• Tel: 858.663.9055
  • SeparatorEmail: info@nsjbio.com
  • Tel: 858.663.9055
  • Email: info@nsjbio.com
Home >> Antibodies >> KRT5 Antibody / Cytokeratin 5 / C-terminal region

KRT5 Antibody / Cytokeratin 5 / C-terminal region [clone AGD-11] (RQ5410)

  Catalog No Formulation Size Price (USD)  
Image RQ5410 Antibody in PBS with 0.02% sodium azide, 50% glycerol and 0.4-0.5mg/ml BSA 100 ul 449
Microvalidated Rab Mono Image
Bulk quote request
IHC staining of FFPE human urothelial carcinoma with KRT5 antibody. HIER: boil tissue sections in pH6, 10mM citrate buffer, for 10-20 min and allow to cool before testing.
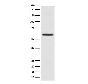
Western blot testing of human A431 cell lysate with KRT5 antibody. Predicted molecular weight: 58-62 kDa.
Western blot testing of 1) human A431, 2) human HaCaT, 3) rat skin, 4) mouse skin and 5) mouse thymus tissue lysate with KRT5 antibody. Predicted molecular weight: 58-62 kDa.
Immunohistochemical staining of FFPE human skin tissue with KRT5 antibody, HRP-secondary and DAB substrate. HIER: boil tissue sections in pH8 EDTA for 20 min and allow to cool before testing.
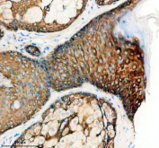
Immunohistochemical staining of FFPE human tonsil tissue with KRT5 antibody, HRP-secondary and DAB substrate. HIER: boil tissue sections in pH8 EDTA for 20 min and allow to cool before testing.
Immunohistochemical staining of FFPE human tonsil tissue with KRT5 antibody, HRP-secondary and DAB substrate. HIER: boil tissue sections in pH8 EDTA for 20 min and allow to cool before testing.
Immunohistochemical staining of FFPE rat skin tissue with KRT5 antibody, HRP-secondary and DAB substrate. HIER: boil tissue sections in pH8 EDTA for 20 min and allow to cool before testing.
Availability 1-2 weeks
Species Reactivity Human, Mouse, Rat
Format Purified
Host Rabbit
Clonality Rabbit Monoclonal
Isotype Rabbit IgG
Clone Name AGD-11
Purity Affinity purified
UniProt P13647
Localization Cytoplasmic
Applications Western Blot : 1:500-1:2000
Immunohistochemistry (FFPE) : 1:50-1:200
Limitations This KRT5 antibody is available for research use only.
Review this product on BioCompare and get a $20 Amazon gift card

Related Products

Description

KRT5 antibody targets Cytokeratin 5 (KRT5), a type II intermediate filament protein that is a major structural component of the cytoskeleton in basal epithelial cells. KRT5 is predominantly localized to the cytoplasm, where it forms heterodimers with type I keratins, most notably KRT14, to generate intermediate filament networks that provide mechanical stability and resilience to epithelial tissues. Expression of KRT5 is characteristic of basal layers in stratified epithelia, including epidermis, airway epithelium, and other squamous tissues. Clone AGD-11 recognizes the C-terminal region of Cytokeratin 5 and is intended for research applications involving detection of KRT5 expression.

Functionally, KRT5 plays a critical role in maintaining epithelial integrity and withstanding mechanical stress. The keratin filament network formed by KRT5-containing heteropolymers supports cell shape, anchors junctional complexes, and contributes to tissue architecture. KRT5 expression is tightly regulated during epithelial differentiation, with high levels in progenitor or basal cells and reduced expression as cells undergo terminal differentiation. A KRT5 antibody supports studies examining epithelial organization, differentiation state, and cytoskeletal dynamics.

KRT5 is widely used as a marker of basal epithelial cells and is frequently analyzed in studies of epithelial development, regeneration, and disease. In experimental models, detection of KRT5 helps distinguish basal cell populations from more differentiated epithelial lineages. Changes in KRT5 expression patterns can reflect altered differentiation programs or tissue remodeling processes, making it a valuable indicator of epithelial cell identity and state.

From a biological and disease-relevance perspective, KRT5 expression is relevant in studies of skin disorders, epithelial injury responses, and cancer biology. Basal-like expression of KRT5 is commonly evaluated in tumors of epithelial origin to assess cellular phenotype and differentiation status. Understanding KRT5 distribution and regulation provides insight into epithelial homeostasis and pathological changes affecting cytoskeletal organization.

At the molecular level, KRT5 is encoded by the KRT5 gene and produces a protein of approximately 58 kDa that assembles into intermediate filaments through conserved alpha-helical domains and terminal regions involved in filament interactions. The C-terminal region contributes to filament stability and protein-protein interactions within the cytoskeletal network. A KRT5 antibody supports research applications focused on epithelial biology, cytoskeletal structure, and cell lineage characterization, with NSJ Bioreagents providing reagents intended for research use.

Application Notes

Optimal dilution of the KRT5 antibody should be determined by the researcher.

Immunogen

A synthetic peptide specific to the C-terminal region of human Cytokeratin 5 / KRT5 was used as the immunogen for the KRT5 antibody.

Storage

Store the KRT5 antibody at -20oC.

Cross
Bulk Quote Request Form
Name*:
Organization*:
Email*:
Phone Number*:
Catalog No.*:
Comments and Specifics(amount, formulation, etc.)*:
Validation code: Captchapackage Image


Can't read the image? click here to refresh.
    *required field

Your bulk quote request has been submitted successfully!

Please contact us if you have any questions.