• Tel: 858.663.9055
  • SeparatorEmail: info@nsjbio.com
  • Tel: 858.663.9055
  • Email: info@nsjbio.com
Home >> Antibodies >> KLK5 Antibody / Kallikrein 5

KLK5 Antibody / Kallikrein 5 [clone KLK5/4761] (V4626)

  Catalog No Formulation Size Price (USD)  
Image V4626-100UG 0.2 mg/ml in 1X PBS with 0.1 mg/ml BSA (US sourced), 0.05% sodium azide 100 ug 559
Image
V4626-20UG 0.2 mg/ml in 1X PBS with 0.1 mg/ml BSA (US sourced), 0.05% sodium azide 20 ug 259
Image
V4626SAF-100UG 1 mg/ml in 1X PBS; BSA free, sodium azide free 100 ug 559
Bulk quote request
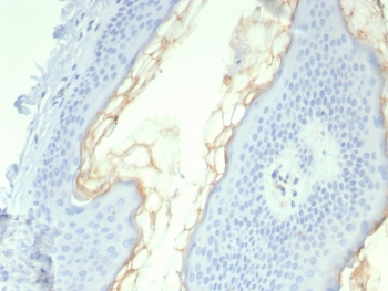
IHC staining of FFPE human skin tissue with KLK5 antibody (clone KLK5/4761). HIER: boil tissue sections in pH 9 10mM Tris with 1mM EDTA for 20 min and allow to cool before testing.
SDS-PAGE analysis of purified, BSA-free KLK5 antibody (clone KLK5/4761) as confirmation of integrity and purity.
Availability 1-3 business days
Species Reactivity Human
Format Purified
Host Mouse
Clonality Monoclonal (mouse origin)
Isotype Mouse IgG1, kappa
Clone Name KLK5/4761
Purity Protein A/G affinity
UniProt Q9Y337
Localization Secreted
Applications Immunohistochemistry (FFPE) : 1-2ug/ml for 30 min at RT
Limitations This KLK5 antibody is available for research use only.
Review this product on BioCompare and get a $20 Amazon gift card

Related Products

Description

Kallikreins (KLKs) belong to the serine protease family of proteolytic enzymes. Human pancreatic/renal KLK encodes for the KLK1 enzyme, which is involved in post-translational processing of polypeptide precursors. The function of the other members of KLK gene family is still currently unknown, but evidence suggests that many KLKs are implicated in carcinogenesis. The human KLK gene family consists of 15 serine proteases. The human KLK genes are clustered on chromosome 19q13. Unlike other kalllikreins, the KLK4-15 encoded proteases are less related and do not contain a conventional KLK loop. Clusters of genes exhibit high prostatic (KLK2-4, KLK15) or pancreatic (KLK6-13) expression. KLK2 is also known as glandular kallikrein 2, tissue kallikrein, or HGK-1 and KLK3 is known as prostate-specific antigen (PSA). Both KLK2 and KLK3 have important applications in prostate cancer and breast cancer diagnostics. Many of the KLKs are regulated by steroid hormones and a few of them, specifically KLK3, KLK6 and KLK10, are known to be downregulated in breast and other cancers. KLK5 expression is abundant in skin, mammary gland and testis.

Application Notes

Optimal dilution of the KLK5 antibody should be determined by the researcher.

Immunogen

A recombinant fragment of the human protein (within amino acids 1-200) was used as the immunogen for the KLK5 antibody.

Storage

Aliquot the KLK5 antibody and store frozen at -20oC or colder. Avoid repeated freeze-thaw cycles.

Cross
Bulk Quote Request Form
Name*:
Organization*:
Email*:
Phone Number*:
Catalog No.*:
Comments and Specifics(amount, formulation, etc.)*:
Validation code: Captchapackage Image


Can't read the image? click here to refresh.
    *required field

Your bulk quote request has been submitted successfully!

Please contact us if you have any questions.