• Tel: 858.663.9055
  • SeparatorEmail: info@nsjbio.com
  • Tel: 858.663.9055
  • Email: info@nsjbio.com
Home >> Antibodies >> KIFC1 Antibody

KIFC1 Antibody (RQ6649)

  Catalog No Formulation Size Price (USD)  
Image RQ6649 0.5mg/ml if reconstituted with 0.2ml sterile DI water 100 ug 449
Bulk quote request
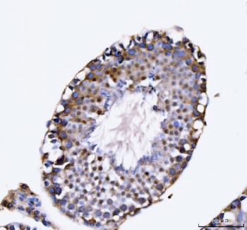
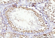
IHC staining of FFPE human testis tissue with KIFC1 antibody. HIER: boil tissue sections in pH8 EDTA for 20 min and allow to cool before testing.
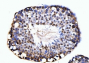
IHC staining of FFPE mouse testis tissue with KIFC1 antibody. HIER: boil tissue sections in pH8 EDTA for 20 min and allow to cool before testing.
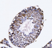
IHC staining of FFPE rat testis tissue with KIFC1 antibody. HIER: boil tissue sections in pH8 EDTA for 20 min and allow to cool before testing.
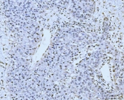
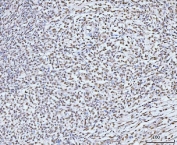
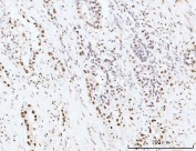
IHC staining of FFPE human lymphadenoma tissue with KIFC1 antibody. HIER: boil tissue sections in pH8 EDTA for 20 min and allow to cool before testing.
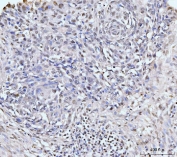
IHC staining of FFPE human appendiceal adenocarcinoma tissue with KIFC1 antibody. HIER: boil tissue sections in pH8 EDTA for 20 min and allow to cool before testing.
IHC staining of FFPE human liver cancer tissue with KIFC1 antibody. HIER: boil tissue sections in pH8 EDTA for 20 min and allow to cool before testing.
IHC staining of FFPE human gastric adenocarcinoma tissue with KIFC1 antibody. HIER: boil tissue sections in pH8 EDTA for 20 min and allow to cool before testing.
IHC staining of FFPE human gastric adenocarcinoma tissue with KIFC1 antibody. HIER: boil tissue sections in pH8 EDTA for 20 min and allow to cool before testing.
IHC staining of FFPE human esophageal squamous carcinoma tissue with KIFC1 antibody. HIER: boil tissue sections in pH8 EDTA for 20 min and allow to cool before testing.
Immunofluorescent staining of FFPE human A431 cells with KIFC1 antibody (green). HIER: steam section in pH6 citrate buffer for 20 min.
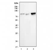
Western blot testing of human 1) HeLa, 2) A549 and 3) MCF7 cell lysate with KIFC1 antibody. Predicted molecular weight ~74 kDa.
Flow cytometry testing of human JK-1 cells with KIFC1 antibody at 1ug/million cells (blocked with goat sera); Red=cells alone, Green=isotype control, Blue= KIFC1 antibody.
Availability 1-3 business days
Species Reactivity Human, Mouse, Rat
Format Antigen affinity purified
Host Rabbit
Clonality Polyclonal (rabbit origin)
Isotype Rabbit IgG
Purity Antigen affinity purified
Buffer Lyophilized from 1X PBS with 2% Trehalose
UniProt Q9BW19
Localization Cytoplasmic, nuclear
Applications Western Blot : 1-2ug/ml
Immunohistochemistry (FFPE) : 2-5ug/ml
Immunofluorescence (FFPE) : 5ug/ml
Flow Cytometry : 1-3ug/million cells
Direct ELISA : 0.1-0.5ug/ml
Limitations This KIFC1 antibody is available for research use only.
Review this product on BioCompare and get a $20 Amazon gift card

Description

Kinesin-like protein KIFC1 is a protein that in humans is encoded by the KIFC1 gene. Kinesin superfamily proteins (KIFs) are molecular motors that drive directional, microtubule-dependent intracellular transport of membrane-bound organelles and other macromolecules (e.g. proteins, nucleic acids). The intracellular transport functions of KIFs are fundamentally important for a variety of cellular functions, including mitotic and meiotic division, motility/migration, hormone and neurotransmitter release, and differentiation. Disruptions to KIF-mediated intracellular transport have been linked with a variety of pathologies, ranging from tumorigenesis to defects in higher order brain function such as learning and memory. KIFC1/HSET is a minus-end directed KIF involved in the processing and movement of early endocytic vesicles, as well as microtubule crosslinking and spindle assembly.

Application Notes

Optimal dilution of the KIFC1 antibody should be determined by the researcher.

Immunogen

Recombinant human protein (amino acids M1-K673) was used as the immunogen for the KIFC1 antibody.

Storage

After reconstitution, the KIFC1 antibody can be stored for up to one month at 4oC. For long-term, aliquot and store at -20oC. Avoid repeated freezing and thawing.

Cross
Bulk Quote Request Form
Name*:
Organization*:
Email*:
Phone Number*:
Catalog No.*:
Comments and Specifics(amount, formulation, etc.)*:
Validation code: Captchapackage Image


Can't read the image? click here to refresh.
    *required field

Your bulk quote request has been submitted successfully!

Please contact us if you have any questions.