• Tel: 858.663.9055
  • SeparatorEmail: info@nsjbio.com
  • Tel: 858.663.9055
  • Email: info@nsjbio.com
Home >> Antibodies >> Ku70 Antibody / DNA End Binding Protein Antibody

Ku70 Antibody / DNA End Binding Protein Antibody (R31952)

  Catalog No Formulation Size Price (USD)  
Image R31952 0.5mg/ml if reconstituted with 0.2ml sterile DI water 100 ug 449
Bulk quote request
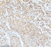
Ku70 Antibody Pancreatic Ductal Adenocarcinoma IHC. Immunohistochemistry analysis of FFPE human pancreatic ductal adenocarcinoma tissue stained with Ku70 Antibody demonstrates strong predominantly nuclear HRP-DAB brown staining throughout malignant gland-forming epithelial tumor cell populations, consistent with XRCC6 / Ku70-associated DNA damage response pathway expression. This DNA end binding protein antibody highlights non-homologous end joining-associated repair signaling and genomic stability regulation within pancreatic carcinoma tissue. HIER: boil tissue sections in pH8 EDTA for 20 min and allow to cool before testing.
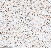
Ku70 Antibody Testicular Seminoma IHC. Immunohistochemistry analysis of FFPE human testicular seminoma tissue stained with Ku70 Antibody demonstrates strong diffuse nuclear HRP-DAB brown staining throughout neoplastic germ cell-associated tumor populations, consistent with XRCC6 / Ku70-associated DNA damage response pathway expression. This DNA end binding protein antibody highlights non-homologous end joining-associated repair signaling and genomic stability regulation within seminoma tissue. HIER: boil tissue sections in pH8 EDTA for 20 min and allow to cool before testing.
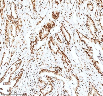
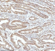
Ku70 Antibody Colon Adenocarcinoma IHC. Immunohistochemistry analysis of FFPE human colon adenocarcinoma tissue stained with Ku70 Antibody demonstrates strong predominantly nuclear HRP-DAB brown staining throughout gland-forming malignant epithelial tumor cell populations, consistent with XRCC6 / Ku70-associated DNA repair pathway expression. This DNA end binding protein antibody highlights double-strand break repair signaling and genomic maintenance-associated cellular regulation within colorectal carcinoma tissue. HIER: boil tissue sections in pH8 EDTA for 20 min and allow to cool before testing.
Ku70 Antibody Colon Adenocarcinoma IHC. Immunohistochemistry analysis of FFPE human colon adenocarcinoma tissue stained with Ku70 Antibody demonstrates strong predominantly nuclear HRP-DAB brown staining throughout gland-forming malignant epithelial tumor cell populations, consistent with XRCC6 / Ku70-associated DNA repair pathway expression. This DNA end binding protein antibody highlights double-strand break repair signaling and genomic maintenance-associated cellular regulation within colorectal carcinoma tissue. HIER: boil tissue sections in pH8 EDTA for 20 min and allow to cool before testing.
Ku70 Antibody Liver Cancer IHC. Immunohistochemistry analysis of FFPE human liver cancer tissue stained with Ku70 Antibody demonstrates strong diffuse nuclear HRP-DAB brown staining throughout malignant hepatic tumor cell populations, consistent with XRCC6 / Ku70-associated DNA damage response pathway expression. This DNA end binding protein antibody highlights non-homologous end joining-associated repair signaling and genomic stability regulation within hepatocellular carcinoma-associated tissue compartments. HIER: boil tissue sections in pH8 EDTA for 20 min and allow to cool before testing.
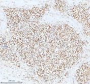
Ku70 Antibody Glioblastoma IHC. Immunohistochemistry analysis of FFPE human glioblastoma tissue stained with Ku70 Antibody demonstrates widespread nuclear HRP-DAB brown staining throughout densely cellular malignant glial-associated tumor populations, consistent with XRCC6 / Ku70-associated DNA repair pathway expression. This DNA end binding protein antibody highlights double-strand break repair signaling and genomic maintenance-associated cellular regulation within high-grade glioma tissue. HIER: boil tissue sections in pH8 EDTA for 20 min and allow to cool before testing.
