• Tel: 858.663.9055
  • SeparatorEmail: info@nsjbio.com
  • Tel: 858.663.9055
  • Email: info@nsjbio.com
Home >> Antibodies >> LDAH Antibody / Lipid droplet-associated serine hydrolase

LDAH Antibody / Lipid droplet-associated serine hydrolase (RQ8615)

  Catalog No Formulation Size Price (USD)  
Image RQ8615 0.5mg/ml if reconstituted with 0.2ml sterile DI water 100 ug 449
Bulk quote request
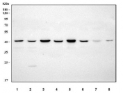
Western blot testing of 1) rat brain, 2) rat liver, 3) rat kidney, 4) rat RH35, 5) mouse brain, 6) mouse liver, 7) mouse kidney, 8) mouse NIH 3T3 cell lysate with LDAH antibody. Predicted molecular weight ~37 kDa.
Western blot testing of 1) human HeLa, 2) human Jurkat, 3) human A431, 4) human MCF7, 5) monkey COS7, 6) human SK-N-SH, 7) human SH-SY5Y and 8) human K562 cell lysate with LDAH antibody. Predicted molecular weight ~37 kDa.
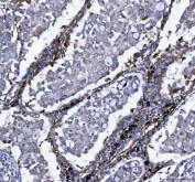
IHC staining of FFPE human liver cancer tissue with LDAH antibody. HIER: boil tissue sections in pH8 EDTA for 20 min and allow to cool before testing.
IHC staining of FFPE human lung cancer tissue with LDAH antibody. HIER: boil tissue sections in pH8 EDTA for 20 min and allow to cool before testing.
IHC staining of FFPE human glioma tissue with LDAH antibody. HIER: boil tissue sections in pH8 EDTA for 20 min and allow to cool before testing.
IHC staining of FFPE rat alcoholic liver tissue with LDAH antibody. HIER: boil tissue sections in pH8 EDTA for 20 min and allow to cool before testing.
Flow cytometry testing of fixed and permeabilized human JK cells with LDAH antibody at 1ug/million cells (blocked with goat sera); Red=cells alone, Green=isotype control, Blue= LDAH antibody.
Availability 1-3 days
Species Reactivity Human, Mouse, Rat, Monkey
Format Antigen affinity purified
Host Rabbit
Clonality Polyclonal (rabbit origin)
Isotype Rabbit IgG
Purity Antigen affinity purified
Buffer Lyophilized from 1X PBS with 2% Trehalose
UniProt Q9H6V9
Localization Cytoplasm
Applications Western Blot : 0.5-1ug/ml
Immunohistochemistry (FFPE) : 2-5ug/ml
Flow Cytometry : 1-3ug/million cells
ELISA : 0.1-0.5ug/ml
Limitations This LDAH antibody is available for research use only.
Review this product on BioCompare and get a $20 Amazon gift card

Description

LDAH antibody targets Lipid droplet-associated serine hydrolase, a cytoplasmic protein that localizes to intracellular lipid droplets and participates in lipid metabolism and neutral lipid homeostasis. LDAH is also referred to in the literature as esterase D-like protein or neutral cholesterol ester hydrolase-like protein, reflecting its predicted enzymatic activity within lipid-rich cellular compartments. The protein is enriched at the surface of lipid droplets, where it is positioned to regulate lipid storage and mobilization in metabolically active cells.

Lipid droplets are dynamic organelles involved in energy storage, membrane lipid supply, and signaling lipid regulation. Proteins such as Lipid droplet-associated serine hydrolase contribute to the controlled turnover of lipid droplet contents, balancing lipid accumulation with utilization. LDAH contains a conserved serine hydrolase motif, supporting its proposed role in hydrolyzing neutral lipid substrates, including cholesterol esters and related lipid species. Through this activity, LDAH influences intracellular lipid composition and cellular metabolic state.

LDAH expression has been reported in multiple tissues with active lipid metabolism, including liver, adipose tissue, and steroidogenic organs. At the cellular level, LDAH antibody staining is typically observed in a cytoplasmic pattern associated with lipid droplet-rich regions rather than uniform diffuse cytosol. This distribution aligns with its functional association with lipid droplets and distinguishes LDAH from soluble cytosolic esterases. Altered lipid droplet regulation involving LDAH has been investigated in the context of metabolic disorders, inflammation, and cancer-associated lipid reprogramming.

In cancer biology, lipid droplet-associated enzymes such as LDAH have gained interest due to their roles in supporting rapid cell growth, membrane biosynthesis, and stress adaptation. Dysregulated lipid storage and mobilization are hallmarks of many tumor types, and LDAH expression has been linked to changes in lipid droplet abundance and composition in transformed cells. Detection of LDAH expression provides insight into lipid metabolic states and organelle-associated enzymatic activity within tumor and non-tumor tissues.

This LDAH antibody is suitable for research applications aimed at detecting Lipid droplet-associated serine hydrolase expression and localization in cells and tissue sections. The antibody supports investigation of lipid droplet biology, intracellular lipid metabolism, and the role of serine hydrolases in metabolic regulation. Use of an LDAH antibody enables researchers to study lipid-associated pathways in physiological and disease-relevant experimental systems.

Application Notes

Optimal dilution of the LDAH antibody should be determined by the researcher.

Immunogen

An E.coli-derived human recombinant protein (amino acids E7-D281) was used as the immunogen for the LDAH antibody.

Storage

After reconstitution, the LDAH antibody can be stored for up to one month at 4oC. For long-term, aliquot and store at -20oC. Avoid repeated freezing and thawing.

Cross
Bulk Quote Request Form
Name*:
Organization*:
Email*:
Phone Number*:
Catalog No.*:
Comments and Specifics(amount, formulation, etc.)*:
Validation code: Captchapackage Image


Can't read the image? click here to refresh.
    *required field

Your bulk quote request has been submitted successfully!

Please contact us if you have any questions.