• Tel: 858.663.9055
  • SeparatorEmail: info@nsjbio.com
  • Tel: 858.663.9055
  • Email: info@nsjbio.com
Home >> Antibodies >> LCK Antibody

LCK Antibody (F50711)

  Catalog No Formulation Size Price (USD)  
Image F50711-0.4ML In 1X PBS, pH 7.4, with 0.09% sodium azide 0.4 ml 439
Image
F50711-0.08ML In 1X PBS, pH 7.4, with 0.09% sodium azide 0.08 ml 205
Bulk quote request
Confocal immunofluorescent analysis of LCK antibody with A2058 cells followed by Alexa Fluor 488-conjugated goat anti-rabbit lgG (green). Actin filaments have been labeled with Alexa Fluor 555 Phalloidin (red). DAPI was used as a nuclear counterstain (blue).
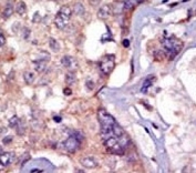
IHC analysis of FFPE human breast carcinoma tissue stained with the LCK antibody
Western blot analysis of lysate from 1) mouse thymus and 2) rat thymus tissue lysate using LCK antibody at 1:1000. Predicted molecular weight ~58 kDa.
LCK antibody flow cytometric analysis of A2058 cells (green) compared to a negative control (blue). FITC-conjugated goat-anti-rabbit secondary Ab was used for the analysis.
Availability 1-3 business days
Species Reactivity Human, Mouse, Rat
Format Antigen affinity purified
Host Rabbit
Clonality Polyclonal (rabbit origin)
Isotype Rabbit Ig
Purity Antigen affinity
UniProt P06239
Applications Western Blot : 1:1000
IHC (Paraffin) : 1:50-1:100
Immunofluorescence : 1:10-1:50
Flow Cytometry : 1:10-1:50
Limitations This LCK antibody is available for research use only.
Review this product on BioCompare and get a $20 Amazon gift card

Related Products

  • Applications : WB, ELISA
    Reactivity : Human
  • Applications : WB
    Reactivity : Human
    Rab Mono Image
  • Applications : WB, IHC-P, FACS, IF
    Reactivity : Human
  • Applications : WB, ELISA
    Reactivity : Mouse
  • Applications : IHC, FACS, WB, ELISA
    Reactivity : Human
  • Applications : WB, ELISA (peptide)
    Reactivity : Human, Rat, Pig
    Pred. Reactivity : Cow, Dog, Mouse
  • Applications : WB, IHC-P, FACS, ICC
    Reactivity : Human, Mouse, Rat

Description

LCK, which belongs to the SRC subfamily of Tyr protein kinases, may participate in antigen-induced T-cell activation. It binds to phosphatidylinositol 3'-kinase (PI3K) from T lymphocytes through its SH3 domain and to the tyrosine phosphorylated form of KHDRBS1/p70 through its SH2 domain. LCK is bound to the cytoplasmic domain of either CD4 or CD8. This protein is involved in leukemias by a chromosomal translocation t(1;7)(p34;q34) which involves LCK and T-cell receptor beta chain (TCRB) genes.

Application Notes

Titration of the LCK antibody may be required due to differences in protocols and secondary/substrate sensitivity.

Immunogen

A portion of amino acids 23-52 from the human protein was used as the immunogen for this LCK antibody.

Storage

Aliquot the LCK antibody and store frozen at -20oC or colder. Avoid repeated freeze-thaw cycles.

Cross
Bulk Quote Request Form
Name*:
Organization*:
Email*:
Phone Number*:
Catalog No.*:
Comments and Specifics(amount, formulation, etc.)*:
Validation code: Captchapackage Image


Can't read the image? click here to refresh.
    *required field

Your bulk quote request has been submitted successfully!

Please contact us if you have any questions.