• Tel: 858.663.9055
  • SeparatorEmail: info@nsjbio.com
  • Tel: 858.663.9055
  • Email: info@nsjbio.com
Home >> Antibodies >> LCN2 Antibody / Lipocalin 2 / NGAL

LCN2 Antibody / Lipocalin 2 / NGAL (R32053)

  Catalog No Formulation Size Price (USD)  
Image R32053 0.5mg/ml if reconstituted with 0.2ml sterile DI water 100 ug 449
Bulk quote request
Western blot testing of 1) mouse lung and 2) mouse intestine lysate with LCN2 antibody. Predicted/observed molecular weight: 22-25 kDa.
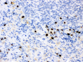
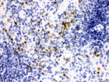
IHC testing of FFPE mouse spleen with LCN2 antibody. HIER: Boil the paraffin sections in pH 6, 10mM citrate buffer for 20 minutes and allow to cool prior to staining.
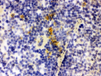
IHC testing of FFPE rat spleen with LCN2 antibody. HIER: Boil the paraffin sections in pH 6, 10mM citrate buffer for 20 minutes and allow to cool prior to staining.
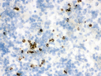
IHC testing of frozen mouse spleen tissue with LCN2 antibody.
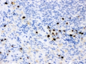
IHC testing of frozen mouse lung tissue with LCN2 antibody.
IHC testing of frozen rat spleen tissue with LCN2 antibody.
IHC testing of frozen rat lung tissue with LCN2 antibody.
Availability 1-3 business days
Species Reactivity Mouse, Rat, Human
Format Antigen affinity purified
Host Rabbit
Clonality Polyclonal (rabbit origin)
Isotype Rabbit IgG
Purity Antigen affinity
Buffer Lyophilized from 1X PBS with 2.5% BSA, 0.025% sodium azide
UniProt P30152
Localization Cytoplasmic
Applications Western Blot : 0.1-0.5ug/ml
IHC (FFPE) : 0.5-1ug/ml
IHC (Frozen) : 0.5-1ug/ml
ELISA : 0.1-0.5ug/ml (rat protein tested); request BSA-free format for coating
Limitations This LCN2 antibody is available for research use only.
Review this product on BioCompare and get a $20 Amazon gift card

Related Products

Description

Europhile gelatinase-associated lipocalin (NGAL) is a protein that in humans is encoded by the LCN2 gene. The binding of lipocalin-2 to bacterial siderophores is important in the innate immune response to bacterial infection. Upon encountering invading bacteria the toll-like receptors on immune cells stimulate the synthesis and secretion of lipocalin-2. Secreted lipocalin-2 then limits bacterial growth by sequestering iron-containing siderophores. Lipocalin-2 also functions as a growth factor.

Application Notes

Optimal dilution of the LCN2 antibody should be determined by the researcher.

Immunogen

Amino acids 21-198 of rat Lipocalin 2 were used as the immunogen for the LCN2 antibody.

Storage

After reconstitution, the LCN2 antibody can be stored for up to one month at 4oC. For long-term, aliquot and store at -20oC. Avoid repeated freezing and thawing.

Cross
Bulk Quote Request Form
Name*:
Organization*:
Email*:
Phone Number*:
Catalog No.*:
Comments and Specifics(amount, formulation, etc.)*:
Validation code: Captchapackage Image


Can't read the image? click here to refresh.
    *required field

Your bulk quote request has been submitted successfully!

Please contact us if you have any questions.