Ku70 Antibody Bladder Cancer IHC. Immunohistochemistry analysis of FFPE human bladder cancer tissue stained with Ku70 Antibody demonstrates strong predominantly nuclear HRP-DAB brown staining throughout malignant urothelial-associated tumor cell populations, consistent with XRCC6 / Ku70-associated DNA damage response pathway expression. This DNA end binding protein antibody highlights non-homologous end joining-associated repair signaling and genomic stability regulation within bladder carcinoma tissue. HIER: boil tissue sections in pH8 EDTA for 20 min and allow to cool before testing.
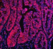
Ku70 Antibody Colon Cancer Immunofluorescence. Immunofluorescent analysis of FFPE human colon cancer tissue stained with Ku70 Antibody demonstrates strong nuclear and chromatin-associated red fluorescence throughout malignant gland-forming epithelial tumor cell populations, consistent with XRCC6 / Ku70-associated DNA damage response pathway localization. This DNA end binding protein antibody highlights non-homologous end joining-associated repair signaling and genomic stability regulation within colorectal carcinoma tissue. Nuclei are counterstained with DAPI nuclear stain (blue). HIER: steam section in pH8 EDTA buffer for 20 min.
Ku70 Antibody U-2 OS Immunofluorescence. Immunofluorescent analysis of human U-2 OS cells stained with Ku70 Antibody demonstrates prominent nuclear-associated red fluorescence consistent with XRCC6 / Ku70 localization within DNA damage response and chromatin-associated repair compartments. Co-staining with Beta Tubulin mAb (green) highlights cytoskeletal architecture surrounding Ku70-positive nuclei. This DNA end binding protein antibody supports visualization of non-homologous end joining-associated repair signaling and genomic maintenance pathways in osteosarcoma-derived cells. HIER: steam section in pH6 citrate buffer for 20 min.
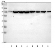
Ku70 Antibody Multi-Cell Line WB. Western blot analysis of human 1) LNCaP, 2) HeLa, 3) 293T, 4) HepG2, 5) Jurkat, 6) K562, 7) A549, and 8) A431 cell lysates using Ku70 Antibody detects a strong band at approximately 70 kDa across multiple epithelial and hematopoietic-derived cell lines, consistent with the predicted molecular weight of XRCC6 / Ku70. This DNA end binding protein antibody highlights broad expression of non-homologous end joining-associated DNA repair machinery and genomic stability pathways in diverse human cellular populations.
Ku70 Antibody A431 FACS. Flow cytometry analysis of fixed and permeabilized human A431 cells stained with Ku70 Antibody demonstrates a pronounced right-shifted fluorescence population relative to the isotype control, consistent with intracellular XRCC6 / Ku70 expression associated with DNA damage response and double-strand break repair pathways. This DNA end binding protein antibody supports characterization of non-homologous end joining-associated genomic maintenance signaling in epithelial-derived tumor cells. Red=cells alone, Green=isotype control, Blue=Ku70 antibody.
Availability 1-3 business days
Species Reactivity Human
Format Antigen affinity purified
Host Rabbit
Clonality Polyclonal (rabbit origin)
Isotype Rabbit IgG
Purity Antigen affinity
Buffer Lyophilized from 1X PBS with 2% Trehalose
UniProt P12956
Localization Nuclear
Applications Western Blot : 0.5-1ug/ml
Immunohistochemistry (FFPE) : 2-5ug/ml
Flow Cytometry : 1-3ug/million cells
Immunofluorescence : 5ug/ml
Limitations This Ku70 Antibody / DNA End Binding Protein Antibody is available for research use only.
Review this product on BioCompare and get a $20 Amazon gift card

Related Products

Description

Ku70 (XRCC6) is a DNA end-binding protein that functions as a central component of the non-homologous end joining (NHEJ) DNA repair pathway responsible for repair of DNA double-strand breaks. Ku70 forms a heterodimeric complex with Ku80 (XRCC5) that recognizes exposed DNA termini and recruits additional DNA repair machinery including DNA-dependent protein kinase catalytic subunit (DNA-PKcs). Ku70 Antibody is useful for investigations involving DNA damage response pathways, genomic stability regulation, double-strand break repair, and DNA repair-associated cellular signaling mechanisms.

