• Tel: 858.663.9055
  • SeparatorEmail: info@nsjbio.com
  • Tel: 858.663.9055
  • Email: info@nsjbio.com
Home >> Antibodies >> Lanosterol 14-alpha demethylase Antibody / CYP51A1

Lanosterol 14-alpha demethylase Antibody / CYP51A1 (RQ6417)

  Catalog No Formulation Size Price (USD)  
Image RQ6417 0.5mg/ml if reconstituted with 0.2ml sterile DI water 100 ug 449
Bulk quote request
Immunofluorescent staining of FFPE human Caco-2 cells with Lanosterol 14-alpha demethylase antibody (green) and DAPI nuclear stain (blue). HIER: steam section in pH6 citrate buffer for 20 min.
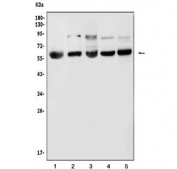
Western blot testing of 1) monkey COS-7, 2) human A431, 3) human K562, 4) mouse liver and 5) mouse kidney tissue lysate with Lanosterol 14-alpha demethylase antibody. Predicted molecular weight ~57 kDa.
Flow cytometry testing of human HepG2 cells with Lanosterol 14-alpha demethylase antibody at 1ug/million cells (blocked with goat sera); Red=cells alone, Green=isotype control, Blue= Lanosterol 14-alpha demethylase antibody.
Availability 1-3 business days
Species Reactivity Human, Mouse, Monkey
Format Purified
Host Rabbit
Clonality Polyclonal (rabbit origin)
Isotype Rabbit IgG
Purity Antigen affinity purified
Buffer Lyophilized from 1X PBS with 2% Trehalose
UniProt Q16850
Localization Cytoplasmic
Applications Western Blot : 0.5-1ug/ml
Immunofluorescence (FFPE) : 5ug/ml
Flow Cytometry : 1-3ug/million cells
Direct ELISA : 0.1-0.5ug/ml
Limitations This Lanosterol 14-alpha demethylase antibody is available for research use only.
Review this product on BioCompare and get a $20 Amazon gift card

Description

P450 enzymes constitute a family of monooxygenase enzymes that are involved in the metabolism of a wide array of endogenous and xenobiotic compounds. Several P450 enzymes have been classified by sequence similarities as members of the CYP1A and CYP2A subfamilies. CYP51A1 (cytochrome P450, family 51, subfamily A, polypeptide 1), also known as LDM (lanosterol 14-alpha demethylase) or cytochrome P450-14DM, is a 503 amino acid protein localized to endoplasmic reticulum membrane. CYP51A1 is an important enzyme for zymosterol and steroid biosynthesis. CYP51A1 catalyzes C14-demethylation of lanosterol, transforming lanosterol into 4,4'-dimethyl cholesta-8,14,24-triene-3-beta-ol. CYP51A1 is ubiquitously expressed, with highest levels found in liver, ovary, testis, lung, kidney and prostate.

Application Notes

Optimal dilution of the Lanosterol 14-alpha demethylase antibody should be determined by the researcher.

Immunogen

Recombinant human protein (amino acids K141-K503) was used at the immunogen for the Lanosterol 14-alpha demethylase antibody.

Storage

After reconstitution, the Lanosterol 14-alpha demethylase antibody can be stored for up to one month at 4oC. For long-term, aliquot and store at -20oC. Avoid repeated freezing and thawing.

Cross
Bulk Quote Request Form
Name*:
Organization*:
Email*:
Phone Number*:
Catalog No.*:
Comments and Specifics(amount, formulation, etc.)*:
Validation code: Captchapackage Image


Can't read the image? click here to refresh.
    *required field

Your bulk quote request has been submitted successfully!

Please contact us if you have any questions.