• Tel: 858.663.9055
  • SeparatorEmail: info@nsjbio.com
  • Tel: 858.663.9055
  • Email: info@nsjbio.com
Home >> Antibodies >> Lat Antibody / Linker for activation of T cells

Lat Antibody / Linker for activation of T cells (FY12992)

  Catalog No Formulation Size Price (USD)  
Image FY12992 Adding 0.2 ml of distilled water will yield a concentration of 500 ug/ml 100 ug 449
Bulk quote request
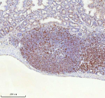
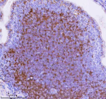
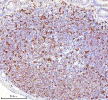
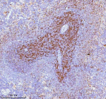
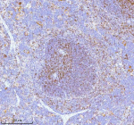
Immunohistochemical staining of Lat using anti-Lat antibody. Lat was detected in a paraffin-embedded section of rat lymph node tissue. Heat mediated antigen retrieval was performed in EDTA buffer (pH 8.0, epitope retrieval solution). The tissue section was blocked with 10% goat serum. The tissue section was then incubated with 2 ug/ml rabbit anti-Lat antibody overnight at 4oC. Peroxidase Conjugated Goat Anti-rabbit IgG was used as secondary antibody and incubated for 30 minutes at 37oC. The tissue section was developed using an HRP secondary and DAB substrate.
Western blot analysis of Lat using anti-Lat antibody. Lane 1: mouse thymus tissue lysates. After electrophoresis, proteins were transferred to a nitrocellulose membrane at 150 mA for 50-90 minutes. Blocked the membrane with 5% non-fat milk/TBS for 1.5 hour at RT. The membrane was incubated with rabbit anti-Lat antibody at 0.25 ug/ml overnight at 4oC, then washed with TBS-0.1%Tween 3 times with 5 minutes each and probed with a goat anti-rabbit IgG-HRP secondary antibody at a dilution of 1:5000 for 1.5 hour at RT. The signal was developed using enhanced chemiluminescent. Although the theoretical molecular weight of Lat is ~26 kDa, it migrates at ~38 kDa due to palmitoylation and multiple tyrosine phosphorylation sites that retard electrophoretic mobility.
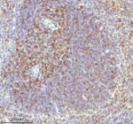
Immunohistochemical staining of Lat using anti-Lat antibody. Lat was detected in a paraffin-embedded section of mouse spleen tissue. Heat mediated antigen retrieval was performed in EDTA buffer (pH 8.0, epitope retrieval solution). The tissue section was blocked with 10% goat serum. The tissue section was then incubated with 2 ug/ml rabbit anti-Lat antibody overnight at 4oC. Peroxidase Conjugated Goat Anti-rabbit IgG was used as secondary antibody and incubated for 30 minutes at 37oC. The tissue section was developed using an HRP secondary and DAB substrate.
Immunohistochemical staining of Lat using anti-Lat antibody. Lat was detected in a paraffin-embedded section of mouse spleen tissue. Heat mediated antigen retrieval was performed in EDTA buffer (pH 8.0, epitope retrieval solution). The tissue section was blocked with 10% goat serum. The tissue section was then incubated with 2 ug/ml rabbit anti-Lat antibody overnight at 4oC. Peroxidase Conjugated Goat Anti-rabbit IgG was used as secondary antibody and incubated for 30 minutes at 37oC. The tissue section was developed using an HRP secondary and DAB substrate.
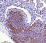
Immunohistochemical staining of Lat using anti-Lat antibody. Lat was detected in a paraffin-embedded section of mouse intestinal lymph nodes tissue. Heat mediated antigen retrieval was performed in EDTA buffer (pH 8.0, epitope retrieval solution). The tissue section was blocked with 10% goat serum. The tissue section was then incubated with 2 ug/ml rabbit anti-Lat antibody overnight at 4oC. Peroxidase Conjugated Goat Anti-rabbit IgG was used as secondary antibody and incubated for 30 minutes at 37oC. The tissue section was developed using an HRP secondary and DAB substrate.
Immunohistochemical staining of Lat using anti-Lat antibody. Lat was detected in a paraffin-embedded section of rat intestinal lymph nodes tissue. Heat mediated antigen retrieval was performed in EDTA buffer (pH 8.0, epitope retrieval solution). The tissue section was blocked with 10% goat serum. The tissue section was then incubated with 2 ug/ml rabbit anti-Lat antibody overnight at 4oC. Peroxidase Conjugated Goat Anti-rabbit IgG was used as secondary antibody and incubated for 30 minutes at 37oC. The tissue section was developed using an HRP secondary and DAB substrate.
Immunohistochemical staining of Lat using anti-Lat antibody. Lat was detected in a paraffin-embedded section of mouse intestinal lymph nodes tissue. Heat mediated antigen retrieval was performed in EDTA buffer (pH 8.0, epitope retrieval solution). The tissue section was blocked with 10% goat serum. The tissue section was then incubated with 2 ug/ml rabbit anti-Lat antibody overnight at 4oC. Peroxidase Conjugated Goat Anti-rabbit IgG was used as secondary antibody and incubated for 30 minutes at 37oC. The tissue section was developed using an HRP secondary and DAB substrate.
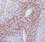
Immunohistochemical staining of Lat using anti-Lat antibody. Lat was detected in a paraffin-embedded section of rat spleen tissue. Heat mediated antigen retrieval was performed in EDTA buffer (pH 8.0, epitope retrieval solution). The tissue section was blocked with 10% goat serum. The tissue section was then incubated with 2 ug/ml rabbit anti-Lat antibody overnight at 4oC. Peroxidase Conjugated Goat Anti-rabbit IgG was used as secondary antibody and incubated for 30 minutes at 37oC. The tissue section was developed using an HRP secondary and DAB substrate.
Immunohistochemical staining of Lat using anti-Lat antibody. Lat was detected in a paraffin-embedded section of rat spleen tissue. Heat mediated antigen retrieval was performed in EDTA buffer (pH 8.0, epitope retrieval solution). The tissue section was blocked with 10% goat serum. The tissue section was then incubated with 2 ug/ml rabbit anti-Lat antibody overnight at 4oC. Peroxidase Conjugated Goat Anti-rabbit IgG was used as secondary antibody and incubated for 30 minutes at 37oC. The tissue section was developed using an HRP secondary and DAB substrate.
Flow Cytometry analysis of Raw264.7 cells using anti-Lat antibody. Overlay histogram showing Raw264.7 cells stained with (Blue line). The cells were fixed with 4% paraformaldehyde and blocked with 10% normal goat serum. And then incubated with rabbit anti-Lat antibody (1 ug/million cells) for 30 min at 20oC. DyLight 488 conjugated goat anti-rabbit IgG (5-10 ug/million cells) was used as secondary antibody for 30 minutes at 20oC. Isotype control antibody (Green line) was rabbit IgG (1 ug/million cells) used under the same conditions. Unlabelled sample (Red line) was also used as a control.
Availability 1-2 days
Species Reactivity Mouse, Rat
Format Lyophilized
Host Rabbit
Clonality Polyclonal (rabbit origin)
Isotype Rabbit IgG
Purity Immunogen affinity purified
Buffer Each vial contains 4 mg Trehalose, 0.9 mg NaCl, 0.2 mg Na2HPO4.
UniProt O54957
Localization Plasma membrane, Golgi
Applications Western Blot : 0.25-0.5ug/ml
Immunohistochemistry : 2-5ug/ml
Flow Cytometry : 1-3ug/million cells
ELISA : 0.1-0.5ug/ml
Limitations This Lat antibody is available for research use only.
Review this product on BioCompare and get a $20 Amazon gift card

