• Tel: 858.663.9055
  • SeparatorEmail: info@nsjbio.com
  • Tel: 858.663.9055
  • Email: info@nsjbio.com
Home >> Antibodies >> KLK6 Antibody

KLK6 Antibody (R34660)

  Catalog No Formulation Size Price (USD)  
Image R34660-100UG 0.5 mg/ml in 1X TBS, pH7.3, with 0.5% BSA (US sourced) and 0.02% sodium azide 100 ug 475
Bulk quote request
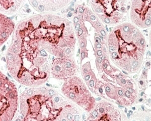
IHC testing of FFPE human kidney with KLK6 antibody at 5ug/ml. HIER: steamed with pH6 citrate buffer, AP-staining.
Availability 1-3 business days
Species Reactivity Human
Format Antigen affinity purified
Host Goat
Clonality Polyclonal (goat origin)
Isotype Goat Ig
Purity Antigen affinity
Gene ID 5653
Applications Immunohistochemistry (FFPE) : 5-10ug/ml
ELISA (peptide) LOD : 1:128000
Limitations This KLK6 antibody is available for research use only.
Review this product on BioCompare and get a $20 Amazon gift card

Related Products

Description

Additional name(s) for this target protein: Kallikrein 6

Application Notes

Optimal dilution of the KLK6 antibody should be determined by the researcher.

Immunogen

Amino acids KTADGDFPDTIQ were used as the immunogen for this KLK6 antibody.

Storage

Aliquot and store the KLK6 antibody at -20oC.

Cross
Bulk Quote Request Form
Name*:
Organization*:
Email*:
Phone Number*:
Catalog No.*:
Comments and Specifics(amount, formulation, etc.)*:
Validation code: Captchapackage Image


Can't read the image? click here to refresh.
    *required field

Your bulk quote request has been submitted successfully!

Please contact us if you have any questions.