• Tel: 858.663.9055
  • SeparatorEmail: info@nsjbio.com
  • Tel: 858.663.9055
  • Email: info@nsjbio.com
Home >> Antibodies >> Lactadherin Antibody / Milk Fat Globule / MFG-E8

Lactadherin Antibody / Milk Fat Globule / MFG-E8 (RQ7566)

  Catalog No Formulation Size Price (USD)  
Image RQ7566 0.5mg/ml if reconstituted with 0.2ml sterile DI water 100 ug 449
Bulk quote request
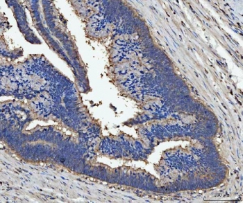
IHC staining of FFPE human colorectal adenocarcinoma tissue with Lactadherin antibody. HIER: boil tissue sections in pH8 EDTA for 20 min and allow to cool before testing.
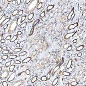
IHC staining of FFPE human renal cancer tissue with Lactadherin antibody. HIER: boil tissue sections in pH8 EDTA for 20 min and allow to cool before testing.
Western blot testing of 1) human milk (5ul), 2) human milk (5ul), 3) human milk (25ul) and 4) human milk (25ul) with Lactadherin antibody. Expected molecular weight: 30-66 kDa depending glycosylation level.
Availability 1-3 business days
Species Reactivity Human
Format Antigen affinity purified
Host Rabbit
Clonality Polyclonal (rabbit origin)
Isotype Rabbit IgG
Purity Antigen affinity purified
Buffer Lyophilized from 1X PBS with 2% Trehalose
UniProt Q08431
Applications Western Blot : 0.5-1ug/ml
Immunohistochemistry (FFPE) : 2-5ug/ml
Direct ELISA : 0.1-0.5ug/ml
Limitations This Lactadherin antibody is available for research use only.
Review this product on BioCompare and get a $20 Amazon gift card

Related Products

Description

MFGE8 (Milk Fat Globule-Egf Factor 8), also called as Lactadherin or SED1, is a protein which in humans is encoded by the MFGE8 gene. Mfge8 is secreted protein found in vertebrates, including mammals as well as birds. By fluorescence in situ hybridization, Collins et al.(1997) mapped the MFGE8 gene to chromosome 15q25. Hanayama et al.(2002) found that MFGE8 is a factor that links apoptotic cells to phagocytes. MFGE8 specifically bound to apoptotic cells by recognizing aminophospholipids such as phosphatidylserine. MFGE8, when engaged by phospholipids, bound to cells via its RGD motif. It bound particularly strongly to cells expressing alpha-V-beta-3 integrin. Bu et al.(2007) showed that Mfge8 was expressed in intestinal lamina propria macrophages in mice. Using a wound-healing assay, they showed that Mfge8 promoted migration of intestinal epithelial cells through a PKC-epsilon(PRKCE)-dependent mechanism.

Application Notes

Optimal dilution of the Lactadherin antibody should be determined by the researcher.

Immunogen

E. coli-derived recombinant human protein (amino acids L24-C387) was used as the immunogen for the Lactadherin antibody.

Storage

After reconstitution, the Lactadherin antibody can be stored for up to one month at 4oC. For long-term, aliquot and store at -20oC. Avoid repeated freezing and thawing.

Cross
Bulk Quote Request Form
Name*:
Organization*:
Email*:
Phone Number*:
Catalog No.*:
Comments and Specifics(amount, formulation, etc.)*:
Validation code: Captchapackage Image


Can't read the image? click here to refresh.
    *required field

Your bulk quote request has been submitted successfully!

Please contact us if you have any questions.