• Tel: 858.663.9055
  • SeparatorEmail: info@nsjbio.com
  • Tel: 858.663.9055
  • Email: info@nsjbio.com
Home >> Antibodies >> KRT20 Antibody for IF / Cytokeratin 20 Immunofluorescence Antibody

KRT20 Antibody for IF / Cytokeratin 20 Immunofluorescence Antibody [clone CDI-11] (FY13371)

  Catalog No Formulation Size Price (USD)  
Image FY13371 Rabbit IgG in phosphate buffered saline, pH 7.4, 150mM NaCl, 0.02% sodium azide and 50% glycerol, 0.4-0.5mg/ml BSA 100 ul 449
Microvalidated Recrabbitmono
Bulk quote request
KRT20 Antibody for IHC. Immunohistochemistry analysis of paraffin-embedded human colon tissue using KRT20 antibody. HRP-DAB brown chromogenic staining highlights cytoplasmic Keratin 20 / Cytokeratin 20 (KRT20) expression in colonic epithelial cells lining the glandular structures, while surrounding stromal cells remain largely negative. The staining pattern reflects the expected epithelial localization of this intermediate filament protein in gastrointestinal mucosa.
Western blot testing of mouse and rat samples using the KRT20 antibody at 1:5000 dilution for 1 hour at room temperature. The expected molecular weight of KRT20 is at 46 kDa.
Immunofluorescent analysis of human Hela cells using KRT20 antibody (green) and DAPI nuclear stain (blue).
KRT20 Antibody for IF. Immunofluorescent analysis of human HeLa cells using KRT20 Antibody for IF (green) at 1:50 dilution. Cytoplasmic fluorescence highlights Keratin 20 / Cytokeratin 20 (KRT20) intermediate filament staining within epithelial cells. Phalloidin-TRITC (red) labels actin cytoskeletal filaments and DAPI (blue) marks cell nuclei. The merged image demonstrates cytoplasmic localization of KRT20 consistent with epithelial intermediate filament organization observed by fluorescence microscopy.
Western blot analysis of Cytokeratin 20 using anti-KRT20 antibody. Lane 1: human RT4 whole cell lysates. After electrophoresis, proteins were transferred to a nitrocellulose membrane at 150 mA for 50-90 minutes. Blocked the membrane with 5% non-fat milk/TBS for 1.5 hour at RT. The membrane was incubated with rabbit anti-KRT20 antibody at 1:1000 overnight at 4oC, then washed with TBS-0.1%Tween 3 times with 5 minutes each and probed with a goat anti-rabbit IgG-HRP secondary antibody at a dilution of 1:500 for 1.5 hour at RT. The signal was developed using enhanced chemiluminescent. The expected molecular weight of KRT20 is at 46 kDa.
Immunohistochemical staining of Cytokeratin 20 using anti-KRT20 antibody. KRT20 was detected in a paraffin-embedded section of human colon cancer tissue. Heat mediated antigen retrieval was performed in EDTA buffer (pH 8.0, epitope retrieval solution). The tissue section was blocked with 10% goat serum. The tissue section was then incubated with 2 ug/ml rabbit anti-KRT20 antibody overnight at 4oC. Peroxidase Conjugated Goat Anti-rabbit IgG was used as secondary antibody and incubated for 30 minutes at 37oC. The tissue section was developed using an HRP secondary and DAB substrate.
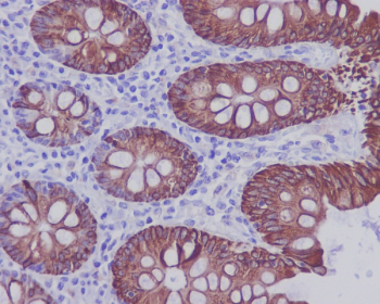
Immunohistochemical staining of Cytokeratin 20 using anti-KRT20 antibody. KRT20 was detected in a paraffin-embedded section of human appendix tissue. Heat mediated antigen retrieval was performed in EDTA buffer (pH 8.0, epitope retrieval solution). The tissue section was blocked with 10% goat serum. The tissue section was then incubated with 2 ug/ml rabbit anti-KRT20 antibody overnight at 4oC. Peroxidase Conjugated Goat Anti-rabbit IgG was used as secondary antibody and incubated for 30 minutes at 37oC. The tissue section was developed using an HRP secondary and DAB substrate.
Availability 2-3 weeks
Species Reactivity Human, Mouse, Rat
Format Liquid
Host Rabbit
Clonality Recombinant Rabbit Monoclonal
Isotype Rabbit IgG
Clone Name CDI-11
Purity Affinity chromatography
Buffer Rabbit IgG in phosphate buffered saline, pH 7.4, 150mM NaCl, 0.02% sodium azide and 50% glycerol, 0.4-0.5mg/ml BSA.
UniProt P35900
Localization Cytoplasm
Applications Western Blot : 0.25-0.5ug/ml
Immunohistochemistry : 2-5ug/ml
Immunocytochemistry : 5ug/ml
Immunofluorescence : 5ug/ml
Immunoprecipitation : 2-4ug/500ug of lysate
Flow Cytometry : 1-3ug/million cells
Limitations This KRT20 antibody is available for research use only.
Review this product on BioCompare and get a $20 Amazon gift card

