- Tel: 858.663.9055
- 
									 Email: info@nsjbio.com Email: info@nsjbio.com
- Tel: 858.663.9055
- Email: info@nsjbio.com
 Email: info@nsjbio.com
Email: info@nsjbio.com
								Related Products
| 
 | 
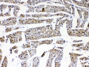
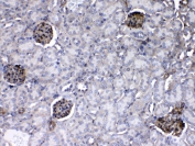
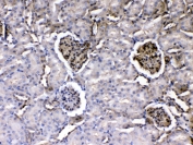
Laminins are major proteins in the basal lamina (one of the layers of the basement membrane), a protein network foundation for most cells and organs. Laminins form independent networks and are associated with type IV collagen networks via entactin, fibronectin, and perlecan. They are important and biologically active parts of the basal lamina, influencing cell differentiation, migration, and adhesion, as well as phenotype and survival. Laminins are trimeric proteins that contain an ?-chain, a ?-chain, and a ?-chain, found in five, four, and three genetic variants, respectively. Laminins critically contribute to cell attachment and differentiation, cell shape and movement, maintenance of tissue phenotype, and promotion of tissue survival.
Optimal dilution of the Laminin gamma antibody should be determined by the researcher.
Amino acid sequences from Laminin gamma 1-3 (NKLNEIEGSLNKAKDEMKAS + DLEERVRRQRNHLHLLETSI + LQLDSHGALHHKLRQLEEES) were used as the immunogen for the Laminin gamma antibody.
After reconstitution, the Laminin gamma antibody can be stored for up to one month at 4oC. For long-term, aliquot and store at -20oC. Avoid repeated freezing and thawing.
 
Your bulk quote request has been submitted successfully!
Please contact us if you have any questions.