• Tel: 858.663.9055
  • SeparatorEmail: info@nsjbio.com
  • Tel: 858.663.9055
  • Email: info@nsjbio.com
Home >> Antibodies >> KMT6 Antibody / EZH2

KMT6 Antibody / EZH2 [clone EZH2/4194] (V5235)

  Catalog No Formulation Size Price (USD)  
Image V5235-100UG 0.2 mg/ml in 1X PBS with 0.1 mg/ml BSA (US sourced), 0.05% sodium azide 100 ug 559
Image
V5235-20UG 0.2 mg/ml in 1X PBS with 0.1 mg/ml BSA (US sourced), 0.05% sodium azide 20 ug 259
Image
V5235SAF-100UG 1 mg/ml in 1X PBS; BSA free, sodium azide free 100 ug 559
Bulk quote request
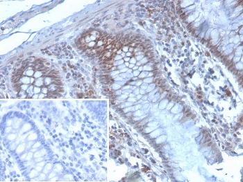
IHC staining of FFPE human colon carcinoma tissue with KMT6 antibody (clone EZH2/4194). Inset: PBS used in place of primary Ab (secondary Ab negative control). HIER: boil tissue sections in pH 9 10mM Tris with 1mM EDTA for 20 min and allow to cool before testing.
SDS-PAGE analysis of purified, BSA-free KMT6 antibody (clone EZH2/4194) as confirmation of integrity and purity.
Availability 1-3 business days
Species Reactivity Human
Format Purified
Host Mouse
Clonality Monoclonal (mouse origin)
Isotype Mouse IgG2, kappa
Clone Name EZH2/4194
Purity Protein A/G affinity
UniProt Q15910
Localization Nucleus
Applications Immunohistochemistry (FFPE) : 1-2ug/ml for 30 min at RT
Limitations This KMT6 antibody is available for research use only.
Review this product on BioCompare and get a $20 Amazon gift card

Related Products

  • Applications : WB
    Reactivity : Human
    Microvalidated
  • Applications : WB, IHC, IF, ELISA
    Reactivity : Human
    Pred. Reactivity : Primate
  • Applications : IHC-P
    Reactivity : Human
  • Applications : WB, IHC-P
    Reactivity : Human
  • Applications : WB, IHC-P
    Reactivity : Human
  • Applications : IHC-P
    Reactivity : Human
  • Applications : IHC-P
    Reactivity : Human
  • Applications : WB, IHC, IF, FACS, ELISA
    Reactivity : Human, Mouse
  • Applications : WB, ELISA
    Reactivity : Human, Mouse
  • Applications : WB, IHC, ELISA
    Reactivity : Human, Mouse, Rat
    Pred. Reactivity : Primate, Xenopus
  • Applications : WB, FACS, IP, Direct ELISA
    Reactivity : Human, Mouse, Rat

Description

This gene encodes a member of the Polycomb-group (PcG) family. PcG family members form multimeric protein complexes, which are involved in maintaining the transcriptional repressive state of genes over successive cell generations. This protein associates with the embryonic ectoderm development protein, the VAV1 oncoprotein, and the X-linked nuclear protein. This protein may play a role in the hematopoietic and central nervous systems. Multiple alternatively splcied transcript variants encoding distinct isoforms have been identified for this gene.

Application Notes

Optimal dilution of the KMT6 antibody should be determined by the researcher.

Immunogen

A recombinant partial protein sequence (within amino acids 300-550) from the human protein was used as the immunogen for the KMT6 antibody.

Storage

Aliquot the KMT6 antibody and store frozen at -20oC or colder. Avoid repeated freeze-thaw cycles.

Cross
Bulk Quote Request Form
Name*:
Organization*:
Email*:
Phone Number*:
Catalog No.*:
Comments and Specifics(amount, formulation, etc.)*:
Validation code: Captchapackage Image


Can't read the image? click here to refresh.
    *required field

Your bulk quote request has been submitted successfully!

Please contact us if you have any questions.