• Tel: 858.663.9055
  • SeparatorEmail: info@nsjbio.com
  • Tel: 858.663.9055
  • Email: info@nsjbio.com
Home >> Antibodies >> KRT14 Antibody / Keratin 14 / Cytokeratin 14

KRT14 Antibody / Keratin 14 / Cytokeratin 14 [clone KRT14/6961] (V5931)

  Catalog No Formulation Size Price (USD)  
Image V5931-100UG 0.2 mg/ml in 1X PBS with 0.05% BSA, 0.05% sodium azide 100 ug 559
Image
V5931-20UG 0.2 mg/ml in 1X PBS with 0.05% BSA, 0.05% sodium azide 20 ug 259
Image
V5931SAF-100UG 1 mg/ml in 1X PBS; BSA free, sodium azide free 100 ug 559
Bulk quote request
Western blot analysis of KRT14/Keratin 14 antibody (clone KRT14/6961) in human samples. Total protein lysates from human intestine, human skin, human A549 cells, and human MCF7 cells were analyzed by SDS-PAGE and immunoblotting using Cytokeratin 14 mouse monoclonal antibody (clone KRT14/6961). A prominent band is detected at the ~ 53 kDa predicted molecular weight of Keratin 14, consistent with Cytokeratin 14 expression in basal-type epithelial samples, with strong signal observed in human skin and detectable signal in A549 cells, while lower or minimal signal is observed in intestine and MCF7 lysates. Band intensity differences are consistent with known tissue- and cell type-specific expression patterns of Cytokeratin 14.
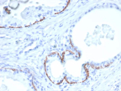
Immunohistochemistry analysis of KRT14/Keratin 14 in human prostate tissue. Formalin-fixed, paraffin-embedded human prostate tissue was stained using KRT14/Keratin 14 antibody (clone KRT14/6961). Brown chromogenic signal is observed in basal epithelial cells lining prostatic glands, with staining localized to the cytoplasmic compartment, while surrounding luminal epithelial cells and stromal tissue show little to no staining. This staining pattern is consistent with basal cell-restricted expression of Cytokeratin 14 in prostate epithelium.
Western blot analysis of Human Intestine, Human Skin, A549 and MCF7 lysates using Cytokeratin 14 Mouse Monoclonal Antibody (KRT14/6961).
Species Reactivity Human
Format Purified
Host Mouse
Clonality Monoclonal (mouse origin)
Isotype Mouse IgG1, kappa
Clone Name KRT14/6961
UniProt P02533
Localization Cytoplasm
Applications Immunohistochemistry (FFPE) : 1-2ug/ml
Western Blot : 2-4ug/ml
Limitations This KRT14/Keratin 14 antibody is available for research use only.
Review this product on BioCompare and get a $20 Amazon gift card

Related Products

Description

KRT14 Antibody recognizes Keratin 14, also known as Cytokeratin 14 (KRT14), a type I intermediate filament protein that serves as a defining structural marker of basal cells in stratified squamous epithelia. Keratin 14 is a cytoplasmic protein that forms obligate heterodimers with type II keratins, most prominently Keratin 5, to assemble intermediate filaments that provide mechanical strength, cellular integrity, and resistance to physical stress in epithelial tissues. KRT14 Antibody is widely used in research contexts to identify basal squamous epithelial cells and is commonly referred to as Cytokeratin 14 antibody or CK14 antibody in the literature.

Cytokeratin 14 expression is characteristically confined to the basal layer of stratified squamous epithelia, including epidermis, oral mucosa, esophagus, cervix, and other squamous-lined tissues. In these tissues, KRT14-positive basal cells represent the proliferative compartment responsible for epithelial renewal and regeneration. As basal cells differentiate and migrate toward suprabasal layers, Cytokeratin 14 expression decreases and is replaced by differentiation-associated keratins such as Cytokeratin 13 or Cytokeratin 10. This sharply defined basal localization makes KRT14 Antibody particularly useful for distinguishing basal progenitor cells from differentiated squamous epithelial populations.

Altered Cytokeratin 14 expression has been documented in a range of pathological conditions. Expansion of KRT14 expression beyond the basal layer is frequently observed in epithelial hyperplasia, dysplasia, and squamous cell carcinoma, reflecting disrupted differentiation programs and abnormal epithelial architecture. For this reason, Cytokeratin 14 antibody staining patterns are commonly evaluated in research studies focused on basal cell biology, squamous lineage commitment, and epithelial tumor progression.

At the cellular level, Cytokeratin 14 contributes to cytoskeletal organization and plays a role in anchoring basal epithelial cells to the basement membrane through interactions with desmosomes and hemidesmosomes. Its basal cell-restricted expression makes KRT14 Antibody a useful tool for studying epithelial stratification, basal cell dynamics, and squamous tissue organization. The KRT14 Antibody (clone KRT14/6961) is designed to detect Cytokeratin 14 expression in research applications where identification of basal squamous epithelial cells is required.

Application Notes

Optimal dilution of the KRT14/Keratin 14 antibody should be determined by the researcher.

Immunogen

Recombinant human KRT14 fragment (around amino acids 351-472) (exact sequence is proprietary) was used as the immunogen for the KRT14/Keratin 14 antibody.

Storage

KRT14/Keratin 14 antibody with sodium azide - store at 2 to 8oC; antibody without sodium azide - store at -20 to -80oC.

Cross
Bulk Quote Request Form
Name*:
Organization*:
Email*:
Phone Number*:
Catalog No.*:
Comments and Specifics(amount, formulation, etc.)*:
Validation code: Captchapackage Image


Can't read the image? click here to refresh.
    *required field

Your bulk quote request has been submitted successfully!

Please contact us if you have any questions.