• Tel: 858.663.9055
  • SeparatorEmail: info@nsjbio.com
  • Tel: 858.663.9055
  • Email: info@nsjbio.com
Home >> Antibodies >> KLK7 Antibody / Kallikrein 7

KLK7 Antibody / Kallikrein 7 [clone KLK7/4693] (V4640)

  Catalog No Formulation Size Price (USD)  
Image V4640-100UG 0.2 mg/ml in 1X PBS with 0.1 mg/ml BSA (US sourced), 0.05% sodium azide 100 ug 559
Image
V4640-20UG 0.2 mg/ml in 1X PBS with 0.1 mg/ml BSA (US sourced), 0.05% sodium azide 20 ug 259
Image
V4640SAF-100UG 1 mg/ml in 1X PBS; BSA free, sodium azide free 100 ug 559
Microvalidated
Bulk quote request
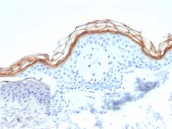
KLK7 Antibody immunohistochemistry analysis of Kallikrein 7 / KLK7 in human skin tissue. FFPE human skin tissue was stained with KLK7 antibody clone KLK7/4693 following heat induced epitope retrieval by boiling tissue sections in pH 9 Tris-EDTA buffer (10mM Tris, 1mM EDTA) for 20 minutes prior to cooling and staining. HRP-DAB brown chromogenic signal highlights strong staining in the outer epidermal layers near the stratum corneum, consistent with the known localization of Kallikrein 7 (KLK7), also referred to as stratum corneum chymotryptic enzyme, in differentiated keratinocytes involved in epidermal turnover and desquamation. Detection of KLK7 expression by immunohistochemistry supports studies of epidermal differentiation, keratinocyte biology, and skin barrier regulation using KLK7 Antibody / Kallikrein 7 (clone KLK7/4693).
IHC staining of FFPE human skin tissue with KLK7 antibody (clone KLK7/4693). Inset: PBS used in place of primary Ab (secondary Ab negative control). HIER: boil tissue sections in pH 9 10mM Tris with 1mM EDTA for 20 min and allow to cool before testing.
KLK7 Antibody microarray specificity analysis of Kallikrein 7 using clone KLK7/4693. Analysis of a HuProt(TM) protein microarray containing more than 19,000 full length human proteins was performed with KLK7 antibody clone KLK7/4693 to evaluate target specificity across the human proteome. The antibody demonstrates strong and selective binding to KLK7 with the highest ranked signal intensity on the array. Results were generated using KLK7 Antibody / Kallikrein 7 (clone KLK7/4693), confirming selective recognition of the KLK7 protein relative to other proteins present on the array. Z-score represents the strength of signal produced when the monoclonal antibody, together with a fluorescently labeled anti-IgG secondary antibody, binds to a specific protein on the HuProt(TM) array and is expressed in units of standard deviations above the mean signal of the array. When proteins are ranked by Z-score, the S-score represents the difference between consecutive Z-scores and reflects the relative specificity of the antibody for its intended target. Antibodies with an S-score greater than 2.5 are considered highly specific, supporting selective recognition of KLK7 by clone KLK7/4693.
Availability 1-3 business days
Species Reactivity Human
Format Purified
Host Mouse
Clonality Monoclonal (mouse origin)
Isotype Mouse IgG2b, kappa
Clone Name KLK7/4693
Purity Protein A/G affinity
UniProt P49862
Localization Secreted
Applications Immunohistochemistry (FFPE) : 1-2ug/ml for 30 min at RT
Limitations This KLK7 antibody is available for research use only.
Review this product on BioCompare and get a $20 Amazon gift card

Related Products

Description

Kallikrein related peptidase 7 (KLK7) is a secreted serine protease belonging to the human kallikrein family of trypsin-like enzymes and plays a central role in epidermal homeostasis. KLK7 is highly expressed in differentiated keratinocytes of the epidermis and participates in the regulated degradation of corneodesmosomal proteins that maintain adhesion between corneocytes. Through this activity, KLK7 contributes to the physiological process of desquamation, allowing the controlled shedding of cells from the outermost layer of the skin. KLK7 Antibody / Kallikrein 7 clone KLK7/4693 recognizes this epidermal protease and enables detection of KLK7 expression in studies examining skin biology and epithelial differentiation.

KLK7 is also widely known as stratum corneum chymotryptic enzyme (SCCE), reflecting its proteolytic activity in the outer layers of the epidermis. Expression of KLK7 is primarily localized to the upper epidermal layers where terminal differentiation of keratinocytes occurs. Proteolytic cleavage of structural proteins by KLK7 contributes to the separation of corneocytes and supports normal turnover of the stratum corneum. Antibodies targeting KLK7 are therefore valuable tools for studying epidermal maturation, keratinocyte biology, and mechanisms regulating skin barrier integrity.

Alterations in KLK7 activity have been associated with several dermatological conditions in which epidermal barrier function and protease regulation are disrupted. Abnormal KLK7 expression or activity has been linked to inflammatory skin disorders and diseases characterized by defective desquamation. Because of this biological role, detection of KLK7 expression is frequently used in research examining epidermal differentiation pathways and the molecular mechanisms underlying skin disease.

KLK7 Antibody / Kallikrein 7 clone KLK7/4693 is a mouse monoclonal antibody designed to recognize KLK7 in epithelial tissues and biological samples used in dermatological and epithelial research. Antibodies directed against KLK7 allow researchers to examine localization of this protease in epidermal layers and evaluate expression patterns associated with keratinocyte differentiation.

Detection of KLK7 using KLK7 Antibody / Kallikrein 7 (clone KLK7/4693) supports investigations of epidermal protease activity, keratinocyte maturation, and molecular regulation of desquamation. Analysis of KLK7 expression provides insight into skin barrier biology and epithelial tissue remodeling in both normal and disease-associated conditions.

Application Notes

Optimal dilution of the KLK7 antibody should be determined by the researcher.

Immunogen

A recombinant fragment of human KLK7 protein (within amino acids 1-200) was used as the immunogen for the KLK7 antibody.

Storage

Aliquot the KLK7 antibody and store frozen at -20oC or colder. Avoid repeated freeze-thaw cycles.

Alternate Names

Stratum corneum chymotryptic enzyme antibody, SCCE antibody, Human kallikrein 7 antibody, PRSS6 antibody, Kallikrein related peptidase 7 antibody

Cross
Bulk Quote Request Form
Name*:
Organization*:
Email*:
Phone Number*:
Catalog No.*:
Comments and Specifics(amount, formulation, etc.)*:
Validation code: Captchapackage Image


Can't read the image? click here to refresh.
    *required field

Your bulk quote request has been submitted successfully!

Please contact us if you have any questions.