• Tel: 858.663.9055
  • SeparatorEmail: info@nsjbio.com
  • Tel: 858.663.9055
  • Email: info@nsjbio.com
Home >> Antibodies >> LEF1 Antibody / Lymphoid enhancer-binding factor 1 / TCF1 alpha

LEF1 Antibody / Lymphoid enhancer-binding factor 1 / TCF1 alpha [clone LEF1/341R] (V9278)

  Catalog No Formulation Size Price (USD)  
Image V9278-100UG 0.2 mg/ml in 1X PBS with 0.1 mg/ml BSA (US sourced), 0.05% sodium azide 100 ug 559
Image
V9278-20UG 0.2 mg/ml in 1X PBS with 0.1 mg/ml BSA (US sourced), 0.05% sodium azide 20 ug 259
Image
V9278SAF-100UG 1 mg/ml in 1X PBS; BSA free, sodium azide free 100 ug 559
Microvalidated Recrabbitmono
Bulk quote request
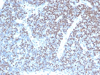
IHC staining of FFPE human lymph node with LEF1 antibody (clone LEF1/341R) at 2ug/ml in PBS for 30min RT. Strong nuclear staining of non-germinal center observed. HIER: boil tissue sections in pH 9 10mM Tris with 1mM EDTA for 20 min and allow to cool before testing.
IHC staining of FFPE human tonsil tissue with LEF1 antibody (clone LEF1/341R) at 2ug/ml in PBS for 30min RT. Strong nuclear staining of non-germinal center cells is observed. HIER: boil tissue sections in pH 9 10mM Tris with 1mM EDTA for 20 min and allow to cool before testing.Inset: PBS instead of primary. Secondary antibody negative control.
SDS-PAGE analysis of purified, BSA-free LEF1 antibody (clone LEF1/341R) as confirmation of integrity and purity.
Availability 1-3 business days
Species Reactivity Human
Format Purified
Host Rabbit
Clonality Recombinant Rabbit Monoclonal
Isotype Rabbit IgG
Clone Name LEF1/341R
Purity Protein A/G affinity
UniProt Q9UJU2
Localization Nucleus
Applications Immunohistochemistry (FFPE) : 2-4ug/ml
Limitations This LEF1 antibody is available for research use only.
Review this product on BioCompare and get a $20 Amazon gift card

Related Products

Description

Lymphoid Enhancing Factor 1 (LEF1), also called T cell-specific transcription factor 1-alpha (TCF1 alpha) is a transcription factor that belongs to the TCF/LEF family. LEF1 participates as a regulator in Wnt signaling pathways. LEF1 is an important factor in lymphopoiesis and is expressed normally in T and pro-B cells but not expressed in mature B cells.

Application Notes

Optimal dilution of the LEF1 antibody should be determined by the researcher.

Immunogen

A portion of amino acids 100-200 was used as the immunogen for the LEF1 antibody.

Storage

Aliquot the LEF1 antibody and store frozen at -20oC or colder. Avoid repeated freeze-thaw cycles.

Cross
Bulk Quote Request Form
Name*:
Organization*:
Email*:
Phone Number*:
Catalog No.*:
Comments and Specifics(amount, formulation, etc.)*:
Validation code: Captchapackage Image


Can't read the image? click here to refresh.
    *required field

Your bulk quote request has been submitted successfully!

Please contact us if you have any questions.