• Tel: 858.663.9055
  • SeparatorEmail: info@nsjbio.com
  • Tel: 858.663.9055
  • Email: info@nsjbio.com
Home >> Antibodies >> LCMT2 Antibody / Leucine carboxyl methyltransferase 2

LCMT2 Antibody / Leucine carboxyl methyltransferase 2 (RQ8472)

  Catalog No Formulation Size Price (USD)  
Image RQ8472 0.5mg/ml if reconstituted with 0.2ml sterile DI water 100 ug 449
Bulk quote request
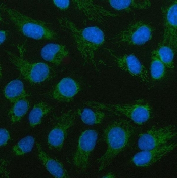
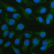
Immunofluorescent staining of FFPE human U-2 OS cells with LCMT2 antibody (green) and DAPI nuclear stain (blue). HIER: steam section in pH6 citrate buffer for 20 min.
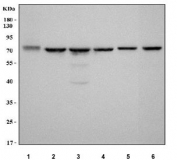
Western blot testing of 1) human HaCaT, 2) human HeLa, 3) human ThP-1, 4) human SH-SY5Y, 5) rat brain and 6) mouse brain tissue lysate with LCMT2 antibody. Predicted molecular weight ~76 kDa.
Availability 1-3 days
Species Reactivity Human, Mouse, Rat
Format Antigen affinity purified
Host Rabbit
Clonality Polyclonal (rabbit origin)
Isotype Rabbit IgG
Purity Antigen affinity purified
Buffer Lyophilized from 1X PBS with 2% Trehalose
UniProt O60294
Localization Cytoplasm
Applications Western Blot : 0.5-1ug/ml
Immunofluorescence : 5ug/ml
ELISA : 0.1-0.5ug/ml
Limitations This LCMT2 antibody is available for research use only.
Review this product on BioCompare and get a $20 Amazon gift card

Description

Leucine carboxyl methyltransferase 2 is an enzyme that in humans is encoded by the LCMT2 gene. The protein encoded by this intronless gene belongs to the highly variable methyltransferase superfamily. This gene is the inferred homolog of the Saccharomyces cerevisiae carboxymethyltransferase gene PPM2 that is essential for the synthesis of the hypermodified guanosine Wybutosine (yW).

Application Notes

Optimal dilution of the LCMT2 antibody should be determined by the researcher.

Immunogen

An E.coli-derived human recombinant protein (amino acids A29-N595) was used as the immunogen for the LCMT2 antibody.

Storage

After reconstitution, the LCMT2 antibody can be stored for up to one month at 4oC. For long-term, aliquot and store at -20oC. Avoid repeated freezing and thawing.

Cross
Bulk Quote Request Form
Name*:
Organization*:
Email*:
Phone Number*:
Catalog No.*:
Comments and Specifics(amount, formulation, etc.)*:
Validation code: Captchapackage Image


Can't read the image? click here to refresh.
    *required field

Your bulk quote request has been submitted successfully!

Please contact us if you have any questions.