• Tel: 858.663.9055
  • SeparatorEmail: info@nsjbio.com
  • Tel: 858.663.9055
  • Email: info@nsjbio.com
Home >> Antibodies >> KIAA1881 Antibody

KIAA1881 Antibody (R35799)

  Catalog No Formulation Size Price (USD)  
Image R35799-100UG 0.5 mg/ml in 1X TBS, pH7.3, with 0.5% BSA (US sourced) and 0.02% sodium azide 100 ug 475
Bulk quote request
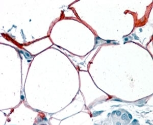
IHC testing of FFPE human pancreas with KIAA1881 antibody at 4ug/ml. HIER: steamed with pH6 citrate buffer, AP-staining. Membranous and cytoplasmic staining of adipocytes seen.
Availability 1-3 business days
Species Reactivity Human
Format Antigen affinity purified
Host Goat
Clonality Polyclonal (goat origin)
Isotype Goat Ig
Purity Antigen affinity
Gene ID 729359
Applications Immunohistochemistry (FFPE) : 3-6ug/ml
ELISA (peptide) LOD : 1:2000
Limitations This KIAA1881 antibody is available for research use only.
Review this product on BioCompare and get a $20 Amazon gift card

Description

Additional name(s) for this target protein: Plasma membrane associated protein S3-12

Application Notes

Optimal dilution of the KIAA1881 antibody should be determined by the researcher.

Immunogen

Amino acids RTTDNGGEQTALSPQE were used as the immunogen for this KIAA1881 antibody.

Storage

Aliquot and store the KIAA1881 antibody at -20oC.

Cross
Bulk Quote Request Form
Name*:
Organization*:
Email*:
Phone Number*:
Catalog No.*:
Comments and Specifics(amount, formulation, etc.)*:
Validation code: Captchapackage Image


Can't read the image? click here to refresh.
    *required field

Your bulk quote request has been submitted successfully!

Please contact us if you have any questions.