• Tel: 858.663.9055
  • SeparatorEmail: info@nsjbio.com
  • Tel: 858.663.9055
  • Email: info@nsjbio.com
Home >> Antibodies >> Latexin Antibody / LXN

Latexin Antibody / LXN (F54696)

  Catalog No Formulation Size Price (USD)  
Image F54696-0.4ML In 1X PBS, pH 7.4, with 0.09% sodium azide 0.4 ml 439
Image
F54696-0.08ML In 1X PBS, pH 7.4, with 0.09% sodium azide 0.08 ml 205
Bulk quote request
Western blot testing of human MCF7 cell lysate with Latexin antibody. Predicted molecular weight ~26 kDa.
Western blot testing of human HL60 cell lysate with Latexin antibody. Predicted molecular weight ~26 kDa.
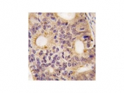
IHC testing of FFPE human spleen tissue with Latexin antibody. HIER: steam section in pH6 citrate buffer for 20 min and allow to cool prior to staining.
IHC testing of FFPE human prostate carcinoma tissue with Latexin antibody. HIER: steam section in pH6 citrate buffer for 20 min and allow to cool prior to staining.
Availability 1-3 business days
Species Reactivity Human
Format Purified
Host Rabbit
Clonality Polyclonal (rabbit origin)
Isotype Rabbit Ig
Purity Antigen affinity purified
UniProt Q9BS40
Localization Cytoplasmic
Applications Immunohistochemistry (FFPE) : 1:25
Western Blot : 1:500-1:2000
Limitations This Latexin antibody is available for research use only.
Review this product on BioCompare and get a $20 Amazon gift card

Related Products

  • Applications : WB, ELISA
    Reactivity : Mouse
  • Applications : WB, IHC, IF, ELISA (peptide)
    Reactivity : Human, Mouse, Rat
    Pred. Reactivity : Dog
  • Applications : WB, ELISA (peptide)
    Reactivity : Human, Mouse, Rat
    Pred. Reactivity : Dog
  • Applications : IHC-P, FACS, WB
    Reactivity : Human

Description

Latexin possesses nearly irreversible, non-competitive and potent inhibition of zinc-dependent metallocarboxypeptidases CPA1, CPA2, and CPA4. It is expressed in a neuronal subset in the cerebral cortex and cells in other neural and non-neural tissues of rat. Latexin plays a role in regional specification and/or morphogenesis of the forebrain.

Application Notes

The stated application concentrations are suggested starting points. Titration of the Latexin antibody may be required due to differences in protocols and secondary/substrate sensitivity.

Immunogen

A portion of amino acids 23-53 from the human protein was used as the immunogen for the Latexin antibody.

Storage

Aliquot the Latexin antibody and store frozen at -20oC or colder. Avoid repeated freeze-thaw cycles.

Cross
Bulk Quote Request Form
Name*:
Organization*:
Email*:
Phone Number*:
Catalog No.*:
Comments and Specifics(amount, formulation, etc.)*:
Validation code: Captchapackage Image


Can't read the image? click here to refresh.
    *required field

Your bulk quote request has been submitted successfully!

Please contact us if you have any questions.