• Tel: 858.663.9055
  • SeparatorEmail: info@nsjbio.com
  • Tel: 858.663.9055
  • Email: info@nsjbio.com
Home >> Antibodies >> Leucine-rich alpha-2-glycoprotein Antibody / LRG1

Leucine-rich alpha-2-glycoprotein Antibody / LRG1 (F54875)

  Catalog No Formulation Size Price (USD)  
Image F54875-0.4ML In 1X PBS, pH 7.4, with 0.09% sodium azide 0.4 ml 439
Image
F54875-0.08ML In 1X PBS, pH 7.4, with 0.09% sodium azide 0.08 ml 205
Bulk quote request
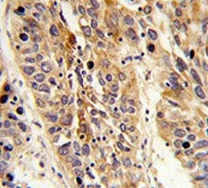
IHC testing of FFPE human lung carcinoma tissue with Leucine-rich alpha-2-glycoprotein antibody. HIER: steam section in pH6 citrate buffer for 20 min and allow to cool prior to staining.
Western blot testing of human HEK293 cell lysate with Leucine-rich alpha-2-glycoprotein antibody. Predicted molecular weight ~38 kDa.
Western blot testing of 1) non-transfected and 2) transfected 293 cell lysate with Leucine-rich alpha-2-glycoprotein antibody.
Flow cytometry testing of human HEK293 cells with Leucine-rich alpha-2-glycoprotein antibody; Blue=isotype control, Green= Leucine-rich alpha-2-glycoprotein antibody.
Availability 1-3 business days
Species Reactivity Human
Format Purified
Host Rabbit
Clonality Polyclonal (rabbit origin)
Isotype Rabbit Ig
Purity Purified
UniProt P02750
Applications Western Blot : 1:500-1:1000
Flow Cytometry : 1:10-1:50 (1x10e6 cells)
Immunohistochemistry (FFPE) : 1:50-1:100
Limitations This Leucine-rich alpha-2-glycoprotein antibody is available for research use only.
Review this product on BioCompare and get a $20 Amazon gift card

Related Products

Description

The leucine-rich repeat (LRR) family of proteins, including LRG1, have been shown to be involved in protein-protein interaction, signal transduction, and cell adhesion and development. LRG1 is expressed during granulocyte differentiation.

Application Notes

The stated application concentrations are suggested starting points. Titration of the Leucine-rich alpha-2-glycoprotein antibody may be required due to differences in protocols and secondary/substrate sensitivity.

Immunogen

A portion of amino acids 194-223 from the human protein was used as the immunogen for the Leucine-rich alpha-2-glycoprotein antibody.

Storage

Aliquot the Leucine-rich alpha-2-glycoprotein antibody and store frozen at -20oC or colder. Avoid repeated freeze-thaw cycles.

Cross
Bulk Quote Request Form
Name*:
Organization*:
Email*:
Phone Number*:
Catalog No.*:
Comments and Specifics(amount, formulation, etc.)*:
Validation code: Captchapackage Image


Can't read the image? click here to refresh.
    *required field

Your bulk quote request has been submitted successfully!

Please contact us if you have any questions.