• Tel: 858.663.9055
  • SeparatorEmail: info@nsjbio.com
  • Tel: 858.663.9055
  • Email: info@nsjbio.com
Home >> Antibodies >> Kindlin-1 Antibody / KIND1

Kindlin-1 Antibody / KIND1 [clone 4A5.14] (V8556)

  Catalog No Formulation Size Price (USD)  
Image V8556-100UG 0.2 mg/ml in 1X PBS with 0.1 mg/ml BSA (US sourced) and 0.05% sodium azide 100 ug 539
Image
V8556-20UG 0.2 mg/ml in 1X PBS with 0.1 mg/ml BSA (US sourced) and 0.05% sodium azide 20 ug 249
Image
V8556SAF-100UG 1 mg/ml in 1X PBS; BSA free, sodium azide free 100 ug 539
Bulk quote request
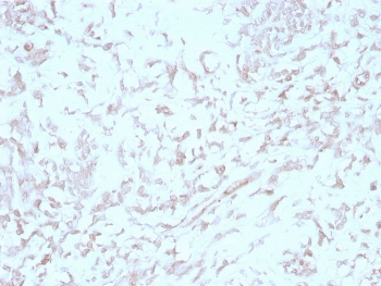
IHC staining of FFPE human liver with Kindlin-1 antibody (clone 4A5.14). HIER: boil tissue sections in pH 9 10mM Tris with 1mM EDTA for 20 min and allow to cool before testing.
SDS-PAGE analysis of purified, BSA-free Kindlin-1 antibody (clone 4A5.14) as confirmation of integrity and purity.
Availability 1-3 business days
Species Reactivity Human
Format Purified
Clonality Monoclonal (mouse origin)
Isotype Mouse IgG2a
Clone Name 4A5.14
Purity Protein G affinity chromatography
UniProt Q9BQL6
Localization Cytoplasm
Applications Western Blot : 1-2ug/ml
Immunohistochemistry (FFPE) : 1-2ug/ml for 30 minutes at RT
Limitations This Kindlin-1 antibody is available for research use only.
Review this product on BioCompare and get a $20 Amazon gift card

Description

Kindlin-1 (also known as KIND1, KINDLERIN, UNC112-RELATED PROTEIN 1 (URP1) is an important component of cell-extracellular matrix adhesion. Kindlin-1 is involved in cell adhesion, possibly via its interaction with integrins and may mediate TGF-beta 1 signaling during tumor progression. Kindlin-1 has been shown to be significantly upregulated in lung and colon carcinomas. Mutations in the kindlin-1 gene, FERMT1, causes Kindler syndrome. Kindler syndrome is an autosomal recessive disorder characterized by neonatal blistering, sun sensitivity, atrophy, abnormal pigmentation and fragility of the skin. We have developed monoclonal anti-kidlin-1 antibodies. This monoclonal antibody recognizes kindlin-1 in multiple assays including Western blotting, immunoprecipitation, immunohistochemical and immunofluorescent staining.

Application Notes

Optimal dilution of the Kindlin-1 antibody should be determined by the researcher.

Immunogen

Amino acids 216-677 from the human protein were used as the immunogen for the Kindlin-1 antibody.

Storage

Store the Kindlin-1 antibody at 2-8oC (with azide) or aliquot and store at -20oC or colder (without azide).

Cross
Bulk Quote Request Form
Name*:
Organization*:
Email*:
Phone Number*:
Catalog No.*:
Comments and Specifics(amount, formulation, etc.)*:
Validation code: Captchapackage Image


Can't read the image? click here to refresh.
    *required field

Your bulk quote request has been submitted successfully!

Please contact us if you have any questions.