• Tel: 858.663.9055
  • SeparatorEmail: info@nsjbio.com
  • Tel: 858.663.9055
  • Email: info@nsjbio.com
Home >> Antibodies >> LASP1 Antibody

LASP1 Antibody (R34873)

  Catalog No Formulation Size Price (USD)  
Image R34873-100UG 0.5 mg/ml in 1X TBS, pH7.3, with 0.5% BSA (US sourced) and 0.02% sodium azide 100 ug 475
Bulk quote request
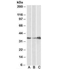
Western blot testing of human cerebellum [A], colon [B] and duodenum [C] lysate with LASP1 antibody at 1ug/ml. Predicted molecular weight: ~30/36kDa (isoforms 1/2).
Availability 1-3 business days
Species Reactivity Human
Predicted Reactivity Dog, Mouse, Pig, Rat
Format Antigen affinity purified
Host Goat
Clonality Polyclonal (goat origin)
Isotype Goat Ig
Purity Antigen affinity
UniProt Q14847
Gene ID 3927
Applications Western Blot : 0.1-0.3ug/ml
ELISA (peptide) LOD : 1:128000
Limitations This LASP1 antibody is available for research use only.
Review this product on BioCompare and get a $20 Amazon gift card

Related Products

  • Applications : WB, IHC-P, ICC
    Reactivity : Human, Mouse, Rat
  • Applications : WB, IHC-P
    Reactivity : Human
  • Applications : WB, IHC-P, ELISA (peptide)
    Reactivity : Human
    Pred. Reactivity : Dog

Description

Additional name(s) for this target protein: LIM and SH3 protein 1, LASP-1

Application Notes

Optimal dilution of the LASP1 antibody should be determined by the researcher.

Immunogen

Amino acids NPNCARCGKIVYP were used as the immunogen for this LASP1 antibody. This sequence is common to isoforms 1 and 2 (Uniprot Q14847).

Storage

Aliquot and store the LASP1 antibody at -20oC.

Cross
Bulk Quote Request Form
Name*:
Organization*:
Email*:
Phone Number*:
Catalog No.*:
Comments and Specifics(amount, formulation, etc.)*:
Validation code: Captchapackage Image


Can't read the image? click here to refresh.
    *required field

Your bulk quote request has been submitted successfully!

Please contact us if you have any questions.