Related Products

Description

LAT antibody detects Linker for activation of T cells, a critical transmembrane adaptor protein that functions as a central scaffold in T-cell receptor (TCR) signaling. The UniProt recommended name is Linker for activation of T cells (LAT). This protein coordinates the assembly of multiprotein complexes that mediate T-cell activation, proliferation, and immune response regulation. LAT is indispensable for coupling TCR engagement to downstream signaling cascades that drive cytokine production and effector cell differentiation.

Functionally, LAT antibody identifies a 233-amino-acid membrane protein that localizes to lipid rafts of the plasma membrane. Upon TCR stimulation, the Src-family kinase Lck and the ZAP-70 tyrosine kinase phosphorylate multiple tyrosine residues on LAT, creating docking sites for SH2-domain-containing proteins such as Grb2, PLC-gamma1, and Gads. These interactions recruit downstream effectors that activate calcium flux, MAPK signaling, and transcriptional pathways including NFAT, NF-kappaB, and AP-1. Through these mechanisms, LAT orchestrates the signal amplification necessary for full T-cell activation.

The LAT gene is located on chromosome 16p11.2 and encodes a single-pass type III transmembrane protein with a short extracellular domain and a cytoplasmic tail rich in tyrosine residues. The LAT scaffold acts as an organizational hub, integrating signals from the TCR, co-stimulatory receptors, and cytokine receptors. LAT phosphorylation dynamics are tightly regulated to prevent aberrant T-cell activation and autoimmunity. In developing thymocytes, LAT signaling contributes to both positive and negative selection, shaping the mature T-cell repertoire.

Defects in LAT expression or phosphorylation impair T-cell development and lead to severe combined immunodeficiency-like phenotypes. Conversely, gain-of-function mutations or dysregulated LAT signaling can cause hyperactivation syndromes, lymphoproliferative disorders, or autoimmunity. LAT also functions in mast cells, natural killer cells, and platelets, where it mediates Fc receptor-dependent signaling and degranulation responses.

LAT antibody is widely used in immunology, signal transduction, and cell biology research. It is suitable for western blotting, flow cytometry, and immunofluorescence to examine TCR-induced phosphorylation and signal complex formation. Researchers employ this antibody to dissect T-cell activation pathways and study immune regulation at the molecular level. LAT serves as a key marker of functional TCR signaling in both primary immune cells and model systems.

Structurally, LAT contains a cytoplasmic region with multiple phosphorylation sites that function as SH2-binding motifs for signaling partners. It forms large signalosomes through multivalent interactions that promote phase-separated clusters at the membrane. NSJ Bioreagents provides LAT antibody reagents validated for use in T-cell activation, immune signaling, and phosphorylation research.

Application Notes

Optimal dilution of the Lat antibody should be determined by the researcher.

Immunogen

E.coli-derived mouse Lat recombinant protein (Position: R29-E217) was used as the immunogen for the Lat antibody.

Storage

After reconstitution, the Lat antibody can be stored for up to one month at 4oC. For long-term, aliquot and store at -20oC. Avoid repeated freezing and thawing.

Cross
Bulk Quote Request Form
Name*:
Organization*:
Email*:
Phone Number*:
Catalog No.*:
Comments and Specifics(amount, formulation, etc.)*:
Validation code: Captchapackage Image


Can't read the image? click here to refresh.
    *required field

Your bulk quote request has been submitted successfully!

Please contact us if you have any questions.