• Tel: 858.663.9055
  • SeparatorEmail: info@nsjbio.com
  • Tel: 858.663.9055
  • Email: info@nsjbio.com
Home >> Antibodies >> Lambda Light Chain Antibody Cocktail

Lambda Light Chain Antibody Cocktail [clone LcN-2 + ICO-106] (V2155)

  Catalog No Formulation Size Price (USD)  
Image V2155-100UG 0.2 mg/ml in 1X PBS with 0.1 mg/ml BSA (US sourced) and 0.05% sodium azide 100 ug 559
Image
V2155-20UG 0.2 mg/ml in 1X PBS with 0.1 mg/ml BSA (US sourced) and 0.05% sodium azide 20 ug 259
Image
V2155SAF-100UG 1 mg/ml in 1X PBS; BSA free, sodium azide free 100 ug 559
Bulk quote request
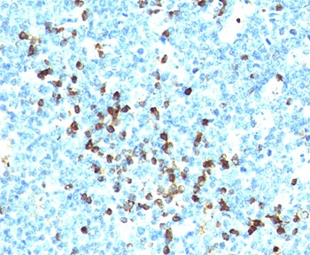
IHC testing of human tonsil stained with Lambda Light Chain antibody cocktail (LcN-2 + ICO-106).
Western blot testing of human samples using Lambda Light Chain antibody cocktail (LcN-2 + ICO-106).
Species Reactivity Human
Format Purified
Host Mouse
Clonality Monoclonal (mouse origin)
Isotype Mouse IgG2a, kappa + Mouse IgG1, kappa
Clone Name LcN-2 + ICO-106
Purity Protein G affinity chromatography
Buffer 1X PBS, pH 7.4
Gene ID 3535
Localization Cell surface, cytoplasmic and secreted
Applications Flow Cytometry : 0.5-1ug/10^6 cells
Immunofluorescence : 0.5-1ug/ml
Western Blot : 0.5-1ug/ml
Limitations This Lambda Light Chain antibody cocktail is available for research use only.
Review this product on BioCompare and get a $20 Amazon gift card

Related Products

Description

This antibody cocktail is specific to lambda light chain of immunoglobulin and shows no cross-reaction with kappa light chain or any of the five heavy chains. In mammals, the two light chains in an antibody are always identical, with only one type of light chain, kappa or lambda. In general, the ratio of Kappa to Lambda is 3:1. However, with the occurrence of multiple myeloma or other B-cell malignancies this ratio is disturbed. Lambda light chain antibody is reportedly useful in the identification of leukemias, plasmacytomas, and certain non-Hodgkin's lymphomas. Demonstration of clonality in lymphoid infiltrates indicates that the infiltrate is malignant.

Application Notes

The concentration stated for each application is a general starting point. Variations in protocols, secondaries and substrates may require the antibody to be titered up or down for optimal performance.

1. Staining of formalin-fixed tissues requires boiling tissue sections in 10mM Citrate Buffer, pH 6.0, for 10-20 min followed by cooling at RT for 20 minutes.
2. The prediluted format is supplied in a dropper bottle and is optimized for use in IHC. After epitope retrieval step (if required), drip mAb solution onto the tissue section and incubate at RT for 30 min.

Immunogen

Purified human Ig (LcN-2 and ICO-106) was used as the immunogen for this Lambda Light Chain antibody cocktail.

Storage

Store the Lambda Light Chain antibody cocktail at 2-8oC (with azide) or aliquot and store at -20oC or colder (without azide).

Alternate Names

Bence Jones Protein; BJP; IGLC 1/2/3; Mcg Marker; Paraprotein, Lambda

Cross
Bulk Quote Request Form
Name*:
Organization*:
Email*:
Phone Number*:
Catalog No.*:
Comments and Specifics(amount, formulation, etc.)*:
Validation code: Captchapackage Image


Can't read the image? click here to refresh.
    *required field

Your bulk quote request has been submitted successfully!

Please contact us if you have any questions.