls174T cells (human colon carcinoma) were used as the immunogen for the Lewis y antibody.

Storage

Store the Lewis y antibody at 2-8oC (with azide) or aliquot and store at -20oC or colder (without azide).

Cross
Bulk Quote Request Form
Name*:
Organization*:
Email*:
Phone Number*:
Catalog No.*:
Comments and Specifics(amount, formulation, etc.)*:
Validation code: Captchapackage Image


Can't read the image? click here to refresh.
    *required field

Your bulk quote request has been submitted successfully!

Please contact us if you have any questions.