• Tel: 858.663.9055
  • SeparatorEmail: info@nsjbio.com
  • Tel: 858.663.9055
  • Email: info@nsjbio.com
Home >> Antibodies >> Leupaxin Antibody

Leupaxin Antibody (R31317)

  Catalog No Formulation Size Price (USD)  
Image R31317 0.5mg/ml if reconstituted with 0.2ml sterile DI water 100 ug 449
Bulk quote request
Western blot testing of Leupaxin antibody and Lane 1: rat thymus; 2: human Jurkat cell lysate. Expected/observed size ~43KD
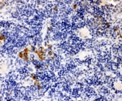
IHC-P: Leupaxin antibody testing of mouse spleen tissue
IHC-P: Leupaxin antibody testing of rat spleen tissue
Availability 1-3 business days
Species Reactivity Human, Mouse, Rat
Format Antigen affinity purified
Host Rabbit
Clonality Polyclonal (rabbit origin)
Isotype Rabbit IgG
Purity Antigen affinity
Buffer Lyophilized from 1X PBS with 2.5% BSA and 0.025% sodium azide/thimerosal
UniProt O60711
Applications Western Blot : 0.5-1ug/ml
IHC (FFPE) : 0.5-1ug/ml
Limitations This Leupaxin antibody is available for research use only.
Review this product on BioCompare and get a $20 Amazon gift card

Description

Leupaxin is a protein that in humans is encoded by the LPXN gene. This gene is mapped to 11q12.1. The product encoded by this gene is preferentially expressed in hematopoietic cells and belongs to the paxillin protein family. Similar to other members of this focal-adhesion-associated adaptor-protein family, it has four leucine-rich LD-motifs in the N-terminus and four LIM domains in the C-terminus. It may function in cell type-specific signaling by associating with PYK2, a member of focal adhesion kinase family. As a substrate for a tyrosine kinase in lymphoid cells, Leupaxin may also function in, and be regulated by, tyrosine kinase activity.

Application Notes

The stated application concentrations are suggested starting amounts. Titration of the Leupaxin antibody may be required due to differences in protocols and secondary/substrate sensitivity.

Immunogen

An amino acid sequence from the N-terminus of human Leupaxin (KKHLPDKQDHKASLD) was used as the immunogen for this Leupaxin antibody.

Storage

After reconstitution, the Leupaxin antibody can be stored for up to one month at 4oC. For long-term, aliquot and store at -20oC. Avoid repeated freezing and thawing.

Cross
Bulk Quote Request Form
Name*:
Organization*:
Email*:
Phone Number*:
Catalog No.*:
Comments and Specifics(amount, formulation, etc.)*:
Validation code: Captchapackage Image


Can't read the image? click here to refresh.
    *required field

Your bulk quote request has been submitted successfully!

Please contact us if you have any questions.