• Tel: 858.663.9055
  • SeparatorEmail: info@nsjbio.com
  • Tel: 858.663.9055
  • Email: info@nsjbio.com
Home >> Antibodies >> Lamin B2 Antibody / LMNB2

Lamin B2 Antibody / LMNB2 (FY12337)

  Catalog No Formulation Size Price (USD)  
Image FY12337 Adding 0.2 ml of distilled water will yield a concentration of 500 ug/ml 100 ug 449
Bulk quote request
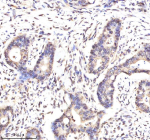
Immunohistochemical staining of Lamin B2 using anti-Lamin B2 antibody. Lamin B2 was detected in a paraffin-embedded section of human bladder cancer tissue. Heat mediated antigen retrieval was performed in EDTA buffer (pH 8.0, epitope retrieval solution). The tissue section was blocked with 10% goat serum. The tissue section was then incubated with 2 ug/ml rabbit anti-Lamin B2 antibody overnight at 4oC. Peroxidase Conjugated Goat Anti-rabbit IgG was used as secondary antibody and incubated for 30 minutes at 37oC. The tissue section was developed using an HRP secondary and DAB substrate.
Western blot analysis of Lamin B2 using anti-Lamin B2 antibody. Lane 1: human HepG2 whole cell lysates, Lane 2: human Jurkat whole cell lysates, Lane 3: human Raji whole cell lysates, Lane 4: human Hacat whole cell lysates. After electrophoresis, proteins were transferred to a nitrocellulose membrane at 150 mA for 50-90 minutes. Blocked the membrane with 5% non-fat milk/TBS for 1.5 hour at RT. The membrane was incubated with rabbit anti-Lamin B2 antibody at 0.5 ug/ml overnight at 4oC, then washed with TBS-0.1%Tween 3 times with 5 minutes each and probed with a goat anti-rabbit IgG-HRP secondary antibody at a dilution of 1:5000 for 1.5 hour at RT. The signal was developed using enhanced chemiluminescent. A specific band was detected for Lamin B2 at approximately 72 kDa. The expected molecular weight of Lamin B2 is at 68 kDa.
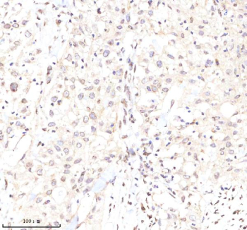
Immunohistochemical staining of Lamin B2 using anti-Lamin B2 antibody. Lamin B2 was detected in a paraffin-embedded section of human colon cancer tissue. Heat mediated antigen retrieval was performed in EDTA buffer (pH 8.0, epitope retrieval solution). The tissue section was blocked with 10% goat serum. The tissue section was then incubated with 2 ug/ml rabbit anti-Lamin B2 antibody overnight at 4oC. Peroxidase Conjugated Goat Anti-rabbit IgG was used as secondary antibody and incubated for 30 minutes at 37oC. The tissue section was developed using an HRP secondary and DAB substrate.
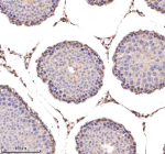
Immunohistochemical staining of Lamin B2 using anti-Lamin B2 antibody. Lamin B2 was detected in a paraffin-embedded section of rat testis tissue. Heat mediated antigen retrieval was performed in EDTA buffer (pH 8.0, epitope retrieval solution). The tissue section was blocked with 10% goat serum. The tissue section was then incubated with 2 ug/ml rabbit anti-Lamin B2 antibody overnight at 4oC. Peroxidase Conjugated Goat Anti-rabbit IgG was used as secondary antibody and incubated for 30 minutes at 37oC. The tissue section was developed using an HRP secondary and DAB substrate.
Flow Cytometry analysis of THP-1 cells using anti-Lamin B2 antibody. Overlay histogram showing THP-1 cells stained with (Blue line). To facilitate intracellular staining, cells were fixed with 4% paraformaldehyde and permeabilized with permeabilization buffer. The cells were blocked with 10% normal goat serum. And then incubated with rabbit anti-Lamin B2 antibody (1 ug/million cells) for 30 min at 20oC. DyLight 488 conjugated goat anti-rabbit IgG (5-10 ug/million cells) was used as secondary antibody for 30 minutes at 20oC. Isotype control antibody (Green line) was rabbit IgG (1 ug/million cells) used under the same conditions. Unlabelled sample without incubation with primary antibody and secondary antibody (Red line) was used as a blank control.
Availability 1-2 days
Species Reactivity Human, Rat
Format Lyophilized
Host Rabbit
Clonality Polyclonal (rabbit origin)
Isotype Rabbit IgG
Purity Immunogen affinity purified
Buffer Each vial contains 4 mg Trehalose, 0.9 mg NaCl, 0.2 mg Na2HPO4.
UniProt Q03252
Localization Nucleus lamina
Applications Western Blot : 0.25-0.5ug/ml
Immunohistochemistry : 2-5ug/ml
ELISA : 0.1-0.5ug/ml
Limitations This Lamin B2 antibody is available for research use only.
Review this product on BioCompare and get a $20 Amazon gift card

