• Tel: 858.663.9055
  • SeparatorEmail: info@nsjbio.com
  • Tel: 858.663.9055
  • Email: info@nsjbio.com
Home >> Antibodies >> LEKR1 Antibody / Leucine-, glutamate- and lysine-rich protein 1

LEKR1 Antibody / Leucine-, glutamate- and lysine-rich protein 1 (RQ8462)

  Catalog No Formulation Size Price (USD)  
Image RQ8462 0.5mg/ml if reconstituted with 0.2ml sterile DI water 100 ug 449
Bulk quote request
Immunofluorescent staining of FFPE human U-2 OS cells with LEKR1 antibody (red) and DAPI nuclear stain (blue). HIER: steam section in pH6 citrate buffer for 20 min.
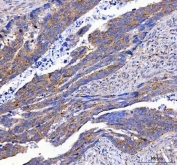
IHC staining of FFPE human colorectal adenocarcinoma tissue with LEKR1 antibody. HIER: boil tissue sections in pH8 EDTA for 20 min and allow to cool before testing.
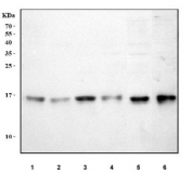
Western blot testing of 1) human A431, 2) human ThP-1, 3) human MCF7, 4) human SiHa, 5) rat C6 and 6) mouse RAW264.7 cell lysate with LEKR1 antibody. Predicted molecular weight ~81/30/14/13/12 kDa (multiple isoforms).
Availability 1-3 days
Species Reactivity Human, Mouse, Rat
Format Antigen affinity purified
Host Rabbit
Clonality Polyclonal (rabbit origin)
Isotype Rabbit IgG
Purity Antigen affinity purified
Buffer Lyophilized from 1X PBS with 2% Trehalose
UniProt J3KP02
Applications Western Blot : 0.5-1ug/ml
Immunohistochemistry (FFPE) : 2-5ug/ml
Immunofluorescence : 5ug/ml
ELISA : 0.1-0.5ug/ml
Limitations This LEKR1 antibody is available for research use only.
Review this product on BioCompare and get a $20 Amazon gift card

Description

LEKR1 (Leucine, Glutamate And Lysine Rich 1, also known as FLJ16641 or FLJ37161, LOC389170) is located on human chromosome 3q25.31. The LEKR1 protein is biasedly expressed in testis, thyroid and other tissues. Structurally, the encoded protein is reported to be 45158 Da in mass. LEKR1 protein is expected to localize in various compartments (mitochondrion, nucleus). LEKR1 is associated with Obsessive-Compulsive Personality Disorder.

Application Notes

Optimal dilution of the LEKR1 antibody should be determined by the researcher.

Immunogen

An E.coli-derived human recombinant protein (amino acids K590-R688) was used as the immunogen for the LEKR1 antibody.

Storage

After reconstitution, the LEKR1 antibody can be stored for up to one month at 4oC. For long-term, aliquot and store at -20oC. Avoid repeated freezing and thawing.

Cross
Bulk Quote Request Form
Name*:
Organization*:
Email*:
Phone Number*:
Catalog No.*:
Comments and Specifics(amount, formulation, etc.)*:
Validation code: Captchapackage Image


Can't read the image? click here to refresh.
    *required field

Your bulk quote request has been submitted successfully!

Please contact us if you have any questions.