• Tel: 858.663.9055
  • SeparatorEmail: info@nsjbio.com
  • Tel: 858.663.9055
  • Email: info@nsjbio.com
Home >> Antibodies >> Leukotriene A-4 hydrolase Antibody / LTA4H

Leukotriene A-4 hydrolase Antibody / LTA4H (RQ8489)

  Catalog No Formulation Size Price (USD)  
Image RQ8489 0.5mg/ml if reconstituted with 0.2ml sterile DI water 100 ug 449
Bulk quote request
Immunofluorescent staining of FFPE human intestinal cancer tissue with Leukotriene A-4 hydrolase antibody (red) and DAPI nuclear stain (blue). HIER: steam section in pH8 EDTA buffer for 20 min.
IHC staining of FFPE human thyroid papillary carcinoma tissue with Leukotriene A-4 hydrolase antibody. HIER: boil tissue sections in pH8 EDTA for 20 min and allow to cool before testing.
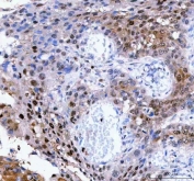
IHC staining of FFPE human rectal cancer tissue with Leukotriene A-4 hydrolase antibody. HIER: boil tissue sections in pH8 EDTA for 20 min and allow to cool before testing.
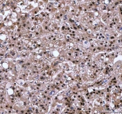
IHC staining of FFPE human liver cancer tissue with Leukotriene A-4 hydrolase antibody. HIER: boil tissue sections in pH8 EDTA for 20 min and allow to cool before testing.
IHC staining of FFPE human esophageal squamous carcinoma tissue with Leukotriene A-4 hydrolase antibody. HIER: boil tissue sections in pH8 EDTA for 20 min and allow to cool before testing.
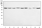
Western blot testing of 1) human 293T, 2) human Jurkat, 3) human A549, 4) human HeLa, 5) human HepG2, 6) human PC-3, 7) rat thymus, 8) rat C6 and 9) mouse thymus tissue lysate with Leukotriene A-4 hydrolase antibody. Predicted molecular weight ~69 kDa.
Flow cytometry testing of fixed and permeabilized human RT4 cells with Leukotriene A-4 hydrolase antibody at 1ug/million cells (blocked with goat sera); Red=cells alone, Green=isotype control, Blue= Leukotriene A-4 hydrolase antibody.
Availability 1-3 days
Species Reactivity Human, Mouse, Rat
Format Antigen affinity purified
Host Rabbit
Clonality Polyclonal (rabbit origin)
Isotype Rabbit IgG
Purity Antigen affinity purified
Buffer Lyophilized from 1X PBS with 2% Trehalose
UniProt P09960
Localization Cytoplasm, Nucleus
Applications Western Blot : 0.5-1ug/ml
Immunohistochemistry (FFPE) : 2-5ug/ml
Flow Cytometry : 1-3ug/million cells
Immunofluorescence : 5ug/ml
ELISA : 0.1-0.5ug/ml
Limitations This Leukotriene A-4 hydrolase antibody is available for research use only.
Review this product on BioCompare and get a $20 Amazon gift card

Description

The protein encoded by this gene is an enzyme that contains both hydrolase and aminopeptidase activities. The hydrolase activity is used in the final step of the biosynthesis of leukotriene B4, a proinflammatory mediator. The aminopeptidase activity has been shown to degrade proline-glycine-proline (PGP), a neutrophil chemoattractant and biomarker for chronic obstructive pulmonary disease (COPD). Several transcript variants encoding different isoforms have been found for this gene.

Application Notes

Optimal dilution of the Leukotriene A-4 hydrolase antibody should be determined by the researcher.

Immunogen

An E.coli-derived human recombinant protein (amino acids Q137-D611) was used as the immunogen for the Leukotriene A-4 hydrolase antibody.

Storage

After reconstitution, the Leukotriene A-4 hydrolase antibody can be stored for up to one month at 4oC. For long-term, aliquot and store at -20oC. Avoid repeated freezing and thawing.

Cross
Bulk Quote Request Form
Name*:
Organization*:
Email*:
Phone Number*:
Catalog No.*:
Comments and Specifics(amount, formulation, etc.)*:
Validation code: Captchapackage Image


Can't read the image? click here to refresh.
    *required field

Your bulk quote request has been submitted successfully!

Please contact us if you have any questions.