• Tel: 858.663.9055
  • SeparatorEmail: info@nsjbio.com
  • Tel: 858.663.9055
  • Email: info@nsjbio.com
Home >> Antibodies >> Leptin Antibody

Leptin Antibody (RQ4442)

  Catalog No Formulation Size Price (USD)  
Image RQ4442 0.5mg/ml if reconstituted with 0.2ml sterile DI water 100 ug 449
Bulk quote request
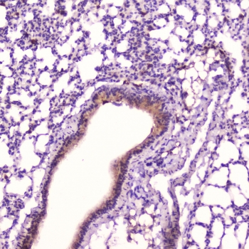
IHC testing of FFPE mouse lung tissue with Leptin antibody at 2ug/ml. HIER: boil tissue sections in pH6, 10mM citrate buffer, for 10-20 min followed by cooling at RT for 20 min.
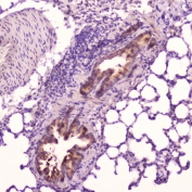
IHC testing of FFPE rat lung tissue with Leptin antibody at 2ug/ml. HIER: boil tissue sections in pH6, 10mM citrate buffer, for 10-20 min followed by cooling at RT for 20 min.
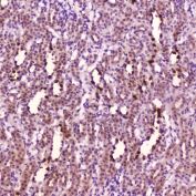
IHC testing of FFPE rat kidney tissue with Leptin antibody at 2ug/ml. HIER: boil tissue sections in pH6, 10mM citrate buffer, for 10-20 min followed by cooling at RT for 20 min.
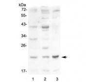
Western blot testing of 1) mouse small intestine, 2) mouse kidney and 3) mouse Neuro-2a lysate with Leptin antibody at 0.5ug/ml. Predicted molecular weight ~16 kDa.
Availability 1-3 business days
Species Reactivity Mouse, Rat
Format Antigen affinity purified
Host Rabbit
Clonality Polyclonal (rabbit origin)
Isotype Rabbit IgG
Purity Antigen affinity
Buffer Lyophilized from 1X PBS with 2% Trehalose and 0.025% sodium azide
UniProt P41160
Localization Secreted
Applications Western Blot : 0.5-1ug/ml
Immunohistochemistry (FFPE) : 1-2ug/ml
ELISA (Capture Of Mouse Recombinant Protein) : 1-5ug/ml
Limitations This Leptin antibody is available for research use only.
Review this product on BioCompare and get a $20 Amazon gift card

Related Products

Description

Leptin have been found to be obese and diabetic and to have reduced activity, metabolism and body temperature. cDNA clones encoding Leptin have been isolated from human, simian, mouse, and rat cells. The expression of Leptin mRNA has been shown to be restricted to adipose tissue. Although regulation of fat stores is deemed to be the primary function of leptin, it also plays a role in other physiological processes, as evidenced by its multiple sites of synthesis other than fat cells, and the multiple cell types beside hypothalamic cells that have leptin receptors. Many of these additional functions are yet to be defined.

Application Notes

Optimal dilution of the Leptin antibody should be determined by the researcher.

Immunogen

Mouse Leptin recombinant protein (amino acids V22-C167) was used as the immunogen for the Leptin antibody.

Storage

After reconstitution, the Leptin antibody can be stored for up to one month at 4oC. For long-term, aliquot and store at -20oC. Avoid repeated freezing and thawing.

Cross
Bulk Quote Request Form
Name*:
Organization*:
Email*:
Phone Number*:
Catalog No.*:
Comments and Specifics(amount, formulation, etc.)*:
Validation code: Captchapackage Image


Can't read the image? click here to refresh.
    *required field

Your bulk quote request has been submitted successfully!

Please contact us if you have any questions.