Ku70 antibody, also referred to as XRCC6 antibody and DNA end binding protein antibody in the literature, recognizes a ubiquitously expressed nuclear DNA repair protein encoded on chromosome 22q13.2. Ku70 localizes predominantly to the nucleus where it binds free DNA ends generated during DNA damage, V(D)J recombination, oxidative stress, ionizing radiation exposure, and replication-associated genomic injury. The Ku70/Ku80 heterodimer functions as one of the earliest DNA damage sensing complexes involved in NHEJ-mediated repair pathway activation.

Ku70 Antibody / DNA End Binding Protein Antibody is uniquely positioned for studies involving DNA damage sensing and repair pathway initiation. This rabbit polyclonal antibody supports detection of XRCC6-associated DNA repair machinery involved in recognition and stabilization of DNA double-strand break termini. The polyclonal nature of the antibody may additionally support recognition of multiple Ku70-associated epitopes across native and DNA-bound protein conformations involved in cellular DNA repair responses.

Ku70 participates in recruitment and stabilization of DNA-PK-associated repair complexes required for efficient non-homologous end joining activity. In addition to its canonical DNA repair role, Ku70 has been associated with telomere maintenance, chromatin organization, apoptotic regulation through interaction with BAX, and cellular stress response signaling pathways. Altered Ku70 expression or localization has been associated with genomic instability, radiation sensitivity, impaired DNA repair activity, cancer progression, and resistance to DNA damaging therapies.

In tissue-based and cellular detection systems, Ku70 expression commonly demonstrates strong nuclear localization consistent with its role in DNA end recognition and repair-associated chromatin interaction. DNA damage-inducing conditions may alter Ku70 recruitment dynamics and subnuclear distribution patterns associated with active DNA repair foci. Because XRCC6 functions as a central DNA end recognition factor within the NHEJ pathway, it serves as an important marker for investigations involving DNA repair competency and genomic maintenance mechanisms.

This rabbit polyclonal Ku70 Antibody supports research involving DNA end binding, double-strand break repair pathways, genomic stability regulation, DNA-PK-associated repair signaling, chromatin-associated DNA damage responses, apoptosis-associated stress signaling, and non-homologous end joining biology. The antibody may be incorporated into tissue-based and cellular investigations examining DNA repair-associated cellular regulation in normal and diseased tissues.

Explore additional DNA damage response and repair pathway markers on our Signal Transduction Antibodies page, including antibodies targeting double-strand break repair, NHEJ signaling, and genomic stability pathways.

Application Notes

Optimal dilution of the Ku70 Antibody / DNA End Binding Protein Antibody should be determined by the researcher.

Immunogen

Amino acids AIVEKLRFTYRSDSFENPVLQQHFRNLEALALD of human Ku70 were used as the immunogen for the Ku70 antibody.

Storage

After reconstitution, the Ku70 antibody can be stored for up to one month at 4oC. For long-term, aliquot and store at -20oC. Avoid repeated freezing and thawing.

Alternate Names

XRCC6 antibody, Ku70 antibody, ATP-dependent DNA helicase 2 subunit 1 antibody, DNA end binding protein antibody, DNA repair protein Ku70 antibody

Cross
Bulk Quote Request Form
Name*:
Organization*:
Email*:
Phone Number*:
Catalog No.*:
Comments and Specifics(amount, formulation, etc.)*:
Validation code: Captchapackage Image


Can't read the image? click here to refresh.
    *required field

Your bulk quote request has been submitted successfully!

Please contact us if you have any questions.