• Tel: 858.663.9055
  • SeparatorEmail: info@nsjbio.com
  • Tel: 858.663.9055
  • Email: info@nsjbio.com
Home >> Antibodies >> Leucyl tRNA synthetase Antibody / LARS

Leucyl tRNA synthetase Antibody / LARS (RQ4955)

  Catalog No Formulation Size Price (USD)  
Image RQ4955 0.5mg/ml if reconstituted with 0.2ml sterile DI water 100 ug 449
Bulk quote request
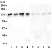
Western blot testing of human 1) HL-60, 2) K562, 3) ThP-1, 4) Caco-2, 5) rat liver, 6) mouse brain, 7) mouse liver and 8) mouse NIH3T3 lysate with Leucyl tRNA synthetase antibody at 0.5ug/ml. Predicted molecular weight ~134 kDa.
Availability 1-3 business days
Species Reactivity Human, Mouse, Rat
Format Antigen affinity purified
Host Rabbit
Clonality Polyclonal (rabbit origin)
Isotype Rabbit IgG
Purity Antigen affinity purified
Buffer Lyophilized from 1X PBS with 2% Trehalose and 0.025% sodium azide
UniProt Q9P2J5
Applications Western Blot : 0.5-1ug/ml
Direct ELISA : 0.1-0.5ug/ml
Limitations This Leucyl tRNA synthetase antibody is available for research use only.
Review this product on BioCompare and get a $20 Amazon gift card

Description

Leucyl-tRNA synthetase, cytoplasmic is an enzyme that in humans is encoded by the LARS gene. This gene is mapped to 5q32. It encodes a cytosolic leucine-tRNA synthetase, a member of the class I aminoacyl-tRNA synthetase family. The encoded enzyme catalyzes the ATP-dependent ligation of L-leucine to tRNA(Leu). It is found in the cytoplasm as part of a multisynthetase complex and interacts with the arginine tRNA synthetase through its C-terminal domain. A mutation in this gene was found in affected individuals with infantile liver failure syndrome 1. Alternatively spliced transcript variants of this gene have been observed.

Application Notes

Optimal dilution of the Leucyl tRNA synthetase antibody should be determined by the researcher.

Immunogen

Amino acids Q628-Q855 from the human protein were used as the immunogen for the Leucyl tRNA synthetase antibody.

Storage

After reconstitution, the Leucyl tRNA synthetase antibody can be stored for up to one month at 4oC. For long-term, aliquot and store at -20oC. Avoid repeated freezing and thawing.

Cross
Bulk Quote Request Form
Name*:
Organization*:
Email*:
Phone Number*:
Catalog No.*:
Comments and Specifics(amount, formulation, etc.)*:
Validation code: Captchapackage Image


Can't read the image? click here to refresh.
    *required field

Your bulk quote request has been submitted successfully!

Please contact us if you have any questions.