• Tel: 858.663.9055
  • SeparatorEmail: info@nsjbio.com
  • Tel: 858.663.9055
  • Email: info@nsjbio.com
Home >> Antibodies >> KIM-1 Antibody

KIM-1 Antibody (R30706)

  Catalog No Formulation Size Price (USD)  
Image R30706 0.5mg/ml if reconstituted with 0.2ml sterile DI water 100 ug 449
Bulk quote request
Western blot testing of KIM-1 antibody and human cell lysate 1: SMMC-7721; 2: HeLa; 3: PANC; 4: M231; 5: M453 cell lysate. Predicted molecular weight~39 kDa, routinely observed at ~55 kDa (Ref 1), and a heavily glycosylated mature form at ~100 kDa (Ref 2).
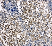
IHC-P: KIM-1 antibody testing of human tonsil tissue. HIER: steamed with pH6 citrate buffer.
ICC testing of K562 cells
Availability 1-3 business days
Species Reactivity Human
Format Antigen affinity purified
Host Rabbit
Clonality Polyclonal (rabbit origin)
Isotype Rabbit IgG
Purity Antigen affinity
Buffer Lyophilized from 1X PBS with 2.5% BSA and 0.025% sodium azide/thimerosal
UniProt Q96D42
Applications Western Blot : 0.5-1ug/ml
IHC (FFPE) : 0.5-1ug/ml
Immunocytochemistry : 0.5-1ug/ml
Limitations This KIM-1 antibody is available for research use only.
Review this product on BioCompare and get a $20 Amazon gift card

Related Products

Description

Kidney injury molecule 1, also known as HAVCR1, HAVCR or TIM1, is a protein that in humans is encoded by the KIM1 gene. The KIM-1 protein is a receptor for virus through the infection of canine osteogenic sarcoma cells expressing HAVCR1 with HAV. Using a monoclonal antibody to mouse KIM-1, it was found the protein expressed after activation of naive T cells and on T cells differentiated in Th2-polarizing conditions. Ectopic expression of KIM-1 during mouse T-cell differentiation leads to production of the Th2-type cytokine IL4, but not the Th1-type cytokine Ifng. KIM1-expressing epithelial cells internalized apoptotic bodies, and the protein is directly responsible for phagocytosis in cultured primary rat tubule epithelial cells and in porcine and canine epithelial cell lines.

Application Notes

The stated application concentrations are suggested starting amounts. Titration of the KIM-1 antibody may be required due to differences in protocols and secondary/substrate sensitivity.

Immunogen

An amino acid sequence from the C-terminus of human KIM-1 (IKALQNAVEKEVQAEDN) was used as the immunogen for this KIM-1 antibody.

Storage

After reconstitution, the KIM-1 antibody can be stored for up to one month at 4oC. For long-term, aliquot and store at -20oC. Avoid repeated freezing and thawing.

Cross
Bulk Quote Request Form
Name*:
Organization*:
Email*:
Phone Number*:
Catalog No.*:
Comments and Specifics(amount, formulation, etc.)*:
Validation code: Captchapackage Image


Can't read the image? click here to refresh.
    *required field

Your bulk quote request has been submitted successfully!

Please contact us if you have any questions.