• Tel: 858.663.9055
  • SeparatorEmail: info@nsjbio.com
  • Tel: 858.663.9055
  • Email: info@nsjbio.com
Home >> Antibodies >> Lactadherin Antibody

Lactadherin Antibody [clone EDM45] (V2705)

  Catalog No Formulation Size Price (USD)  
Image V2705-100UG 0.2 mg/ml in 1X PBS with 0.1 mg/ml BSA (US sourced) and 0.05% sodium azide 100 ug 559
Image
V2705-20UG 0.2 mg/ml in 1X PBS with 0.1 mg/ml BSA (US sourced) and 0.05% sodium azide 20 ug 259
Image
V2705SAF-100UG 1 mg/ml in 1X PBS; BSA free, sodium azide free 100 ug 559
Image
V2705IHC-7ML Prediluted in 1X PBS with 0.1 mg/ml BSA (US sourced) and 0.05% sodium azide; *For IHC use only* 7 ml 559
Bulk quote request
IHC analysis of formalin-fixed, paraffin-embedded human breast carcinoma stained with Lactadherin antibody (EDM45)
IHC analysis of FFPE human lung carcinoma tested with Lactadherin antibody (EDM45)
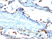
IHC analysis of FFPE human renal cell carcinoma tested with Lactadherin antibody (EDM45)
IHC analysis of FFPE human pancreas tested with Lactadherin antibody (EDM45)
Western blot testing of MCF7 cell lysate with Lactadherin antibody (clone EDM45). Expected molecular weight: 30-66 kDa depending glycosylation level.
Availability 1-3 business days
Species Reactivity Human
Format Purified
Host Mouse
Clonality Monoclonal (mouse origin)
Isotype Mouse IgG1, kappa
Clone Name EDM45
Purity Protein G affinity chromatography
UniProt Q08431
Localization Cell surface & cytoplasmic
Applications Flow Cytometry : 0.5-1ug/10^6 cells
Immunofluorescence : 1-2ug/ml
Immunohistochemistry (FFPE) : 0.5-1ug/ml for 30 min at RT
Limitations This Lactadherin antibody is available for research use only.
Review this product on BioCompare and get a $20 Amazon gift card

Related Products

Description

Recognizes a protein of 40-45kDa, identified as human milk fat globule membrane protein (HMFG), Lactadherin or MFG-EA. HMFG is present on normal human breast epithelial cells and cell lines derived from breast carcinomas, as well as to the outer surface of the human milk fat globule. HMFG is considered as a differentiation marker. It is useful as specific breast epithelial marker and can also provide a tool to study the role of the cell surface in normal and neoplastic mammary development.

Application Notes

Optimal dilution of the Lactadherin antibody should be determined by the researcher.

1. Staining of formalin-fixed tissues requires boiling tissue sections in 10mM Citrate buffer, pH 6.0, for 10-20 min followed by cooling at RT for 20 min
2. The prediluted format is supplied in a dropper bottle and is optimized for use in IHC. After epitope retrieval step (if required), drip mAb solution onto the tissue section and incubate at RT for 30 min.

Immunogen

A delipidated human milk fat globule membrane preparation was used as the immunogen for the Lactadherin antibody.

Storage

Store the Lactadherin antibody at 2-8oC (with azide) or aliquot and store at -20oC or colder (without azide).

Cross
Bulk Quote Request Form
Name*:
Organization*:
Email*:
Phone Number*:
Catalog No.*:
Comments and Specifics(amount, formulation, etc.)*:
Validation code: Captchapackage Image


Can't read the image? click here to refresh.
    *required field

Your bulk quote request has been submitted successfully!

Please contact us if you have any questions.