Related Products

Description

Keratin 20 (KRT20) is a type I acidic cytokeratin that belongs to the epithelial intermediate filament protein family responsible for maintaining cytoskeletal structure and mechanical stability in epithelial cells. KRT20 Antibody for IF (clone CDI-11) enables visualization of Cytokeratin 20 filament networks by immunofluorescence microscopy, allowing researchers to study epithelial cell morphology, cytoskeletal organization, and cellular architecture. In immunofluorescence imaging, Keratin 20 staining typically appears as cytoplasmic filamentous labeling surrounding the nucleus, reflecting the intermediate filament bundles that form the structural scaffold of epithelial cells.

Keratin 20 is encoded by the KRT20 gene located on chromosome 17q21 within a genomic region containing several epithelial keratin genes. The protein is widely referred to in the literature as Cytokeratin 20 or CK20, two common synonyms frequently used in epithelial biology and tumor marker studies. Keratin 20 forms heterodimeric complexes with type II keratins such as keratin 8, and these dimers polymerize to generate extended intermediate filament networks throughout the cytoplasm. Immunofluorescence detection using a KRT20 Antibody for IF allows these filament networks to be visualized with high spatial resolution, revealing the organization of the epithelial cytoskeleton and the structural framework that maintains epithelial cell shape.

Keratin 20 expression is strongly associated with differentiated epithelial cell populations. High expression is observed in intestinal epithelial cells, gastric mucosa, and urothelial umbrella cells, where KRT20 contributes to epithelial barrier integrity and structural stability. Because of this tissue-restricted distribution, Cytokeratin 20 antibody staining is widely used to identify epithelial lineage cells in biological samples. Immunofluorescence imaging with a KRT20 Antibody for IF can highlight cytoplasmic filament networks within epithelial cells and provide clear visualization of epithelial cell boundaries and morphology when examined by fluorescence microscopy.

In cancer research, Keratin 20 expression is frequently retained in tumors derived from gastrointestinal and urothelial epithelia. CK20 expression is commonly observed in colorectal carcinoma, gastric carcinoma, pancreatic carcinoma, and bladder carcinoma, where it serves as a marker of epithelial differentiation. Immunofluorescence staining with a KRT20 Antibody for IF allows investigators to examine cytoskeletal architecture and epithelial identity within tumor cell populations. Fluorescence microscopy can reveal the filamentous cytoplasmic distribution of Keratin 20 in cancer cells and may assist studies of epithelial differentiation, tumor organization, and cytoskeletal remodeling during tumor progression.

The recombinant rabbit monoclonal antibody clone CDI-11 targets Keratin 20 and can be used to detect KRT20 protein distribution in fixed cells and tissue samples for research applications. In immunofluorescence experiments, Keratin 20 labeling typically produces a filamentous cytoplasmic fluorescence pattern that outlines epithelial intermediate filament networks. This staining pattern enables visualization of epithelial cytoskeletal organization, supports studies of epithelial differentiation and morphology, and facilitates high resolution imaging of epithelial cell structure in fluorescence microscopy experiments.

Application Notes

Optimal dilution of the KRT20 Antibody for IF should be determined by the researcher.

Immunogen

A synthesized peptide derived from human Cytokeratin 20 was used as the immunogen for the KRT20 antibody for IF.

Storage

Store the KRT20 antibody at -20oC.

Alternate Names

Cytokeratin 20 antibody, CK20 antibody, Keratin 20 antibody, Cytokeratin-20 antibody, KRT20 protein antibody

Cross
Bulk Quote Request Form
Name*:
Organization*:
Email*:
Phone Number*:
Catalog No.*:
Comments and Specifics(amount, formulation, etc.)*:
Validation code: Captchapackage Image


Can't read the image? click here to refresh.
    *required field

Your bulk quote request has been submitted successfully!

Please contact us if you have any questions.