• Tel: 858.663.9055
  • SeparatorEmail: info@nsjbio.com
  • Tel: 858.663.9055
  • Email: info@nsjbio.com
Home >> Antibodies >> LARP4B Antibody / La-related protein 4B

LARP4B Antibody / La-related protein 4B (RQ6651)

  Catalog No Formulation Size Price (USD)  
Image RQ6651 0.5mg/ml if reconstituted with 0.2ml sterile DI water 100 ug 449
Bulk quote request
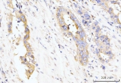
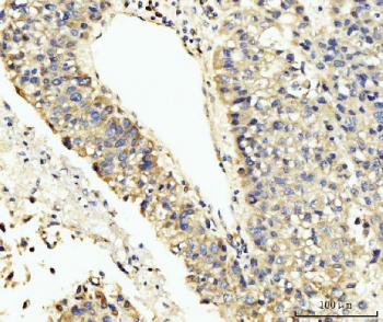
IHC staining of FFPE human liver cancer tissue with LARP4B antibody. HIER: boil tissue sections in pH8 EDTA for 20 min and allow to cool before testing.
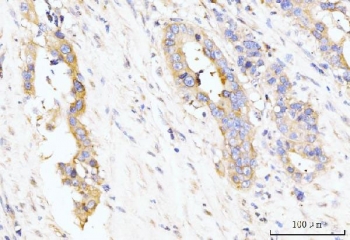
IHC staining of FFPE human appendiceal adenocarcinoma tissue with LARP4B antibody. HIER: boil tissue sections in pH8 EDTA for 20 min and allow to cool before testing.
Western blot testing of human 1) HEK293, 2) Jurkat and 3) K562 cell lysate with LARP4B antibody. Predicted molecular weight ~81 kDa.
Flow cytometry testing of human ThP-1 cells with LARP4B antibody at 1ug/million cells (blocked with goat sera); Red=cells alone, Green=isotype control, Blue= LARP4B antibody.
Immunofluorescent staining of FFPE human A431 cells with LARP4B antibody (green) and DAPI nuclear stain (blue). HIER: steam section in pH6 citrate buffer for 20 min.
Availability 1-3 business days
Species Reactivity Human
Format Antigen affinity purified
Host Rabbit
Clonality Polyclonal (rabbit origin)
Isotype Rabbit IgG
Purity Antigen affinity purified
Buffer Lyophilized from 1X PBS with 2% Trehalose
UniProt Q92615
Localization Cytoplasmic
Applications Western Blot : 1-2ug/ml
Immunohistochemistry (FFPE) : 2-5ug/ml
Flow Cytometry : 1-3ug/million cells
Immunofluorescence : 5ug/ml
Direct ELISA : 0.1-0.5ug/ml
Limitations This LARP4B antibody is available for research use only.
Review this product on BioCompare and get a $20 Amazon gift card

Description

This gene encodes a member of an evolutionarily conserved protein family implicated in RNA metabolism and translation. Members of this family are characterized by the presence of an La motif, which is often located adjacent to one or more RNA recognition motifs (RRM). Together, the two motifs constitute the functional region of the protein and enable its interaction with the RNA substrate. This protein family is divided into five sub-families: the genuine La proteins and four La-related protein (LARP) sub-families. The protein encoded by this gene belongs to LARP sub-family 4. It is a cytoplasmic protein that may play a stimulatory role in translation.

Application Notes

Optimal dilution of the LARP4B antibody should be determined by the researcher.

Immunogen

Recombinant human protein (amino acids R241-K684) was used as the immunogen for the LARP4B antibody.

Storage

After reconstitution, the LARP4B antibody can be stored for up to one month at 4oC. For long-term, aliquot and store at -20oC. Avoid repeated freezing and thawing.

Cross
Bulk Quote Request Form
Name*:
Organization*:
Email*:
Phone Number*:
Catalog No.*:
Comments and Specifics(amount, formulation, etc.)*:
Validation code: Captchapackage Image


Can't read the image? click here to refresh.
    *required field

Your bulk quote request has been submitted successfully!

Please contact us if you have any questions.