• Tel: 858.663.9055
  • SeparatorEmail: info@nsjbio.com
  • Tel: 858.663.9055
  • Email: info@nsjbio.com
Home >> Antibodies >> LBR Antibody / Lamin B Receptor

LBR Antibody / Lamin B Receptor (RQ5307)

  Catalog No Formulation Size Price (USD)  
Image RQ5307 0.5mg/ml if reconstituted with 0.2ml sterile DI water 100 ug 449
Bulk quote request
Immunofluorescent staining of human U-2 OS cells with LBR antibody (red) and DAPI nuclear stain (blue). HIER: steam section in pH6 citrate buffer for 20 min.
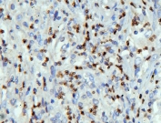
IHC staining of FFPE human lung cancer with LBR antibody. HIER: boil tissue sections in pH6, 10mM citrate buffer, for 20 min and allow to cool before testing.
Western blot testing of human 1) placenta, 2) HL-60, 3) K562, 4) ThP-1, 5) HEK293, 6) U-2 OS, 7) U937 and 8) Caco-2 lysate with LBR antibody. Predicted molecular weight ~71 kDa.
Western blot testing of rat 1) thymus, 2) spleen, 3) testis and mouse 4) thymus, 5) stomach, 6) testis and 7) SP2/0 lysate with LBR antibody. Predicted molecular weight ~71 kDa.
Flow cytometry testing of human U937 cells with LBR antibody at 1ug/million cells (blocked with goat sera); Red=cells alone, Green=isotype control, Blue= LBR antibody.
Availability 1-3 business days
Species Reactivity Human, Mouse, Rat
Format Antigen affinity purified
Host Rabbit
Clonality Polyclonal (rabbit origin)
Isotype Rabbit IgG
Purity Affinity purified
Buffer Lyophilized from 1X PBS with 2% Trehalose and 0.025% sodium azide
UniProt Q14739
Localization Nuclear, cytoplasmic
Applications Western Blot : 0.1-0.5ug/ml
Immunohistochemistry (FFPE) : 1-2ug/ml
Immunofluorescence : 2-4ug/ml
Flow Cytometry : 1-3ug/million cells
Direct ELISA : 0.1-0.5ug/ml
Limitations This LBR antibody is available for research use only.
Review this product on BioCompare and get a $20 Amazon gift card

Description

Lamin-B receptor is a protein, and in humans, it is encoded by the LBR gene. It is mapped to 1q42.12. The protein encoded by this gene belongs to the ERG4/ERG24 family. It localized in the nuclear envelope inner membrane and anchors the lamina and the heterochromatin to the membrane. It may mediate interaction between chromatin and lamin B. Mutations of this gene has been associated with autosomal recessive HEM/Greenberg skeletal dysplasia. Alternative splicing occurs at this locus and two transcript variants encoding the same protein have been identified.

Application Notes

Optimal dilution of the LBR antibody should be determined by the researcher.

Immunogen

Amino acids H102-F209 from the human protein were used as the immunogen for the LBR antibody.

Storage

Store the LBR antibody at -20oC.

Cross
Bulk Quote Request Form
Name*:
Organization*:
Email*:
Phone Number*:
Catalog No.*:
Comments and Specifics(amount, formulation, etc.)*:
Validation code: Captchapackage Image


Can't read the image? click here to refresh.
    *required field

Your bulk quote request has been submitted successfully!

Please contact us if you have any questions.