• Tel: 858.663.9055
  • SeparatorEmail: info@nsjbio.com
  • Tel: 858.663.9055
  • Email: info@nsjbio.com
Home >> Antibodies >> KMT1B Antibody / SUV39H2

KMT1B Antibody / SUV39H2 (RQ6524)

  Catalog No Formulation Size Price (USD)  
Image RQ6524 0.5mg/ml if reconstituted with 0.2ml sterile DI water 100 ug 449
Bulk quote request
IHC staining of FFPE human renal clear cell carcinoma tissue with KMT1B antibody. HIER: boil tissue sections in pH8 EDTA for 20 min and allow to cool before testing.
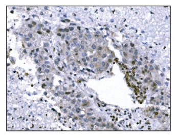
IHC staining of FFPE human liver cancer tissue with KMT1B antibody. HIER: boil tissue sections in pH8 EDTA for 20 min and allow to cool before testing.
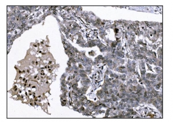
IHC staining of FFPE human ovarian serous adenocarcinoma tissue with KMT1B antibody. HIER: boil tissue sections in pH8 EDTA for 20 min and allow to cool before testing.
IHC staining of FFPE human placental tissue with KMT1B antibody. HIER: boil tissue sections in pH8 EDTA for 20 min and allow to cool before testing.
IHC staining of FFPE human breast invasive ductal cancer tissue with KMT1B antibody. HIER: boil tissue sections in pH8 EDTA for 20 min and allow to cool before testing.
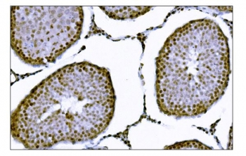
IHC staining of FFPE mouse testis tissue with KMT1B antibody. HIER: boil tissue sections in pH8 EDTA for 20 min and allow to cool before testing.
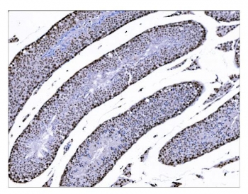
IHC staining of FFPE rat testis tissue with KMT1B antibody. HIER: boil tissue sections in pH8 EDTA for 20 min and allow to cool before testing.
Immunofluorescent staining of FFPE human Caco-2 cells with KMT1B antibody (green) and DAPI nuclear stain (blue). HIER: steam section in pH6 citrate buffer for 20 min.
Western blot testing of 1) human SW620, 2) human MCF7, 3) human HeLa, 4) human Caco-2, 5) rat liver and 6) mouse liver lysate with KMT1B antibody. Expected molecular weight: 40-53 kDa.
Flow cytometry testing of human A431 cells with KMT1B antibody at 1ug/million cells (blocked with goat sera); Red=cells alone, Green=isotype control, Blue= KMT1B antibody.
Availability 1-3 business days
Species Reactivity Human, Mouse, Rat
Format Antigen affinity purified
Host Rabbit
Clonality Polyclonal (rabbit origin)
Isotype Rabbit IgG
Purity Affinity purified
Buffer Lyophilized from 1X PBS with 2% Trehalose
UniProt Q9H5I1
Localization Nuclear
Applications Western Blot : 1-2ug/ml
Immunohistochemistry (FFPE) : 2-5ug/ml
Immunofluorescence : 5ug/ml
Flow Cytometry : 1-3ug/million cells
Direct ELISA : 0.1-0.5ug/ml
Limitations This KMT1B antibody is available for research use only.
Review this product on BioCompare and get a $20 Amazon gift card

Related Products

  • Applications : WB, IHC, ELISA
    Reactivity : Human, Rat
    Pred. Reactivity : Primate
  • Applications : WB, ELISA
    Reactivity : Human
    Pred. Reactivity : Mouse, Primate
  • Applications : WB, IHC, ELISA
    Reactivity : Human, Mouse
  • Applications : WB, ELISA (peptide)
    Reactivity : Human, Mouse, Rat
    Pred. Reactivity : Dog, Pig, Cow

Description

Histone-lysine N-methyltransferase SUV39H2 is an enzyme that in humans is encoded by the SUV39H2 gene. Histone methyltransferase that specifically trimethylates 'Lys-9' of histone H3 using monomethylated H3 'Lys-9' as substrate. H3 'Lys-9' trimethylation represents a specific tag for epigenetic transcriptional repression by recruiting HP1 (CBX1, CBX3 and/or CBX5) proteins to methylated histones. Mainly functions in heterochromatin regions, thereby playing a central role in the establishment of constitutive heterochromatin at pericentric and telomere regions. H3 'Lys-9' trimethylation is also required to direct DNA methylation at pericentric repeats. SUV39H1 is targeted to histone H3 via its interaction with RB1 and is involved in many processes, such as cell cycle regulation, transcriptional repression and regulation of telomere length. May participate in regulation of higher-order chromatin organization during spermatogenesis. Recruited by the large PER complex to the E-box elements of the circadian target genes such as PER2 itself or PER1, contributes to the conversion of local chromatin to a heterochromatin-like repressive state through H3 'Lys-9' trimethylation.

Application Notes

Optimal dilution of the KMT1B antibody should be determined by the researcher.

Immunogen

An E. coli-derived human protein (amino acids A6-N410) was used as the immunogen for the KMT1B antibody.

Storage

After reconstitution, the KMT1B antibody can be stored for up to one month at 4oC. For long-term, aliquot and store at -20oC. Avoid repeated freezing and thawing.

Cross
Bulk Quote Request Form
Name*:
Organization*:
Email*:
Phone Number*:
Catalog No.*:
Comments and Specifics(amount, formulation, etc.)*:
Validation code: Captchapackage Image


Can't read the image? click here to refresh.
    *required field

Your bulk quote request has been submitted successfully!

Please contact us if you have any questions.