• Tel: 858.663.9055
  • SeparatorEmail: info@nsjbio.com
  • Tel: 858.663.9055
  • Email: info@nsjbio.com
Home >> Antibodies >> LASP1 Antibody

LASP1 Antibody (R30888)

  Catalog No Formulation Size Price (USD)  
Image R30888 0.5mg/ml if reconstituted with 0.2ml sterile DI water 100 ug 449
Bulk quote request
Western blot testing of LASP1 antibody and Lane 1: rat liver ; 2: rat spleen; 3: rat intestine; 4: Jurkat; 5: MCF-7; 6: A431; 7: HeLa; 8: 293T. Predicted molecular weight: 30kDa.
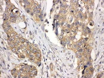
IHC-P: LASP1 antibody testing of human lung cancer tissue
ICC testing of LASP1 antibody and A549 cells
Availability 1-3 business days
Species Reactivity Human, Mouse, Rat
Format Antigen affinity purified
Host Rabbit
Clonality Polyclonal (rabbit origin)
Isotype Rabbit IgG
Purity Antigen affinity
Buffer Lyophilized from 1X PBS with 2.5% BSA and 0.025% sodium azide/thimerosal
UniProt Q14847
Applications Western Blot : 0.5-1ug/ml
IHC (FFPE) : 0.5-1ug/ml
Immunocytochemistry : 0.5-1ug/ml
Limitations This LASP1 antibody is available for research use only.
Review this product on BioCompare and get a $20 Amazon gift card

Related Products

  • Applications : WB, IHC-P
    Reactivity : Human
  • Applications : WB, ELISA (peptide)
    Reactivity : Human
    Pred. Reactivity : Dog, Mouse, Pig, Rat
  • Applications : WB, IHC-P, ELISA (peptide)
    Reactivity : Human
    Pred. Reactivity : Dog

Description

LIM and SH3 domain protein 1 is a protein that in humans is encoded by the LASP1 gene. This gene encodes a member of a LIM protein subfamily which is characterized by a LIM motif and a domain of Src homology region 3. This protein functions as an actin-binding protein and possibly in cytoskeletal organization. LASP1 has been shown to interact with Zyxin. Northern blot analysis revealed that LASP1 mRNA was expressed at a basal level in all normal tissues examined and overexpressed in 8% of primary breast cancers. In most of these cancers, LASP1 and ERBB2 were simultaneously overexpressed.

Application Notes

The stated application concentrations are suggested starting amounts. Titration of the LASP1 antibody may be required due to differences in protocols and secondary/substrate sensitivity.

Immunogen

Amino acids 16-30 (EKVNCLDKFWHKACF-human) were used as the immunogen for this LASP1 antibody (100% rat homology).

Storage

After reconstitution, the LASP1 antibody can be stored for up to one month at 4oC. For long-term, aliquot and store at -20oC. Avoid repeated freezing and thawing.

Cross
Bulk Quote Request Form
Name*:
Organization*:
Email*:
Phone Number*:
Catalog No.*:
Comments and Specifics(amount, formulation, etc.)*:
Validation code: Captchapackage Image


Can't read the image? click here to refresh.
    *required field

Your bulk quote request has been submitted successfully!

Please contact us if you have any questions.