- Tel: 858.663.9055
- 
									 Email: info@nsjbio.com Email: info@nsjbio.com
- Tel: 858.663.9055
- Email: info@nsjbio.com
 Email: info@nsjbio.com
Email: info@nsjbio.com
								Related Products
| 
 | 
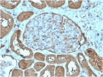
Laminins are large hetero-trimeric, non-collagenous glycoproteins composed of alpha, beta, and gamma chains. This MAb reacts with laminin B2/1 chain of ~210 kDa and does not cross-react with other basement membrane components or fibronectin.
Optimal dilution of the Laminin gamma 1 antibody should be determined by the researcher.
Murine EHS laminin preparation was used as the immunogen for the Laminin gamma 1 antibody.
Aliquot the Laminin gamma 1 antibody and store frozen at -20oC or colder. Avoid repeated freeze-thaw cycles.
 
Your bulk quote request has been submitted successfully!
Please contact us if you have any questions.