Related Products

Description

The Lamin B2 antibody targets lamin B2, an essential component of the nuclear lamina. Lamins are type V intermediate filament proteins that provide structural support to the nuclear envelope and participate in chromatin organization, DNA replication, transcription, and nuclear stability. Lamin B2, encoded by the LMNB2 gene, localizes to the inner nuclear membrane where it forms a filamentous meshwork underlying the nuclear envelope. This protein is crucial for maintaining nuclear shape, ensuring proper chromosome segregation during mitosis, and anchoring chromatin domains. The Lamin B2 antibody allows researchers to investigate the abundance, localization, and regulatory functions of this protein in diverse biological contexts.

Lamin B2 is expressed in most somatic tissues and plays particularly important roles in proliferating cells. Mutations in LMNB2 have been associated with neurological disorders such as progressive myoclonus epilepsy, underscoring the importance of Lamin B2 for brain development and function. Studies have also implicated changes in lamin expression in processes such as aging, cancer, and viral infection, making antibodies against these proteins highly valuable for mechanistic investigations. The Lamin B2 antibody provides a reliable means of probing nuclear envelope biology and identifying changes that accompany disease progression.

In experimental applications, the Lamin B2 antibody has broad utility. Western blotting can reveal protein levels and detect shifts in size due to post-translational modifications. Immunofluorescence microscopy allows visualization of nuclear lamina organization and potential defects in nuclear envelope integrity. Immunohistochemistry enables tissue-level assessment of lamin expression, which may vary between normal and diseased tissues. Given lamin involvement in DNA replication and repair, the Lamin B2 antibody is also relevant in studies of genomic stability and cellular responses to stress. These uses highlight the versatility of the reagent for both basic and translational research.

The structural role of lamin proteins makes them targets of interest in cancer research. Altered lamin expression has been linked to changes in nuclear morphology, a hallmark of many tumor cells. Lamin B2 dysregulation could influence tumor progression by affecting nuclear stiffness, gene expression, and mechanotransduction. NSJ Bioreagents provides the Lamin B2 antibody as a high-quality research tool to support studies of lamin structure, nuclear function, and disease relevance. By enabling detailed characterization of Lamin B2 expression and localization, this antibody helps advance understanding of nuclear architecture and its contribution to health and pathology.

Application Notes

Optimal dilution of the Lamin B2 antibody should be determined by the researcher.

Immunogen

E.coli-derived human Lamin B2/LMNB2 recombinant protein (Position: L128-E585) was used as the immunogen for the Lamin B2 antibody.

Storage

After reconstitution, the Lamin B2 antibody can be stored for up to one month at 4oC. For long-term, aliquot and store at -20oC. Avoid repeated freezing and thawing.

Cross
Bulk Quote Request Form
Name*:
Organization*:
Email*:
Phone Number*:
Catalog No.*:
Comments and Specifics(amount, formulation, etc.)*:
Validation code: Captchapackage Image


Can't read the image? click here to refresh.
    *required field

Your bulk quote request has been submitted successfully!

Please contact us if you have any questions.