• Tel: 858.663.9055
  • SeparatorEmail: info@nsjbio.com
  • Tel: 858.663.9055
  • Email: info@nsjbio.com
Home >> Antibodies >> Ku70 Antibody / XRCC6

Ku70 Antibody / XRCC6 [clone AAIG-24] (RQ5398)

  Catalog No Formulation Size Price (USD)  
Image RQ5398 Antibody in PBS with 0.02% sodium azide, 50% glycerol and 0.4-0.5mg/ml BSA 100 ul 449
Microvalidated Rab Mono Image
Bulk quote request
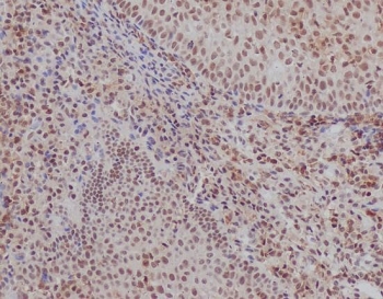
Ku70 Antibody Tonsil IHC. Immunohistochemistry staining of FFPE human tonsil tissue with Ku70 antibody. HIER: boil tissue sections in pH6, 10mM citrate buffer, for 10-20 min and allow to cool before testing.
Western blot testing of human HeLa cell lysate with Ku70 antibody. Predicted molecular weight ~70 kDa.
Availability 1-2 weeks
Species Reactivity Human
Format Purified
Host Rabbit
Clonality Rabbit Monoclonal
Isotype Rabbit IgG
Clone Name AAIG-24
Purity Affinity purified
UniProt P12956
Localization Nuclear
Applications Western Blot : 1:500-1:2000
Immunohistochemistry (FFPE) : 1:50-1:200
Limitations This Ku70 antibody is available for research use only.
Review this product on BioCompare and get a $20 Amazon gift card

Related Products

  • Applications : WB, IHC-P, IF, FACS
    Reactivity : Human
  • Applications : WB, IHC-P, IF, FACS
    Reactivity : Human
  • Applications : WB, IHC-P, ICC, IF, FACS
    Reactivity : Human
  • Applications : WB, IHC, FACS, ELISA
    Reactivity : Human, Mouse
  • Applications : WB, IHC, FACS, IF, ELISA
    Reactivity : Human
  • Applications : IHC, FACS, IF, WB, ELISA
    Reactivity : Human
  • Applications : WB, ELISA (peptide)
    Reactivity : Human
  • Applications : WB, IHC-P, IF, FACS
    Reactivity : Human

Description

The p70/p80 autoantigen is a nuclear complex consisting of two subunits with molecular masses of approximately 70 and 80 kDa. The complex functions as a single-stranded DNA-dependent ATP-dependent helicase. The complex may be involved in the repair of nonhomologous DNA ends such as that required for double-strand break repair, transposition, and V(D)J recombination. High levels of autoantibodies to p70 and p80 have been found in some patients with systemic lupus erythematosus. [RefSeq]

For investigations involving XRCC6-associated DNA end recognition and double-strand break repair signaling, see our Ku70 Antibody / DNA End Binding Protein Antibody featuring IHC, IF, FACS, and western blot validation data across multiple human tumor types and cell lines.

Application Notes

Optimal dilution of the Ku70 antibody should be determined by the researcher.

Immunogen

A synthetic peptide specific to human Ku70 / XRCC6 was used as the immunogen for the Ku70 antibody.

Storage

Store the Ku70 antibody at -20oC.

Cross
Bulk Quote Request Form
Name*:
Organization*:
Email*:
Phone Number*:
Catalog No.*:
Comments and Specifics(amount, formulation, etc.)*:
Validation code: Captchapackage Image


Can't read the image? click here to refresh.
    *required field

Your bulk quote request has been submitted successfully!

Please contact us if you have any questions.