• Tel: 858.663.9055
  • SeparatorEmail: info@nsjbio.com
  • Tel: 858.663.9055
  • Email: info@nsjbio.com
Home >> Antibodies >> KLF4 Antibody

KLF4 Antibody (RQ4437)

  Catalog No Formulation Size Price (USD)  
Image RQ4437 0.5mg/ml if reconstituted with 0.2ml sterile DI water 100 ug 449
Bulk quote request
Western blot testing of human 1) HeLa, 2) COLO-320, 3) rat stomach and 4) rat testis lysate with KLF4 antibody at 0.5ug/ml. Predicted molecular weight: 50-60 kDa + possible ~75 kDa (phosphorylated form).
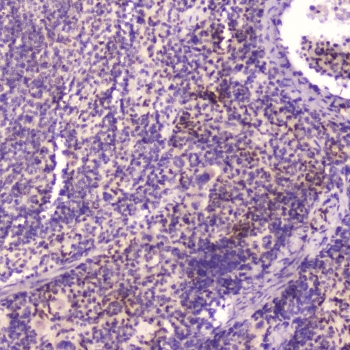
IHC testing of FFPE mouse spleen tissue with KLF4 antibody at 2ug/ml. HIER: boil tissue sections in pH6, 10mM citrate buffer, for 10-20 min followed by cooling at RT for 20 min.
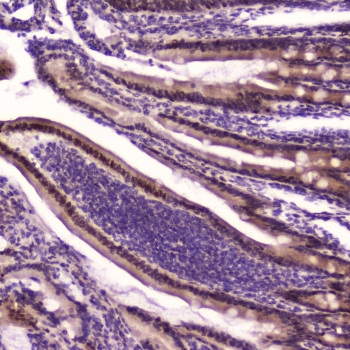
IHC testing of FFPE rat small intestine tissue with KLF4 antibody at 2ug/ml. HIER: boil tissue sections in pH6, 10mM citrate buffer, for 10-20 min followed by cooling at RT for 20 min.
Availability 1-3 business days
Species Reactivity Human, Mouse, Rat
Format Antigen affinity purified
Host Rabbit
Clonality Polyclonal (rabbit origin)
Isotype Rabbit IgG
Purity Antigen affinity
Buffer Lyophilized from 1X PBS with 2% Trehalose and 0.025% sodium azide
UniProt O43474
Localization Nucleus
Applications Western Blot : 0.5-1ug/ml
Immunohistochemistry (FFPE) : 1-2ug/ml
Limitations This KLF4 antibody is available for research use only.
Review this product on BioCompare and get a $20 Amazon gift card

Related Products

Description

Kruppel-like factor 4, also known as EZF or GKLF, is a protein that in humans is encoded by the KLF4 gene. This gene is mapped to 9q31.2. KLF4 gene encodes a member of the Kruppel family of transcription factors. This gene plays an important role in maintaining embryonic stem cells, and in preventing their differentiation. It is required for establishing the barrier function of the skin and for postnatal maturation and maintenance of the ocular surface. This gene involved in the differentiation of epithelial cells and may also function in skeletal and kidney development.

Application Notes

Optimal dilution of the KLF4 antibody should be determined by the researcher.

Immunogen

Amino acids EKTLRQAGAPNNRWREELSHMKRLPPVLPGRPYDLA were used as the immunogen for the KLF4 antibody.

Storage

After reconstitution, the KLF4 antibody can be stored for up to one month at 4oC. For long-term, aliquot and store at -20oC. Avoid repeated freezing and thawing.

Cross
Bulk Quote Request Form
Name*:
Organization*:
Email*:
Phone Number*:
Catalog No.*:
Comments and Specifics(amount, formulation, etc.)*:
Validation code: Captchapackage Image


Can't read the image? click here to refresh.
    *required field

Your bulk quote request has been submitted successfully!

Please contact us if you have any questions.